Suppr超能文献

主动脉壁内血肿与穿透性动脉粥样硬化溃疡:不确定性与争议

Intramural hematoma and penetrating atherosclerotic ulcers of the aorta: uncertainties and controversies.

作者信息

Pereira Adamastor Humberto

机构信息

Hospital de Clínicas de Porto Alegre (HCPA), Universidade Federal do Rio Grande do Sul (UFRGS), Porto Alegre, RS, Brasil.

出版信息

J Vasc Bras. 2019 Jul 12;18:e20180119. doi: 10.1590/1677-5449.180119.

Abstract

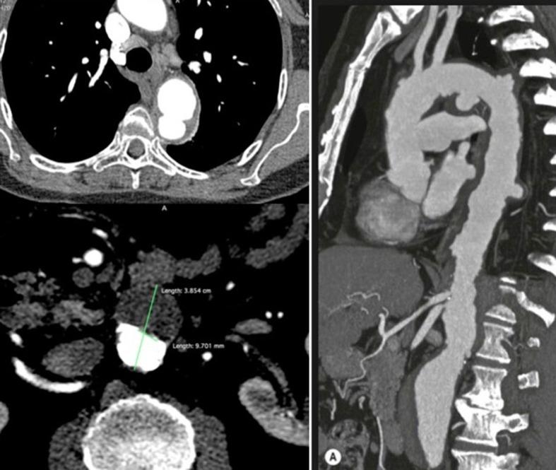
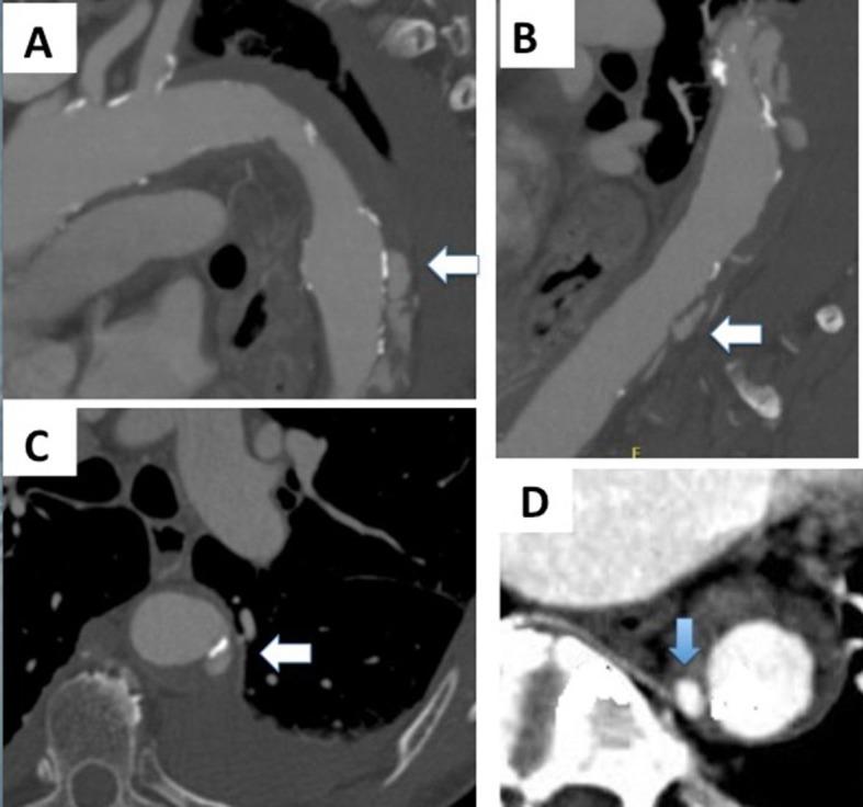
The natural histories of intramural hematoma (IMH) and penetrating atherosclerotic ulcer (PAU) are highly variable as they may progress to aneurysm formation, rupture, or dissection, or even resolve, in the specific case of IMH. Imaging plays an increasingly important role in clinical and surgical management of IMH and PAU. In contrast to ulcer-like projections, images of intramural blood pools have not been widely reported in CT studies of patients with IMH. Understanding the imaging characteristics and the natural course of each of these entities would help clinicians and surgeons to identify patients at greatest risk for bad prognosis and may improve outcomes. This paper discusses the pathophysiology of these entities, the controversies regarding their natural history, and the prognostic factors that should be identified in CT scans.

摘要

壁内血肿(IMH)和穿透性动脉粥样硬化溃疡(PAU)的自然病程差异很大,因为它们可能进展为动脉瘤形成、破裂或夹层,甚至在IMH的特定情况下自行消退。影像学在IMH和PAU的临床及手术管理中发挥着越来越重要的作用。与溃疡样突出不同,壁内血池的影像在IMH患者的CT研究中尚未得到广泛报道。了解这些病变各自的影像学特征和自然病程将有助于临床医生和外科医生识别预后不良风险最高的患者,并可能改善治疗结果。本文讨论了这些病变的病理生理学、关于其自然病程的争议以及CT扫描中应识别的预后因素。

https://cdn.ncbi.nlm.nih.gov/pmc/blobs/5d77/6636911/2f80dae359e0/jvb-18-e20180119-g01-en.jpg

文献检索

告别复杂PubMed语法,用中文像聊天一样搜索,搜遍4000万医学文献。AI智能推荐,让科研检索更轻松。

立即免费搜索

文件翻译

保留排版,准确专业,支持PDF/Word/PPT等文件格式,支持 12+语言互译。

免费翻译文档

深度研究

AI帮你快速写综述,25分钟生成高质量综述,智能提取关键信息,辅助科研写作。

立即免费体验