• 文献检索
  • 文档翻译
  • 深度研究
  • 学术资讯
  • Suppr Zotero 插件Zotero 插件
  • 邀请有礼
  • 套餐&价格
  • 历史记录
应用&插件
Suppr Zotero 插件Zotero 插件浏览器插件Mac 客户端Windows 客户端微信小程序
定价
高级版会员购买积分包购买API积分包
服务
文献检索文档翻译深度研究API 文档MCP 服务
关于我们
关于 Suppr公司介绍联系我们用户协议隐私条款
关注我们

Suppr 超能文献

核心技术专利:CN118964589B侵权必究
粤ICP备2023148730 号-1Suppr @ 2026

文献检索

告别复杂PubMed语法,用中文像聊天一样搜索,搜遍4000万医学文献。AI智能推荐,让科研检索更轻松。

立即免费搜索

文件翻译

保留排版,准确专业,支持PDF/Word/PPT等文件格式,支持 12+语言互译。

免费翻译文档

深度研究

AI帮你快速写综述,25分钟生成高质量综述,智能提取关键信息,辅助科研写作。

立即免费体验

葡萄牙北部一只猫因……引起的睑缘炎 。(原文“due to”后内容缺失)

Blepharitis due to in a cat from northern Portugal.

作者信息

Pimenta Paulo, Alves-Pimenta Sofia, Barros João, Pereira Maria J, Maltez Luís, Maduro A Paula, Cardoso Luís, Coelho Ana C

机构信息

Hospital Veterinário de Trás-os-Montes, Vila Real, Portugal.

Department of Veterinary Sciences, School of Agrarian and Veterinary Sciences, University of Trás-os-Montes e Alto Douro, Vila Real, Portugal.

出版信息

JFMS Open Rep. 2015 Jul 6;1(2):2055116915593963. doi: 10.1177/2055116915593963. eCollection 2015 Jul-Dec.

DOI:10.1177/2055116915593963
PMID:28491367
原文链接:https://pmc.ncbi.nlm.nih.gov/articles/PMC5361991/
Abstract

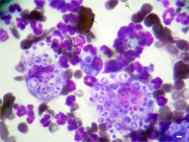
We report a clinical case of blepharitis due to yeasts in a 2-year-old stray cat from northern Portugal (Vila Real) without concurrent naso-ocular signs. Ophthalmological examination revealed mucopurulent discharge from an open wound in the right upper and lower lids. Slit-lamp biomicroscopy showed a normal anterior segment, and intraocular pressure was within the normal reference interval. No fundoscopic alterations were detected in either eye by direct and indirect ophthalmoscopic examination. Cytological examination of an appositional smear showed numerous polymorphic neutrophils and macrophages, together with spherical yeast cells compatible with species. Molecular analysis by means of PCR and restriction fragment length polymorphism identified genotype VNI. The cat was treated with itraconazole, and amoxicillin and clavulanic acid, combined with a commercial ear ointment and an imidacloprid/moxidectin spot-on application for bilateral parasitic otitis caused by . One month after treatment, the clinical signs were completely resolved. Localised cutaneous lesions, as in the present case, probably result from contamination of cat-scratch injuries with viable encapsulated yeasts. This is, to the best of our knowledge, the first clinical report of feline blepharitis due to without concurrent naso-ocular signs. The current findings, together with those from recent reports of the infection in domestic animals, should alert the veterinary community both in Portugal and in Europe to this underdiagnosed disease.

摘要

我们报告了一例来自葡萄牙北部(维拉雷亚尔)的2岁流浪猫因酵母菌引起睑缘炎的临床病例,该猫无并发鼻眼症状。眼科检查发现右上睑和下睑开放性伤口有黏液脓性分泌物。裂隙灯生物显微镜检查显示眼前节正常,眼压在正常参考区间内。直接和间接检眼镜检查均未发现任何一只眼睛有眼底改变。对贴壁涂片进行细胞学检查发现大量多形核中性粒细胞和巨噬细胞,以及与该菌种相符的球形酵母细胞。通过聚合酶链反应(PCR)和限制性片段长度多态性进行分子分析,鉴定出基因型VNI。该猫接受了伊曲康唑、阿莫西林和克拉维酸治疗,并结合一种商业耳部软膏以及用于治疗由 引起的双侧寄生性中耳炎的吡虫啉/莫昔克丁点滴剂。治疗一个月后,临床症状完全消失。如本病例中的局限性皮肤病变,可能是由猫抓伤口被活的包膜酵母菌污染所致。据我们所知,这是首例无并发鼻眼症状的猫因 引起睑缘炎的临床报告。目前的研究结果,连同最近关于家畜感染的报告结果,应提醒葡萄牙和欧洲的兽医界注意这种诊断不足的疾病。

