Suppr超能文献

丙酮酸乙酯靶向HMGB1可改善系统性红斑狼疮并逆转骨髓间充质干细胞的衰老表型。

Targeting HMGB1 by ethyl pyruvate ameliorates systemic lupus erythematosus and reverses the senescent phenotype of bone marrow-mesenchymal stem cells.

作者信息

Ji Juan, Fu Ting, Dong Chen, Zhu Wenyan, Yang Junling, Kong Xiaoli, Zhang Zhongyuan, Bao Yanfeng, Zhao Rui, Ge Xinyu, Sha Xiaoqi, Lu Zhimin, Li Jing, Gu Zhifeng

机构信息

Department of Rheumatology, Affiliated Hospital of Nantong University, Nantong, Jiangsu 22600, P.R. China.

Research Center of Clinical Medicine, Affiliated Hospital of Nantong University, Nantong, Jiangsu 226001, P.R. China.

出版信息

Aging (Albany NY). 2019 Jul 14;11(13):4338-4353. doi: 10.18632/aging.102052.

Abstract

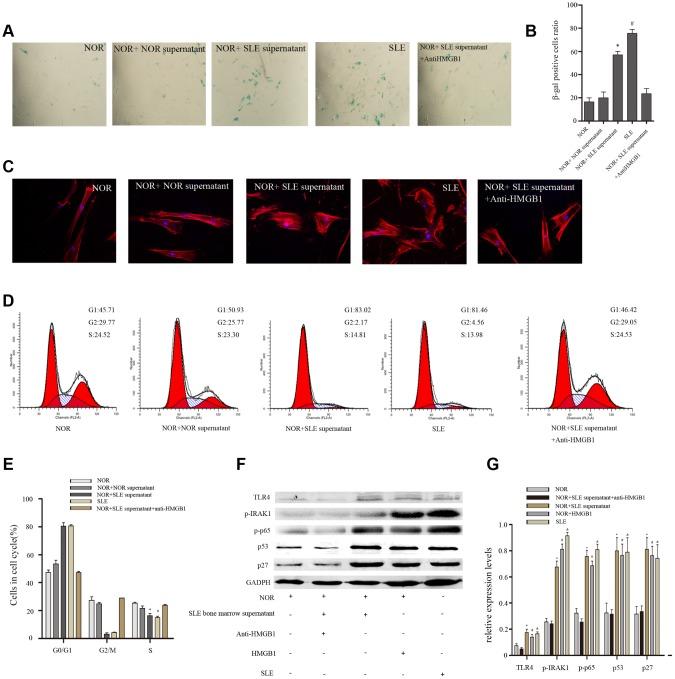
Systemic lupus erythematosus (SLE) is a chronic autoimmune disease involving multiple organs and systems. Mesenchymal stem cells (MSCs) from SLE patients have demonstrated defects such as impaired growth, senescence phenotype and immunomodulatory functions. Some studies have suggested the close connection between inflammation microenvironment and cellular senescence. In the current study, we detected cytokines levels in bone marrow supernatant by the quantitative proteomics analysis, and found the expression of HMGB1 was remarkably increased in bone marrow from SLE patients. Senescence associated-β-galactosidase (SA-β-gal) staining, F-actin staining and flow cytometry were used to detect the senescence of cells. After stimulation of HMGB1 in normal MSCs, the ratio of SA-β-gal positive in BM-MSCs was increased, the organization of cytoskeleton was disordered, and TLR4-NF-κB signaling was activated. Finally, Ethyl pyruvate (EP) (40 mg/kg and 100 mg/kg, three times a week), a high security HMGB1 inhibitor, was injected intraperitoneally to treat MRL/lpr mice for 8 weeks. We demonstrated that EP alleviated the clinical aspects of lupus nephritis and prolonged survival of MRL/lpr mice. In the meantime, EP reversed the senescent phenotype of BM-MSCs from MRL/lpr mice. HMGB1 could be a promising target in SLE patients, and might be one of the reasons of recurrence after MSCs transplantation.

摘要

系统性红斑狼疮(SLE)是一种累及多个器官和系统的慢性自身免疫性疾病。SLE患者的间充质干细胞(MSCs)已表现出诸如生长受损、衰老表型和免疫调节功能缺陷等问题。一些研究表明炎症微环境与细胞衰老之间存在密切联系。在本研究中,我们通过定量蛋白质组学分析检测了骨髓上清液中的细胞因子水平,发现SLE患者骨髓中高迁移率族蛋白B1(HMGB1)的表达显著增加。采用衰老相关β半乳糖苷酶(SA-β-gal)染色、F-肌动蛋白染色和流式细胞术检测细胞衰老情况。在正常MSCs中刺激HMGB1后,骨髓间充质干细胞(BM-MSCs)中SA-β-gal阳性比例增加,细胞骨架组织紊乱,且Toll样受体4-核因子κB(TLR4-NF-κB)信号被激活。最后,腹腔注射丙酮酸乙酯(EP)(40mg/kg和100mg/kg,每周三次),一种安全性高的HMGB1抑制剂,对MRL/lpr小鼠进行治疗8周。我们证明EP减轻了狼疮性肾炎的临床症状并延长了MRL/lpr小鼠的生存期。同时,EP逆转了MRL/lpr小鼠BM-MSCs的衰老表型。HMGB1可能是SLE患者一个有前景的治疗靶点,并且可能是MSCs移植后复发的原因之一。

https://cdn.ncbi.nlm.nih.gov/pmc/blobs/a2a0/6660056/c4f6e5867aa5/aging-11-102052-g001.jpg

文献AI研究员

20分钟写一篇综述,助力文献阅读效率提升50倍。

立即体验

用中文搜PubMed

大模型驱动的PubMed中文搜索引擎

马上搜索

文档翻译

学术文献翻译模型,支持多种主流文档格式。

立即体验