• 文献检索
  • 文档翻译
  • 深度研究
  • 学术资讯
  • Suppr Zotero 插件Zotero 插件
  • 邀请有礼
  • 套餐&价格
  • 历史记录
应用&插件
Suppr Zotero 插件Zotero 插件浏览器插件Mac 客户端Windows 客户端微信小程序
定价
高级版会员购买积分包购买API积分包
服务
文献检索文档翻译深度研究API 文档MCP 服务
关于我们
关于 Suppr公司介绍联系我们用户协议隐私条款
关注我们

Suppr 超能文献

核心技术专利:CN118964589B侵权必究
粤ICP备2023148730 号-1Suppr @ 2026

文献检索

告别复杂PubMed语法,用中文像聊天一样搜索,搜遍4000万医学文献。AI智能推荐,让科研检索更轻松。

立即免费搜索

文件翻译

保留排版,准确专业,支持PDF/Word/PPT等文件格式,支持 12+语言互译。

免费翻译文档

深度研究

AI帮你快速写综述,25分钟生成高质量综述,智能提取关键信息,辅助科研写作。

立即免费体验

NDRG2在人结直肠癌中的表达及其与预后的关系。

Expression of NDRG2 in Human Colorectal Cancer and its Association with Prognosis.

作者信息

Chen Wenjing, Peng Jianhong, Ou Qingjian, Wen Yongshan, Jiang Wu, Deng Yuxiang, Zhao Yujie, Wan Desen, Pan Zhizhong, Fang Yujing

机构信息

Department of Clinical Laboratory, the First Affiliated Hospital, Jinan University, Guangzhou 510630, China.

Department of Colorectal Surgery, Sun Yat-sen University Cancer Center; State Key Laboratory of Oncology in South China; Collaborative Innovation Center for Cancer Medicine, Guangzhou, Guangdong 510060, P. R. China.

出版信息

J Cancer. 2019 Jun 9;10(15):3373-3380. doi: 10.7150/jca.31382. eCollection 2019.

DOI:10.7150/jca.31382
PMID:31293640
原文链接:https://pmc.ncbi.nlm.nih.gov/articles/PMC6603412/
Abstract

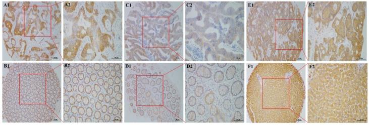
As a member of the N-myc downregulated gene family, N-Myc downstream-regulated gene 2 (NDRG2) contributes to tumorigenesis of various types of cancer. The expression status of NDRG2 in colorectal cancer (CRC) and its prognostic value remain to be elucidated. The goal of this study was to determine the expression pattern of NDRG2 in human CRC and its association of NDRG2 expression with prognosis. Immunohistochemistry was used to determine the level of NDRG2 expressions in 316 CRC tissues. The medical records of consecutive CRC patients undergoing primary tumor resection from September 2000 to February 2015 were retrospectively selected. Then, we compared to specific clinicopathological features in patients with different level of NDRG2 expressions. The correlation of NDRG2 expression with 3-year survival rate was assessed by Kaplan-Meier method and Cox regression modeling. NDRG2 was expressed in 94.6% (299/316) of CRC tissues. The median IHC score of NDRG2 expression was significantly lower in tumor tissues compared with that of tumor-adjacent normal tissues [4.50(range 0.00-12.00) vs. 10.00 (range 0.00-12.00), P < 0.001].Survival analysis indicated that patients with low NDRG2 expression had poorer 3-year OS than those with high NDRG2 expression (59.9% vs. 76.6%, P = 0.017). Low NDRG2 expression also presented a significantly poorer 3-year OS rate in patient with stage IV disease (29.4% vs. 56.5%, P = 0.002), liver metastasis(32.2% vs. 54.7%, P = 0.005) and those receiving liver resection(56.5% vs. 71.9% , P = 0.012). Multivariate analysis indicated that high NDRG2 expression was independently associated with poor OS (hazard ratio [HR]: 1.499; 95% confidence interval [CI]: 1.037-2.165; P = 0.031). Low expression of NDRG2 was associated with unfavorable prognosis in CRC patients with primary tumor resection. Detection of NDRG2 expression might be useful for providing valuable information of individualized therapy for CRC patients.

