Suppr超能文献

从猫慢性脂质性肺炎中分离出…… (原文不完整,翻译至此)

Isolation of from feline chronic stage lipoid pneumonia.

作者信息

Newman Robert, Schaible Megan

机构信息

Southwest Veterinary Surgical Service, 22595 N Scottsdale Rd #120, Scottsdale, AZ, 85255, USA.

出版信息

Med Mycol Case Rep. 2019 Jun 12;25:19-21. doi: 10.1016/j.mmcr.2019.06.002. eCollection 2019 Sep.

Abstract

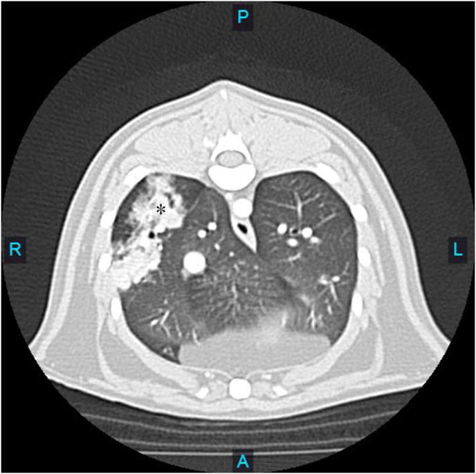
We hereby report a unique manifestation of feline cryptococcosis in the form of extensively consolidated lipoid pneumonia resulting in an isolated space-occupying lung lobe mass. Lung lobectomy was performed and a diagnosis of severe lipoid pneumonia with intra-lesional was made. The patient was asymptomatic for respiratory disease and no abnormalities of the upper respiratory tract were identified. Anti-fungal therapy was initiated following the diagnosis and the patient recovered without complication.

摘要

我们在此报告一例猫隐球菌病的独特表现,其形式为广泛实变的类脂性肺炎,导致孤立的肺叶占位性肿块。进行了肺叶切除术,并诊断为伴有病灶内[此处原文intra-lesional后内容缺失]的严重类脂性肺炎。该患者无呼吸道疾病症状,上呼吸道未发现异常。诊断后开始抗真菌治疗,患者康复且无并发症。

https://cdn.ncbi.nlm.nih.gov/pmc/blobs/f487/6584600/9699fa409024/gr1.jpg

文献AI研究员

20分钟写一篇综述,助力文献阅读效率提升50倍。

立即体验

用中文搜PubMed

大模型驱动的PubMed中文搜索引擎

马上搜索

文档翻译

学术文献翻译模型,支持多种主流文档格式。

立即体验