• 文献检索
  • 文档翻译
  • 深度研究
  • 学术资讯
  • Suppr Zotero 插件Zotero 插件
  • 邀请有礼
  • 套餐&价格
  • 历史记录
应用&插件
Suppr Zotero 插件Zotero 插件浏览器插件Mac 客户端Windows 客户端微信小程序
定价
高级版会员购买积分包购买API积分包
服务
文献检索文档翻译深度研究API 文档MCP 服务
关于我们
关于 Suppr公司介绍联系我们用户协议隐私条款
关注我们

Suppr 超能文献

核心技术专利:CN118964589B侵权必究
粤ICP备2023148730 号-1Suppr @ 2026

文献检索

告别复杂PubMed语法,用中文像聊天一样搜索,搜遍4000万医学文献。AI智能推荐,让科研检索更轻松。

立即免费搜索

文件翻译

保留排版,准确专业,支持PDF/Word/PPT等文件格式,支持 12+语言互译。

免费翻译文档

深度研究

AI帮你快速写综述,25分钟生成高质量综述,智能提取关键信息,辅助科研写作。

立即免费体验

研究慢性马自主神经机能异常临床症状恢复的马匹中的残留病变。

A study of residual lesions in horses that recovered from clinical signs of chronic equine dysautonomia.

机构信息

Royal (Dick) School of Veterinary Studies and The Roslin Institute, The University of Edinburgh, Midlothian, United Kingdom.

出版信息

J Vet Intern Med. 2019 Sep;33(5):2302-2311. doi: 10.1111/jvim.15567. Epub 2019 Jul 22.

DOI:10.1111/jvim.15567
PMID:31332854
原文链接:https://pmc.ncbi.nlm.nih.gov/articles/PMC6766533/
Abstract

BACKGROUND

Equine dysautonomia (ED) causes degeneration and loss of autonomic neurons. Approximately 50% of chronic cases recover, but it is unclear how they survive neuronal loss.

OBJECTIVES

To assess lesions, autonomic neuron numbers, interstitial cells of Cajal (ICC), and neurodegeneration in recovered cases.

ANIMALS

Thirteen cases (group ED), euthanized 10.3 ± 5.2 (1-16) years from diagnosis and 6 age-matched controls (group C).

METHODS

Prospective, case control; routine post mortem examination, neuron counts in peripheral and enteric ganglia and immunohistochemical assessment of neural networks (Protein gene product [PGP] 9.5), ICC (c-kit), and neurodegeneration (beta-amyloid precursor protein and ubiquitin) in intestine.

RESULTS

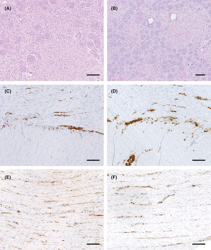
Postmortem findings in group ED were small intestinal dilation (4/12, 33%) and muscular hypertrophy (4/12, 33%), and gastric mucosal hypertrophy (3/11, 27%) and ulceration (4/11, 36%). Neuron density was lower in group ED (mean 39% lower for cranial cervical ganglion [P < .001], median 44% lower in celiacomesenteric ganglion [P = .01]). In intestine, neuronal depletion was worst in ileum (median 100% lower in submucosal plexus [P < .001], 91% lower in myenteric plexus [P = .004]). Group ED had less PGP 9.5 staining in ileal myenteric plexus (mean 66% lower [P = .04]) and circular muscle (median 75% lower [P = .006]). In ileum, there was less c-kit staining in myenteric plexus (median 57% lower [P = .02]) but not muscularis externa. Beta-amyloid precursor protein and ubiquitin results were not indicitive of neurodegeneration.

CONCLUSIONS AND CLINICAL IMPORTANCE

Intact ICC in muscularis externa might help maintain motility after neuronal loss. Treatment supporting ICC function warrants investigation.

摘要

背景

马的自主神经病变(ED)导致自主神经元变性和丧失。大约 50%的慢性病例会康复,但尚不清楚它们是如何在神经元丧失的情况下存活的。

目的

评估恢复病例中的病变、自主神经元数量、Cajal 间质细胞(ICC)和神经退行性变。

动物

13 例(ED 组),诊断后 10.3±5.2(1-16)年安乐死,6 例年龄匹配的对照组(C 组)。

方法

前瞻性病例对照;常规尸检,检测外周和肠神经节中的神经元计数,以及肠道中神经网络(蛋白基因产物[PGP]9.5)、ICC(c-kit)和神经退行性变(β-淀粉样前体蛋白和泛素)的免疫组织化学评估。

