Suppr超能文献

[An exceptional malformative association: situs inversus totalis and retro-costo-xyphoidian hernia].

作者信息

Slioui Badr, Abdellaoui Mohammed, Belabbes Soufiane, Dafiri Rachida

机构信息

Service de Radiologie Pédiatrie, Hôpital d'Enfant, Rabat, Maroc.

出版信息

Pan Afr Med J. 2019 Apr 9;32:167. doi: 10.11604/pamj.2019.32.167.6558. eCollection 2019.

Abstract

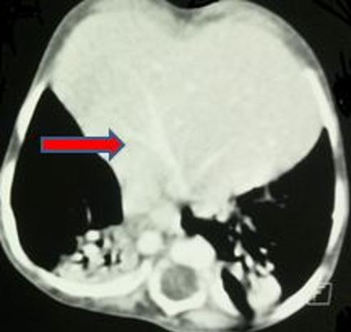
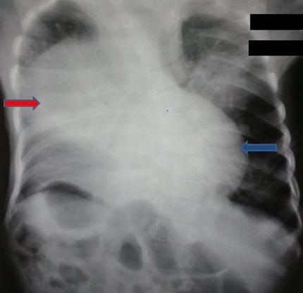
Retro-costo-xyphoidian hernia is a rare congenital malformation. It accounts for 3% of all the diaphragmatic hernias. It can be isolated or associated with other malformations. We here report a very rare case of Morgagni-Larrey hernia and situs inversus totalis detected after neonatal respiratory distress.

摘要
https://cdn.ncbi.nlm.nih.gov/pmc/blobs/f6f9/6607463/b7361b153ec0/PAMJ-32-167-g001.jpg

文献AI研究员

20分钟写一篇综述,助力文献阅读效率提升50倍。

立即体验

用中文搜PubMed

大模型驱动的PubMed中文搜索引擎

马上搜索

文档翻译

学术文献翻译模型,支持多种主流文档格式。

立即体验