Suppr超能文献

埋伏恒中切牙的替代治疗

Alternative Management of Impacted Permanent Central Incisor.

作者信息

Thomas Jeswin, Harris Anoop, Hedge Sundeep, Morgan Gen, Prabha Esai A

机构信息

Department of Pedodontics and Preventive Dentistry, Rajas Dental College and Hospital, Chennai, Tamil Nadu, India.

Department of Pedodontics and Preventive Dentistry, Yenapoya Dental College, Karnataka, India.

出版信息

Int J Clin Pediatr Dent. 2018 Nov-Dec;11(6):529-531. doi: 10.5005/jp-journals-10005-1570.

Abstract

AIM

To discuss about the possible treatment modalities of supernumerary tooth in place of a impacted permanent tooth.

BACKGROUND

Numerical anomaly with an excessive number of teeth are termed as supernumerary teeth.

CASE DESCRIPTION

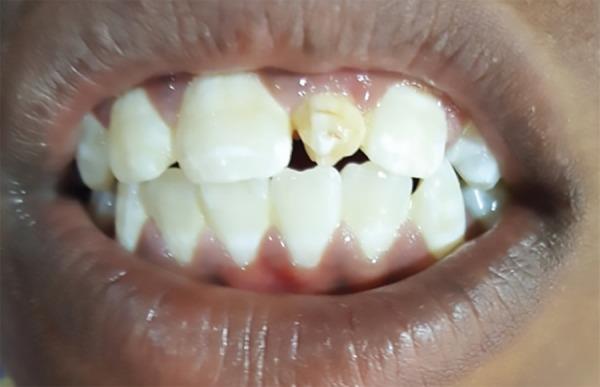
This paper describes a case with erupted supernumerary tooth in the place of missing left maxillary central incisor. Radiographically the left maxillary central incisor was impacted below the root of the supernumerary tooth with an additional impacted supernumerary tooth in relation to the right maxillary central incisor.

CONCLUSION

A multidisciplinary approach is required in managing the supernumerary teeth. When orthodontic extrusion of the impacted permanent tooth is not possible the possibilities of retaining the supernumerary tooth should be considered.

CLINICAL SIGNIFICANCE

This paper describes about the treatment of supernumerary tooth erupted in the place of missing left maxillary central incisor not amenable for orthodontic extrusion.

HOW TO CITE THIS ARTICLE

Thomas J, Harris A, Hedge S, Morgan G, Prabha EA, Rinu. Alternative Management of Impacted Permanent Central Incisor. Int J Clin Pediatr Dent, 2018;11(6):529-531.

摘要

目的

探讨替代阻生恒牙的多生牙的可能治疗方式。

背景

牙齿数量异常增多被称为多生牙。

病例描述

本文描述了一例左上颌中切牙缺失处有多生牙萌出的病例。影像学检查显示,左上颌中切牙阻生于多生牙牙根下方,右侧上颌中切牙相对应位置还有一颗额外的阻生多生牙。

结论

多生牙的处理需要多学科方法。当无法对阻生恒牙进行正畸牵引时,应考虑保留多生牙的可能性。

临床意义

本文描述了左上颌中切牙缺失处萌出的多生牙的治疗情况,该多生牙不适合进行正畸牵引。

如何引用本文

托马斯·J、哈里斯·A、赫奇·S、摩根·G、普拉巴·E·A、里努。阻生恒中切牙的替代处理。《国际临床儿科牙科学杂志》,2018年;11(6):529 - 531。

https://cdn.ncbi.nlm.nih.gov/pmc/blobs/d6d3/6611535/1178c70582d5/ijcpd-11-529-g001.jpg

文献AI研究员

20分钟写一篇综述,助力文献阅读效率提升50倍。

立即体验

用中文搜PubMed

大模型驱动的PubMed中文搜索引擎

马上搜索

文档翻译

学术文献翻译模型,支持多种主流文档格式。

立即体验