https://cdn.ncbi.nlm.nih.gov/pmc/blobs/35e5/5361991/36b8a0582ff9/10.1177_2055116915593963-fig4.jpg
https://cdn.ncbi.nlm.nih.gov/pmc/blobs/35e5/5361991/1b1b9af2f5d9/10.1177_2055116915593963-fig1.jpg
https://cdn.ncbi.nlm.nih.gov/pmc/blobs/35e5/5361991/0a04d7d4f1e9/10.1177_2055116915593963-fig2.jpg
https://cdn.ncbi.nlm.nih.gov/pmc/blobs/35e5/5361991/9ee55dfc34d4/10.1177_2055116915593963-fig3.jpg
https://cdn.ncbi.nlm.nih.gov/pmc/blobs/35e5/5361991/36b8a0582ff9/10.1177_2055116915593963-fig4.jpg
https://cdn.ncbi.nlm.nih.gov/pmc/blobs/35e5/5361991/1b1b9af2f5d9/10.1177_2055116915593963-fig1.jpg
https://cdn.ncbi.nlm.nih.gov/pmc/blobs/35e5/5361991/0a04d7d4f1e9/10.1177_2055116915593963-fig2.jpg
https://cdn.ncbi.nlm.nih.gov/pmc/blobs/35e5/5361991/9ee55dfc34d4/10.1177_2055116915593963-fig3.jpg
https://cdn.ncbi.nlm.nih.gov/pmc/blobs/35e5/5361991/36b8a0582ff9/10.1177_2055116915593963-fig4.jpg

相似文献

1
Blepharitis due to in a cat from northern Portugal.葡萄牙北部一只猫因……引起的睑缘炎 。(原文“due to”后内容缺失)
JFMS Open Rep. 2015 Jul 6;1(2):2055116915593963. doi: 10.1177/2055116915593963. eCollection 2015 Jul-Dec.
2
Canine ocular thelaziosis caused by Thelazia callipaeda in Portugal.葡萄牙由结膜吸吮线虫引起的犬眼部吸吮线虫病。
Vet Ophthalmol. 2013 Jul;16(4):312-5. doi: 10.1111/j.1463-5224.2012.01074.x. Epub 2012 Oct 15.
3
Feline cutaneous nodular and ocular in Belgium.比利时的猫皮肤结节性和眼部疾病
JFMS Open Rep. 2020 Apr 16;6(1):2055116920912560. doi: 10.1177/2055116920912560. eCollection 2020 Jan-Jun.
4
Genotypic diversity of environmental Cryptococcus neoformans isolates from Northern Portugal.葡萄牙北部环境新型隐球菌分离株的基因型多样性。
Mycoses. 2014 Feb;57(2):98-104. doi: 10.1111/myc.12106. Epub 2013 Jul 15.
5
Evaluation of antifungal combination against Cryptococcus spp.针对新型隐球菌属的抗真菌联合用药评估
Mycoses. 2016 Sep;59(9):585-93. doi: 10.1111/myc.12510. Epub 2016 May 2.
6
Invasive fungal infection by Cryptococcus neoformans var. grubii with bone marrow and meningeal involvement in a HIV-infected patient: a case report.新型隐球菌变种格卢氏菌骨髓和脑膜侵犯合并 HIV 感染患者的侵袭性真菌感染:一例报告。
BMC Infect Dis. 2019 Mar 4;19(1):220. doi: 10.1186/s12879-019-3831-8.
7
Genotypes and population genetics of cryptococcus neoformans and cryptococcus gattii species complexes in Europe and the mediterranean area.欧洲和地中海地区新型隐球菌和格特隐球菌复合体的基因型和群体遗传学。
Fungal Genet Biol. 2019 Aug;129:16-29. doi: 10.1016/j.fgb.2019.04.001. Epub 2019 Apr 3.
8
First isolation of Cryptococcus gattii molecular type VGII and Cryptococcus neoformans molecular type VNI from environmental sources in the city of Belém, Pará, Brazil.首次从巴西帕拉州贝伦市的环境源中分离出荚膜组织胞浆菌分子型 VGII 和新型隐球菌分子型 VNII。
Mem Inst Oswaldo Cruz. 2009 Jul;104(4):662-4. doi: 10.1590/s0074-02762009000400023.
9
First isolation of Cryptococcus neoformans genotype VNI MAT-alpha from wood inside hollow trunks of Hymenaea courbaril.首次从孪叶豆空心树干内部的木材中分离出新型隐球菌VNI交配型α。
Med Mycol. 2016 Jan;54(1):97-102. doi: 10.1093/mmy/myv066. Epub 2015 Sep 2.
10
Otitis interna induced by Cryptococcus neoformans var. grubii in a cat.新型隐球菌变种 grubii 引起的猫内耳炎。
Vet Pathol. 2013 Mar;50(2):260-3. doi: 10.1177/0300985812451623. Epub 2012 Jun 13.

