Suppr超能文献

巨大肝囊肿作为胃出口梗阻的一个病因。

Giant hepatic cyst as a cause of gastric outlet obstruction.

作者信息

Day Ryan J, Sanchirico Paul J, Pfeiffer David C

机构信息

WWAMI Medical Education Program (MD), University of Washington School of Medicine, 1959, NE Pacific St, Seattle, WA 98195, USA.

St. Joseph Regional Medical Center, 415, 6th St, Lewiston, ID 83501, USA.

出版信息

Radiol Case Rep. 2019 Jul 12;14(9):1088-1092. doi: 10.1016/j.radcr.2019.06.015. eCollection 2019 Sep.

Abstract

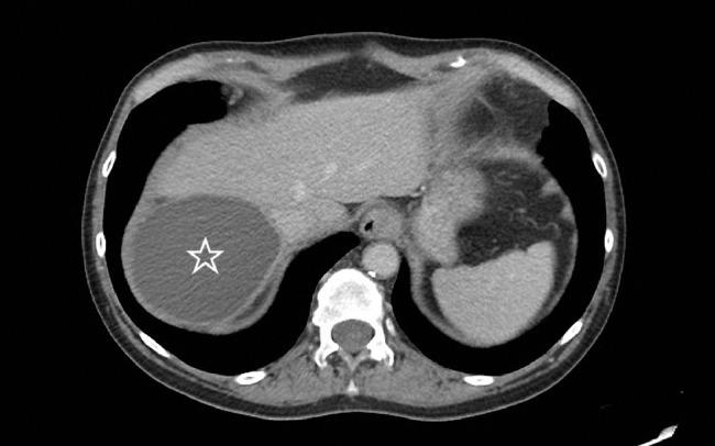
We describe the case of a 58-year-old female who presented to her primary care provider with lifelong anorexia, 6-week history of liquid only diet and new onset epigastric abdominal pain radiating to the back accompanied by nausea and abdominal distension. An initial computed tomography scan with contrast demonstrated a massive simple hepatic cyst with mass effect compression of the duodenal sweep. Repetitive treatment with aspiration sclerotherapy using hypertonic saline provided initial resolution of symptoms and led to substantial reduction of cyst diameter. Repeat imaging demonstrated complete drainage of the cyst and decompression of the duodenum. Ultimately, the patient's symptoms returned 6 weeks later at which time she opted for surgical deroofing of the cyst. Surgery provided for complete resolution. This case appears to be the first to document the compression of second portion of the duodenum by a massive simple hepatic cyst causing anorexia and mimicking gastric outlet obstruction.

摘要

我们描述了一名58岁女性的病例,她因长期厌食、仅接受流食6周的病史以及新发的上腹部疼痛并向后背部放射,伴有恶心和腹胀,就诊于她的初级保健医生处。最初的增强计算机断层扫描显示一个巨大的单纯性肝囊肿,对十二指肠曲有占位效应压迫。使用高渗盐水进行反复穿刺硬化治疗初步缓解了症状,并使囊肿直径大幅缩小。重复成像显示囊肿完全引流,十二指肠减压。最终,患者的症状在6周后复发,此时她选择了囊肿开窗手术。手术使症状完全缓解。该病例似乎是首例记录巨大单纯性肝囊肿压迫十二指肠第二段导致厌食并酷似胃出口梗阻的病例。

https://cdn.ncbi.nlm.nih.gov/pmc/blobs/32a1/6630025/f6e5c98d2a88/gr1.jpg

文献AI研究员

20分钟写一篇综述,助力文献阅读效率提升50倍。

立即体验

用中文搜PubMed

大模型驱动的PubMed中文搜索引擎

马上搜索

文档翻译

学术文献翻译模型,支持多种主流文档格式。

立即体验