Suppr超能文献

通过开发含盐酸氮卓斯汀的聚合物胶束系统用于眼部给药的药物定位新方法。

A Novel Approach of Drug Localization through Development of Polymeric Micellar System Containing Azelastine HCl for Ocular Delivery.

作者信息

Devi Sheetal, Saini Vipin, Kumar Manish, Bhatt Shailendra, Gupta Sumeet, Deep Aman

机构信息

M.M. College of Pharmacy, Maharishi Markandeshwar (Deemed to Be University), Mullana, Ambala, Haryana, India.

出版信息

Pharm Nanotechnol. 2019;7(4):314-327. doi: 10.2174/2211738507666190726162000.

Abstract

BACKGROUND

Development of polymeric micelles for the management of allergic conjunctivitis to overcome the limitations of topical installation, such as poor patient compliance, poor stromal permeability, and significant adverse effects, increase precorneal residence time and efficacy, and also control the release of drug at the target site.

OBJECTIVE

The investigation was aimed at developing a polymeric micellar system of Azelastine HCl for Ocular Delivery.

METHODS

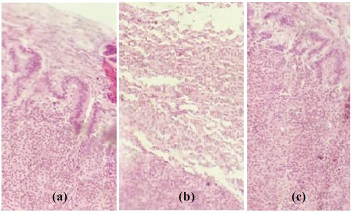
Drug loaded micelles of tri-block copolymers Pf 127 were prepared by Thin Film hydration method. The polymeric micelles formulations (F1 to F9) were assessed for entrapment efficiency, micelle size, in vitro permeation, ex vivo transcorneal permeation, in vivo Ocular Irritation, and Histology.

RESULTS

Optimized micelles formulation (F3), with the lowest micelle size of 92 nm, least polydispersity value of 0.135, highest entrapment efficiency of 95.30 ± 0.17%, and a cumulative drug permeation of 84.12 ± 1.26% in 8h, was selected to develop pH-sensitive micelles loaded carbopol in situ gel. The optimized in situ gel (G4) proved to be superior in its ex vivo transcorneal permeation when compared with Market Preparation and pure drug suspension, exhibiting 43.35 ± 1.48% Permeation with zero-order kinetics (r2 = 0.9944) across goat cornea. Transmission Electron microscopy revealed spherical polymeric micelles trapped in the gel matrix. A series of experiments showed hydration capability, non-irritancy, and histologically safe gel formulation that had appropriate handling characteristics.

CONCLUSION

A controlled release pH-sensitive ocular formulation capable of carrying the drug to the anterior section of the eye via topical delivery was successfully developed for the treatment of allergic conjunctivitis.

摘要

背景

开发用于治疗过敏性结膜炎的聚合物胶束,以克服局部给药的局限性,如患者依从性差、基质渗透性差和显著的不良反应,增加角膜前滞留时间和疗效,并控制药物在靶部位的释放。

目的

本研究旨在开发一种用于眼部给药的盐酸氮卓斯汀聚合物胶束系统。

方法

采用薄膜水化法制备了三嵌段共聚物Pf 127载药胶束。对聚合物胶束制剂(F1至F9)进行包封率、胶束大小、体外渗透、离体角膜渗透、体内眼部刺激性和组织学评估。

结果

优化后的胶束制剂(F3)胶束尺寸最小,为92nm,多分散性值最低,为0.135,包封率最高,为95.30±0.17%,8小时内药物累积渗透率为84.12±1.26%,被选用于开发载有卡波姆的pH敏感胶束原位凝胶。与市售制剂和纯药物混悬液相比,优化后的原位凝胶(G4)在离体角膜渗透方面表现更优,在山羊角膜上的渗透率为43.35±1.48%,呈零级动力学(r2 = 0.9944)。透射电子显微镜显示球形聚合物胶束被困在凝胶基质中。一系列实验表明,该凝胶制剂具有水合能力、无刺激性,且在组织学上安全,具有合适的操作特性。

结论

成功开发了一种控释pH敏感眼部制剂,能够通过局部给药将药物输送到眼前节,用于治疗过敏性结膜炎。

https://cdn.ncbi.nlm.nih.gov/pmc/blobs/6214/7040519/d3a01f61a8de/PNT-7-314_F1.jpg

文献检索

告别复杂PubMed语法,用中文像聊天一样搜索,搜遍4000万医学文献。AI智能推荐,让科研检索更轻松。

立即免费搜索

文件翻译

保留排版,准确专业,支持PDF/Word/PPT等文件格式,支持 12+语言互译。

免费翻译文档

深度研究

AI帮你快速写综述,25分钟生成高质量综述,智能提取关键信息,辅助科研写作。

立即免费体验