Suppr超能文献

直立一颗与含牙囊肿相关的下颌第一恒磨牙并伴有下颌第二磨牙缺失——病例报告

Uprighting an Impacted Permanent Mandibular First Molar Associated with a Dentigerous Cyst and a Missing Second Mandibular Molar-A Case Report.

作者信息

Tsironi Konstantina, Inglezos Emmanouil, Vardas Emmanouil, Mitsea Anastasia

机构信息

Posidonos 14, Imia square, Voula, 16673 Athens, Greece.

Clinic of Hospital Dentistry, Dental School, National and Kapodistrian University of Athens, Thivon 2 Goudi, 11527 Athens, Greece.

出版信息

Dent J (Basel). 2019 Jun 27;7(3):63. doi: 10.3390/dj7030063.

Abstract

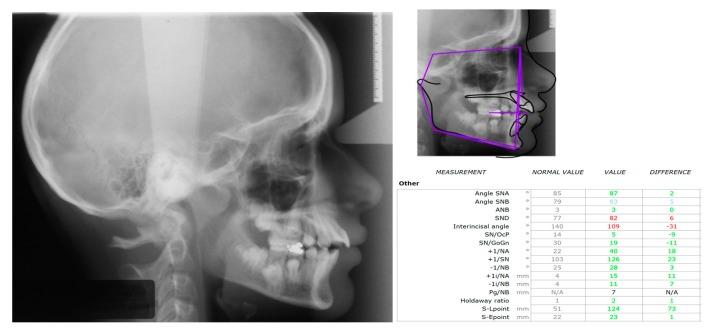
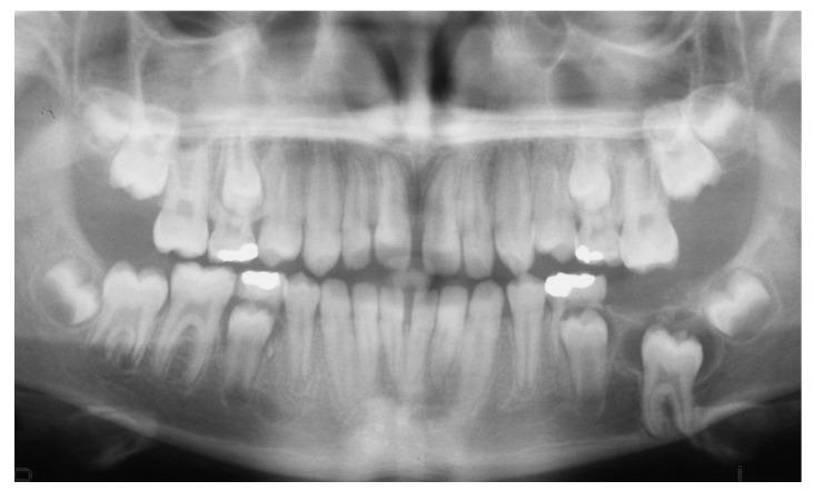
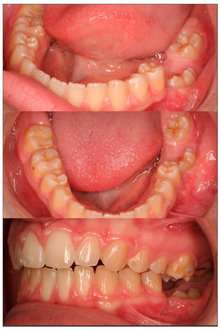
The purpose of this paper is to present a case of an impacted mandibular first molar associated with a dentigerous cyst and a missing mandibular second molar in an 11-year-old girl that was treated with combined surgical and orthodontic procedures. After clinical and radiographic evaluation, marsupialization of the cyst was decided, and a molar attachment was bonded on the buccal side of the impacted molar as a part of a full orthodontic treatment with fixed appliances. After 18 months of orthodontic traction, the molar was moved to a more advantageous position, and new bone apposition was observed on the site of the cystic lesion. Histological examination confirmed a dentigerous cyst. The molar was left to erupt spontaneously for 14 more months. A functional occlusion was finally achieved. An interdisciplinary approach proved to be an effective modality in treating a large dentigerous cyst associated with a deeply impacted first mandibular molar, presenting many advantages, such as new bone apposition and patient comfort.

摘要

本文旨在介绍一例11岁女孩的病例,该患者下颌第一磨牙阻生并伴有含牙囊肿,同时下颌第二磨牙缺失,采用手术和正畸联合治疗。经过临床和影像学评估后,决定对囊肿进行袋形术,并在阻生磨牙的颊侧粘结磨牙附件,作为固定矫治器全口正畸治疗的一部分。经过18个月的正畸牵引,磨牙移动到更有利的位置,并且在囊性病变部位观察到新骨形成。组织学检查证实为含牙囊肿。磨牙又自行萌出了14个月。最终实现了功能性咬合。跨学科方法被证明是治疗与下颌第一磨牙深度阻生相关的大型含牙囊肿的有效方式,具有许多优点,如新骨形成和患者舒适度高。

https://cdn.ncbi.nlm.nih.gov/pmc/blobs/ed7c/6784474/160b1032874f/dentistry-07-00063-g001.jpg

文献AI研究员

20分钟写一篇综述,助力文献阅读效率提升50倍。

立即体验

用中文搜PubMed

大模型驱动的PubMed中文搜索引擎

马上搜索

文档翻译

学术文献翻译模型,支持多种主流文档格式。

立即体验