摘要

作为N - myc下调基因家族的一员,N - Myc下游调控基因2(NDRG2)在多种癌症的肿瘤发生过程中发挥作用。NDRG2在结直肠癌(CRC)中的表达状态及其预后价值仍有待阐明。本研究的目的是确定NDRG2在人类CRC中的表达模式及其与预后的关系。采用免疫组织化学方法检测316例CRC组织中NDRG2的表达水平。回顾性选取2000年9月至2015年2月接受原发性肿瘤切除的连续CRC患者的病历。然后,我们比较了不同NDRG2表达水平患者的特定临床病理特征。采用Kaplan - Meier法和Cox回归模型评估NDRG2表达与3年生存率的相关性。NDRG2在94.6%(299/316)的CRC组织中表达。与肿瘤邻近正常组织相比,肿瘤组织中NDRG2表达的免疫组化中位评分显著降低[4.50(范围0.00 - 12.00)对10.00(范围0.00 - 12.00),P < 0.001]。生存分析表明,NDRG2低表达患者的3年总生存率低于高表达患者(59.9%对76.6%,P = 0.017)。NDRG2低表达在IV期疾病患者(29.4%对56.5%,P = 0.002)、肝转移患者(32.2%对54.7%,P = 0.005)以及接受肝切除的患者(56.5%对71.9%,P = 0.012)中也呈现出显著较差的3年总生存率。多因素分析表明,NDRG2高表达与较差的总生存期独立相关(风险比[HR]:1.499;95%置信区间[CI]:1.037 - 2.165;P = 0.031)。NDRG2低表达与接受原发性肿瘤切除的CRC患者的不良预后相关。检测NDRG2表达可能有助于为CRC患者提供个体化治疗的有价值信息。

https://cdn.ncbi.nlm.nih.gov/pmc/blobs/5d91/6603412/50cce20f6245/jcav10p3373g005.jpg
https://cdn.ncbi.nlm.nih.gov/pmc/blobs/5d91/6603412/cbc2d418d63e/jcav10p3373g001.jpg
https://cdn.ncbi.nlm.nih.gov/pmc/blobs/5d91/6603412/75dd77c43f40/jcav10p3373g002.jpg
https://cdn.ncbi.nlm.nih.gov/pmc/blobs/5d91/6603412/f8850d4702f5/jcav10p3373g003.jpg
https://cdn.ncbi.nlm.nih.gov/pmc/blobs/5d91/6603412/78f016bb20d2/jcav10p3373g004.jpg
https://cdn.ncbi.nlm.nih.gov/pmc/blobs/5d91/6603412/50cce20f6245/jcav10p3373g005.jpg
https://cdn.ncbi.nlm.nih.gov/pmc/blobs/5d91/6603412/cbc2d418d63e/jcav10p3373g001.jpg
https://cdn.ncbi.nlm.nih.gov/pmc/blobs/5d91/6603412/75dd77c43f40/jcav10p3373g002.jpg
https://cdn.ncbi.nlm.nih.gov/pmc/blobs/5d91/6603412/f8850d4702f5/jcav10p3373g003.jpg
https://cdn.ncbi.nlm.nih.gov/pmc/blobs/5d91/6603412/78f016bb20d2/jcav10p3373g004.jpg
https://cdn.ncbi.nlm.nih.gov/pmc/blobs/5d91/6603412/50cce20f6245/jcav10p3373g005.jpg