结果

ED 组的尸检结果为小肠扩张(4/12,33%)和肌肉肥大(4/12,33%),以及胃黏膜肥大(3/11,27%)和溃疡(4/11,36%)。ED 组的神经元密度较低(颅颈神经节平均低 39%[P<0.001],腹腔肠系膜神经节中位数低 44%[P=0.01])。在肠道中,回肠的神经元耗竭最为严重(黏膜下神经丛中位数低 100%[P<0.001],肌间神经丛中位数低 91%[P=0.004])。ED 组在回肠肌间神经丛中的 PGP 9.5 染色较少(平均低 66%[P=0.04])和环形肌(中位数低 75%[P=0.006])。在回肠中,肌间神经丛中的 c-kit 染色较少(中位数低 57%[P=0.02]),但外肌层没有。β-淀粉样前体蛋白和泛素的结果并不表明存在神经退行性变。

结论和临床意义

外肌层中完整的 ICC 可能有助于在神经元丧失后维持运动。支持 ICC 功能的治疗值得进一步研究。

https://cdn.ncbi.nlm.nih.gov/pmc/blobs/c195/6766533/337fd74f12fb/JVIM-33-2302-g006.jpg
https://cdn.ncbi.nlm.nih.gov/pmc/blobs/c195/6766533/4f98320fab80/JVIM-33-2302-g001.jpg
https://cdn.ncbi.nlm.nih.gov/pmc/blobs/c195/6766533/c7de6ba32e4a/JVIM-33-2302-g002.jpg
https://cdn.ncbi.nlm.nih.gov/pmc/blobs/c195/6766533/4ed72bed99f7/JVIM-33-2302-g003.jpg
https://cdn.ncbi.nlm.nih.gov/pmc/blobs/c195/6766533/0edf63245a27/JVIM-33-2302-g004.jpg
https://cdn.ncbi.nlm.nih.gov/pmc/blobs/c195/6766533/067d6a8fda5f/JVIM-33-2302-g005.jpg
https://cdn.ncbi.nlm.nih.gov/pmc/blobs/c195/6766533/337fd74f12fb/JVIM-33-2302-g006.jpg
https://cdn.ncbi.nlm.nih.gov/pmc/blobs/c195/6766533/4f98320fab80/JVIM-33-2302-g001.jpg
https://cdn.ncbi.nlm.nih.gov/pmc/blobs/c195/6766533/c7de6ba32e4a/JVIM-33-2302-g002.jpg
https://cdn.ncbi.nlm.nih.gov/pmc/blobs/c195/6766533/4ed72bed99f7/JVIM-33-2302-g003.jpg
https://cdn.ncbi.nlm.nih.gov/pmc/blobs/c195/6766533/0edf63245a27/JVIM-33-2302-g004.jpg
https://cdn.ncbi.nlm.nih.gov/pmc/blobs/c195/6766533/067d6a8fda5f/JVIM-33-2302-g005.jpg
https://cdn.ncbi.nlm.nih.gov/pmc/blobs/c195/6766533/337fd74f12fb/JVIM-33-2302-g006.jpg

相似文献

1
A study of residual lesions in horses that recovered from clinical signs of chronic equine dysautonomia.研究慢性马自主神经机能异常临床症状恢复的马匹中的残留病变。
J Vet Intern Med. 2019 Sep;33(5):2302-2311. doi: 10.1111/jvim.15567. Epub 2019 Jul 22.
2
Observations on the interstitial cells of Cajal and neurons in a recovered case of equine dysautonomia (grass sickness).一匹马自主神经功能障碍(青草搐搦症)康复病例中Cajal间质细胞和神经元的观察
J Comp Pathol. 2005 Jul;133(1):33-40. doi: 10.1016/j.jcpa.2005.01.004.
3
A reduction in interstitial cells of Cajal in horses with equine dysautonomia (grass sickness).患有马自主神经失调症(青草搐搦症)的马匹中Cajal间质细胞数量减少。
Auton Neurosci. 2001 Sep 17;92(1-2):37-44. doi: 10.1016/S1566-0702(01)00316-2.
4
Presence of in vitro electrical activity in the ileum of horses with enteric nervous system pathology: equine dysautonomia (grass sickness).患有肠道神经系统疾病(马属植物性神经功能障碍,即青草搐搦症)的马匹回肠中体外电活动的存在情况
Auton Neurosci. 2002 Aug 30;99(2):119-26. doi: 10.1016/s1566-0702(02)00065-6.
5
Equine Dysautonomia.马属动物自主神经功能障碍
Vet Clin North Am Equine Pract. 2018 Apr;34(1):113-125. doi: 10.1016/j.cveq.2017.11.010. Epub 2018 Feb 3.
6
Ganglion Cytology: A Novel Rapid Method for the Diagnosis of Equine Dysautonomia.神经节细胞学:一种诊断马属动物自主神经功能障碍的新型快速方法。
Vet Pathol. 2019 Mar;56(2):244-247. doi: 10.1177/0300985818806051. Epub 2018 Oct 5.
7
Interstitial cells of Cajal (ICC) in equine colic: an immunohistochemical study of horses with obstructive disorders of the small and large intestines.马患绞痛时的 Cajal 间质细胞(ICC):对患有小肠和大肠梗阻性疾病马匹的免疫组织化学研究
Equine Vet J. 2004 Sep;36(6):474-9. doi: 10.2746/0425164044877314.
8
Small intestine and small colon neuropathy in equine dysautonomia (grass sickness).马自主神经功能障碍(青草搐搦症)中的小肠和小结肠神经病变
Vet Res Commun. 1995;19(6):529-43. doi: 10.1007/BF01839341.
9
Myenteric networks of interstitial cells of Cajal are reduced in horses with inflammatory bowel disease.具有炎症性肠病的马的 Cajal 间质细胞内的肌间网络减少。
Equine Vet J. 2020 Mar;52(2):298-304. doi: 10.1111/evj.13160. Epub 2019 Sep 5.
10
The development and distribution of the interstitial cells of Cajal in the intestine of the equine fetus and neonate.马胎儿和新生儿肠道中Cajal间质细胞的发育与分布。
J Anat. 2004 Jul;205(1):35-44. doi: 10.1111/j.0021-8782.2004.00315.x.

