Suppr超能文献

尿激酶型纤溶酶原激活系统作为视网膜色素变性的药物靶点:rd10 小鼠模型中的新临床前证据。

The urokinase-type plasminogen activator system as drug target in retinitis pigmentosa: New pre-clinical evidence in the rd10 mouse model.

机构信息

Department of Biology, University of Pisa, Pisa, Italy.

Department of Experimental Medicine, Second University of Napoli, Napoli, Italy.

出版信息

J Cell Mol Med. 2019 Aug;23(8):5176-5192. doi: 10.1111/jcmm.14391. Epub 2019 Jun 28.

Abstract

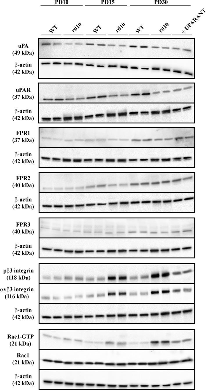
Retinitis pigmentosa (RP) is characterized by progressive loss of vision due to photoreceptor degeneration leading to secondary inflammation. The urokinase-type plasminogen activator (uPA) system contributes to retinal inflammation, but its role in RP is unknown. In the rd10 mouse model of RP, we addressed this question with the use of the peptide UPARANT designed to interact with the uPA system. UPARANT was systemically administered from post-natal day (PD) 10 to PD30 when its efficacy in RP rescue was investigated using electroretinographic recordings, Western blot and immunocytochemistry. Temporal profile of protein expression in the uPA system was also investigated. UPARANT reduced both Müller cell gliosis and up-regulated levels of inflammatory markers and exerted major anti-apoptotic effects without influencing the autophagy cascade. Rescue from retinal cell degeneration was accompanied by improved retinal function. No scotopic phototransduction was rescued in the UPARANT-treated animals as determined by the kinetic analysis of rod-mediated a-waves and confirmed by rod photoreceptor markers. In contrast, the cone photopic b-wave was recovered and its rescue was confirmed in the whole mounts using cone arrestin antibody. Investigation of the uPA system regulation over RP progression revealed extremely low levels of uPA and its receptor uPAR both of which were recovered by HIF-1α stabilization indicating that HIF-1 regulates the expression of the uPA/uPAR gene in the retina. Ameliorative effects of UPARANT were likely to occur through an inhibitory action on up-regulated activity of the αvβ3 integrin/Rac1 pathway that was suggested as a novel target for the development of therapeutic approaches against RP.

摘要

色素性视网膜炎(RP)的特征是由于感光器退化导致继发性炎症而导致视力逐渐丧失。尿激酶型纤溶酶原激活物(uPA)系统有助于视网膜炎症,但它在 RP 中的作用尚不清楚。在 rd10 RP 小鼠模型中,我们使用设计用于与 uPA 系统相互作用的肽 UPARANT 来解决这个问题。从出生后第 10 天(PD)到第 30 天(PD30),全身性给予 UPARANT,并用视网膜电图记录、Western blot 和免疫细胞化学来研究其在 RP 中的挽救作用。还研究了 uPA 系统中蛋白表达的时间谱。UPARANT 减少了 Müller 胶质细胞增生和上调的炎症标志物水平,并发挥了主要的抗凋亡作用,而不影响自噬级联。视网膜细胞变性的挽救伴随着视网膜功能的改善。在 UPARANT 处理的动物中,通过对杆介导的 a-波的动力学分析和对杆状光感受器标记物的确认,没有挽救暗适应光转导。与 UPARANT 处理的动物相比,锥体光觉 b-波被恢复,并且在整个装片中使用锥体结合蛋白抗体进行了确认。对 uPA 系统调节 RP 进展的研究表明,uPA 和其受体 uPAR 的水平极低,这两种物质都通过 HIF-1α 稳定化得到恢复,表明 HIF-1 调节视网膜中 uPA/uPAR 基因的表达。UPARANT 的改善作用可能通过抑制上调的αvβ3 整合素/Rac1 途径的活性来实现,该途径被认为是开发针对 RP 的治疗方法的新靶点。

https://cdn.ncbi.nlm.nih.gov/pmc/blobs/aaff/6653070/9440a64761d5/JCMM-23-5176-g001.jpg

文献AI研究员

20分钟写一篇综述,助力文献阅读效率提升50倍。

立即体验

用中文搜PubMed

大模型驱动的PubMed中文搜索引擎

马上搜索

文档翻译

学术文献翻译模型,支持多种主流文档格式。

立即体验