相似文献

1
Expression of NDRG2 in Human Colorectal Cancer and its Association with Prognosis.NDRG2在人结直肠癌中的表达及其与预后的关系。
J Cancer. 2019 Jun 9;10(15):3373-3380. doi: 10.7150/jca.31382. eCollection 2019.
2
High WNT6 expression indicates unfavorable survival outcome for patients with colorectal liver metastasis after liver resection.WNT6高表达提示肝切除术后结直肠癌肝转移患者的生存结局不佳。
J Cancer. 2019 Jun 2;10(12):2619-2627. doi: 10.7150/jca.32817. eCollection 2019.
3
Combined aberrant expression of N-Myc downstream-regulated gene 2 and CD24 is associated with disease-free survival and overall survival in patients with hepatocellular carcinoma.N-Myc下游调控基因2和CD24的联合异常表达与肝细胞癌患者的无病生存期和总生存期相关。
Diagn Pathol. 2014 Oct 23;9:209. doi: 10.1186/s13000-014-0209-5.
4
Expression of NDRG2 in human lung cancer and its correlation with prognosis.NDRG2 在人肺癌中的表达及其与预后的关系。
Med Oncol. 2013 Mar;30(1):421. doi: 10.1007/s12032-012-0421-7. Epub 2013 Jan 10.
5
Prediction of colorectal cancer relapse and prognosis by tissue mRNA levels of NDRG2.通过组织中 NDRG2 的 mRNA 水平预测结直肠癌的复发和预后。
Mol Cancer Ther. 2011 Jan;10(1):47-56. doi: 10.1158/1535-7163.MCT-10-0614.
6
Epigenetic silencing of NDRG2 promotes colorectal cancer proliferation and invasion.NDRG2的表观遗传沉默促进结直肠癌的增殖和侵袭。
J Gastroenterol Hepatol. 2016 Jan;31(1):164-71. doi: 10.1111/jgh.13068.
7
Expression and prognostic value of the aldehyde dehydrogenase 1 (ALDH1) and N-myc downstream regulated gene 2 (NDRG2) as potential markers in human astrocytomas.醛脱氢酶1(ALDH1)和N-myc下游调控基因2(NDRG2)作为人类星形细胞瘤潜在标志物的表达及预后价值
Tumour Biol. 2016 May;37(5):6261-5. doi: 10.1007/s13277-015-4491-y. Epub 2015 Nov 30.
8
Suppression of N-myc downstream-regulated gene 2 is associated with induction of Myc in colorectal cancer and correlates closely with differentiation.N- myc下游调控基因2的抑制与结直肠癌中Myc的诱导相关,并与分化密切相关。
Biol Pharm Bull. 2009 Jun;32(6):968-75. doi: 10.1248/bpb.32.968.
9
Low NDRG2 expression predicts poor prognosis in solid tumors: A meta-analysis of cohort study.低NDRG2表达预示实体瘤预后不良:一项队列研究的荟萃分析
Medicine (Baltimore). 2020 Oct 9;99(41):e22678. doi: 10.1097/MD.0000000000022678.
10
High expression of PFTK1 in cancer cells predicts poor prognosis in colorectal cancer.癌细胞中PFTK1的高表达预示着结直肠癌的预后不良。
Mol Med Rep. 2017 Jul;16(1):224-230. doi: 10.3892/mmr.2017.6560. Epub 2017 May 10.

引用本文的文献

1
Exploring RNA binding proteins in hepatocellular carcinoma: insights into mechanisms and therapeutic potential.探索肝细胞癌中的RNA结合蛋白:对其机制及治疗潜力的见解
J Exp Clin Cancer Res. 2025 Apr 24;44(1):130. doi: 10.1186/s13046-025-03395-7.
2
The Function of N-Myc Downstream-Regulated Gene 2 (NDRG2) as a Negative Regulator in Tumor Cell Metastasis.N-Myc 下游调节基因 2(NDRG2)作为肿瘤细胞转移负调节剂的功能。
Int J Mol Sci. 2022 Aug 19;23(16):9365. doi: 10.3390/ijms23169365.
3
NDRG2 inhibition facilitates angiogenesis of hepatocellular carcinoma.