引用本文的文献

1
Comparison of Dysautonomia Across Species: Current Knowledge and Future Research Opportunities.跨物种自主神经功能障碍的比较:当前知识与未来研究机遇
J Vet Intern Med. 2025 Jul-Aug;39(4):e70140. doi: 10.1111/jvim.70140.

本文引用的文献

1
Histological assessment of β-amyloid precursor protein immunolabelled rectal biopsies aids diagnosis of equine grass sickness.β-淀粉样前体蛋白免疫标记直肠活检组织的组织学评估有助于马草痉挛病的诊断。
Equine Vet J. 2018 Jan;50(1):22-28. doi: 10.1111/evj.12710. Epub 2017 Aug 18.
2
Regulation of Gastrointestinal Smooth Muscle Function by Interstitial Cells.间质细胞对胃肠平滑肌功能的调节
Physiology (Bethesda). 2016 Sep;31(5):316-26. doi: 10.1152/physiol.00006.2016.
3
Enteric Neuronal Damage, Intramuscular Denervation and Smooth Muscle Phenotype Changes as Mechanisms of Chagasic Megacolon: Evidence from a Long-Term Murine Model of Trypanosoma cruzi Infection.
肠道神经元损伤、肌内失神经支配和平滑肌表型改变作为恰加斯病巨结肠的发病机制:来自克氏锥虫感染长期小鼠模型的证据
PLoS One. 2016 Apr 5;11(4):e0153038. doi: 10.1371/journal.pone.0153038. eCollection 2016.
4
Interstitial cells of Cajal - systematic review.Cajal间质细胞——系统评价
Folia Morphol (Warsz). 2016;75(3):281-286. doi: 10.5603/FM.a2016.0002. Epub 2016 Jan 25.
5
Bodyweight change aids prediction of survival in chronic equine grass sickness.体重变化有助于预测慢性马属草食动物中毒症的存活率。
Equine Vet J. 2016 Nov;48(6):792-797. doi: 10.1111/evj.12551. Epub 2016 Jan 25.
6
Proteomic Profiling of Cranial (Superior) Cervical Ganglia Reveals Beta-Amyloid and Ubiquitin Proteasome System Perturbations in an Equine Multiple System Neuropathy.颅(上)颈神经节的蛋白质组学分析揭示了马多系统神经病变中β-淀粉样蛋白和泛素蛋白酶体系统的紊乱。
Mol Cell Proteomics. 2015 Nov;14(11):3072-86. doi: 10.1074/mcp.M115.054635. Epub 2015 Sep 13.
7
The significance of interstitial cells in neurogastroenterology.神经胃肠病学中间质细胞的意义。
J Neurogastroenterol Motil. 2014 Jul 31;20(3):294-317. doi: 10.5056/jnm14060.
8
Dysregulation of ubiquitin homeostasis and β-catenin signaling promote spinal muscular atrophy.泛素稳态失调和β-连环蛋白信号通路的失调促进了脊髓性肌萎缩症的发生。
J Clin Invest. 2014 Apr;124(4):1821-34. doi: 10.1172/JCI71318. Epub 2014 Mar 3.
9
Equine grass sickness.马属动物青草搐搦症
Equine Vet J. 2014 Sep;46(5):545-53. doi: 10.1111/evj.12254. Epub 2014 Apr 20.
10
Interstitial cells of Cajal in the normal human gut and in Hirschsprung disease.正常人类肠道和先天性巨结肠中的 Cajal 间质细胞。
Pediatr Surg Int. 2013 Sep;29(9):889-97. doi: 10.1007/s00383-013-3364-y.