引用本文的文献

1
First case of feline cryptococcosis in Bosnia and Herzegovina.波斯尼亚和黑塞哥维那首例猫隐球菌病病例。
JFMS Open Rep. 2024 Aug 7;10(2):20551169241265248. doi: 10.1177/20551169241265248. eCollection 2024 Jul-Dec.
2
Feline cutaneous nodular and ocular in Belgium.比利时的猫皮肤结节性和眼部疾病
JFMS Open Rep. 2020 Apr 16;6(1):2055116920912560. doi: 10.1177/2055116920912560. eCollection 2020 Jan-Jun.
3
Isolation of from feline chronic stage lipoid pneumonia.从猫慢性脂质性肺炎中分离出…… (原文不完整,翻译至此)

本文引用的文献

1
Cryptococcal meningitis in a goat--a case report.山羊隐球菌性脑膜炎——一例报告
BMC Vet Res. 2014 Apr 5;10:84. doi: 10.1186/1746-6148-10-84.
2
Insights on the genotype distribution among Cryptococcus neoformans and C. gattii Portuguese clinical isolates.新生隐球菌和加氏隐球菌葡萄牙临床分离株的基因型分布见解。
Curr Microbiol. 2014 Feb;68(2):199-203. doi: 10.1007/s00284-013-0452-0.
3
Genotypic diversity of environmental Cryptococcus neoformans isolates from Northern Portugal.葡萄牙北部环境新型隐球菌分离株的基因型多样性。
Med Mycol Case Rep. 2019 Jun 12;25:19-21. doi: 10.1016/j.mmcr.2019.06.002. eCollection 2019 Sep.
Mycoses. 2014 Feb;57(2):98-104. doi: 10.1111/myc.12106. Epub 2013 Jul 15.
4
Cryptococcosis in cats: ABCD guidelines on prevention and management.猫隐球菌病:预防与管理的ABCD指南
J Feline Med Surg. 2013 Jul;15(7):611-8. doi: 10.1177/1098612X13489224.
5
Clinical features and epidemiology of cryptococcosis in cats and dogs in California: 93 cases (1988-2010).加利福尼亚州猫和狗隐球菌病的临床特征与流行病学:93例(1988 - 2010年)
J Am Vet Med Assoc. 2011 Aug 1;239(3):357-69. doi: 10.2460/javma.239.3.357.
6
Feline cryptococcosis: impact of current research on clinical management.猫隐球菌病:当前研究对临床管理的影响
J Feline Med Surg. 2011 Mar;13(3):163-72. doi: 10.1016/j.jfms.2011.01.009.
7
Cryptococcosis--clinical advice on an emerging global concern.隐球菌病——关于一个新出现的全球关注问题的临床建议。
J Feline Med Surg. 2011 Mar;13(3):158-60. doi: 10.1016/j.jfms.2011.01.015.
8
Cryptococcosis: update and emergence of Cryptococcus gattii.隐球菌病:加氏隐球菌的最新情况及出现
Vet Clin Pathol. 2011 Mar;40(1):4-17. doi: 10.1111/j.1939-165X.2010.00281.x. Epub 2011 Jan 18.
9
Massive cryptococcal disseminated infection in an immunocompetent cat.一只免疫功能正常的猫发生大量播散性隐球菌感染。
Vet Dermatol. 2011 Apr;22(2):232-4. doi: 10.1111/j.1365-3164.2010.00948.x. Epub 2010 Dec 23.
10
Estimation of the current global burden of cryptococcal meningitis among persons living with HIV/AIDS.对全球感染艾滋病毒/艾滋病者中隐球菌性脑膜炎当前负担的估计。
AIDS. 2009 Feb 20;23(4):525-30. doi: 10.1097/QAD.0b013e328322ffac.