本文引用的文献

1
Is Hepatectomy Justified for BRAF Mutant Colorectal Liver Metastases?: A Multi-institutional Analysis of 1497 Patients.BRAF 突变结直肠癌肝转移行肝切除术是否合理?:1497 例患者的多机构分析。
Ann Surg. 2020 Jan;271(1):147-154. doi: 10.1097/SLA.0000000000002968.
2
Loss of NDRG2 in liver microenvironment inhibits cancer liver metastasis by regulating tumor associate macrophages polarization.肝微环境中 NDRG2 的缺失通过调节肿瘤相关巨噬细胞极化抑制肝癌转移。
Cell Death Dis. 2018 Feb 14;9(2):248. doi: 10.1038/s41419-018-0284-8.
3
Effects of NDRG2 Overexpression on Metastatic Behaviors of HCT116 Colorectal Cancer Cell Line.
NDRG2抑制促进肝细胞癌的血管生成。
Open Med (Wars). 2021 May 11;16(1):742-748. doi: 10.1515/med-2021-0268. eCollection 2021.
4
N-myc downstream-regulated gene 2 promotes the protein stability of estrogen receptor beta via inhibition of ubiquitin-protein ligase E3A to suppress colorectal cancer.N- myc下游调控基因2通过抑制泛素蛋白连接酶E3A促进雌激素受体β的蛋白质稳定性以抑制结直肠癌。
J Gastrointest Oncol. 2020 Dec;11(6):1200-1213. doi: 10.21037/jgo-20-557.
5
Low NDRG2 expression predicts poor prognosis in solid tumors: A meta-analysis of cohort study.低NDRG2表达预示实体瘤预后不良:一项队列研究的荟萃分析
Medicine (Baltimore). 2020 Oct 9;99(41):e22678. doi: 10.1097/MD.0000000000022678.
NDRG2过表达对HCT116结肠癌细胞系转移行为的影响
Adv Pharm Bull. 2017 Dec;7(4):661-664. doi: 10.15171/apb.2017.080. Epub 2017 Dec 31.
4
Global surveillance of trends in cancer survival 2000-14 (CONCORD-3): analysis of individual records for 37 513 025 patients diagnosed with one of 18 cancers from 322 population-based registries in 71 countries.全球癌症生存趋势监测 2000-14 年(CONCORD-3):对来自 71 个国家 322 个基于人群的登记处的 37513025 名诊断患有 18 种癌症之一的患者的个体记录进行分析。
Lancet. 2018 Mar 17;391(10125):1023-1075. doi: 10.1016/S0140-6736(17)33326-3. Epub 2018 Jan 31.
5
NDRG2 facilitates colorectal cancer differentiation through the regulation of Skp2-p21/p27 axis.NDRG2 通过调控 Skp2-p21/p27 轴促进结直肠癌细胞分化。
Oncogene. 2018 Mar;37(13):1759-1774. doi: 10.1038/s41388-017-0118-7. Epub 2018 Jan 18.
6
Prognostic value of preoperative prognostic nutritional index and its associations with systemic inflammatory response markers in patients with stage III colon cancer.术前预后营养指数在III期结肠癌患者中的预后价值及其与全身炎症反应标志物的相关性
Chin J Cancer. 2017 Dec 21;36(1):96. doi: 10.1186/s40880-017-0260-1.
7
Expression of a novel CNPY2 isoform in colorectal cancer and its association with oncologic prognosis.一种新型CNPY2亚型在结直肠癌中的表达及其与肿瘤预后的关系。
Aging (Albany NY). 2017 Nov 13;9(11):2334-2351. doi: 10.18632/aging.101324.
8
Early recurrence in patients undergoing curative resection of colorectal liver oligometastases: identification of its clinical characteristics, risk factors, and prognosis.接受结直肠癌肝寡转移灶根治性切除患者的早期复发:其临床特征、危险因素及预后的识别
J Cancer Res Clin Oncol. 2018 Feb;144(2):359-369. doi: 10.1007/s00432-017-2538-8. Epub 2017 Nov 11.
9
Expression of voltage-gated sodium channel Nav1.5 in non-metastatic colon cancer and its associations with estrogen receptor (ER)-β expression and clinical outcomes.电压门控钠通道Nav1.5在非转移性结肠癌中的表达及其与雌激素受体(ER)-β表达和临床结局的关系。
Chin J Cancer. 2017 Nov 9;36(1):89. doi: 10.1186/s40880-017-0253-0.
10
Suppression of microRNA-454 impedes the proliferation and invasion of prostate cancer cells by promoting N-myc downstream-regulated gene 2 and inhibiting WNT/β-catenin signaling.抑制 microRNA-454 通过促进 N-myc 下游调节基因 2 和抑制 WNT/β-连环蛋白信号通路来阻碍前列腺癌细胞的增殖和侵袭。
Biomed Pharmacother. 2018 Jan;97:120-127. doi: 10.1016/j.biopha.2017.10.115. Epub 2017 Nov 6.