• 文献检索
  • 文档翻译
  • 深度研究
  • 学术资讯
  • Suppr Zotero 插件Zotero 插件
  • 邀请有礼
  • 套餐&价格
  • 历史记录
应用&插件
Suppr Zotero 插件Zotero 插件浏览器插件Mac 客户端Windows 客户端微信小程序
定价
高级版会员购买积分包购买API积分包
服务
文献检索文档翻译深度研究API 文档MCP 服务
关于我们
关于 Suppr公司介绍联系我们用户协议隐私条款
关注我们

Suppr 超能文献

核心技术专利:CN118964589B侵权必究
粤ICP备2023148730 号-1Suppr @ 2026

文献检索

告别复杂PubMed语法,用中文像聊天一样搜索,搜遍4000万医学文献。AI智能推荐,让科研检索更轻松。

立即免费搜索

文件翻译

保留排版,准确专业,支持PDF/Word/PPT等文件格式,支持 12+语言互译。

免费翻译文档

深度研究

AI帮你快速写综述,25分钟生成高质量综述,智能提取关键信息,辅助科研写作。

立即免费体验

双侧原发性视神经病变作为免疫功能正常患者结核病的首发表现。

Bilateral primary optic neuropathy as the presenting manifestation of tuberculosis in an immunocompetent patient.

作者信息

Narayanan Santhosh, Prakash Divya, Subramaniam Gomathy

机构信息

Dept of Cardiology, Govt. Medical College Kozhikode, India.

Dept of Pathology, Govt. Medical College Kozhikode, India.

出版信息

IDCases. 2019 Jul 11;18:e00579. doi: 10.1016/j.idcr.2019.e00579. eCollection 2019.

DOI:10.1016/j.idcr.2019.e00579
PMID:31367519
原文链接:https://pmc.ncbi.nlm.nih.gov/articles/PMC6656685/
Abstract

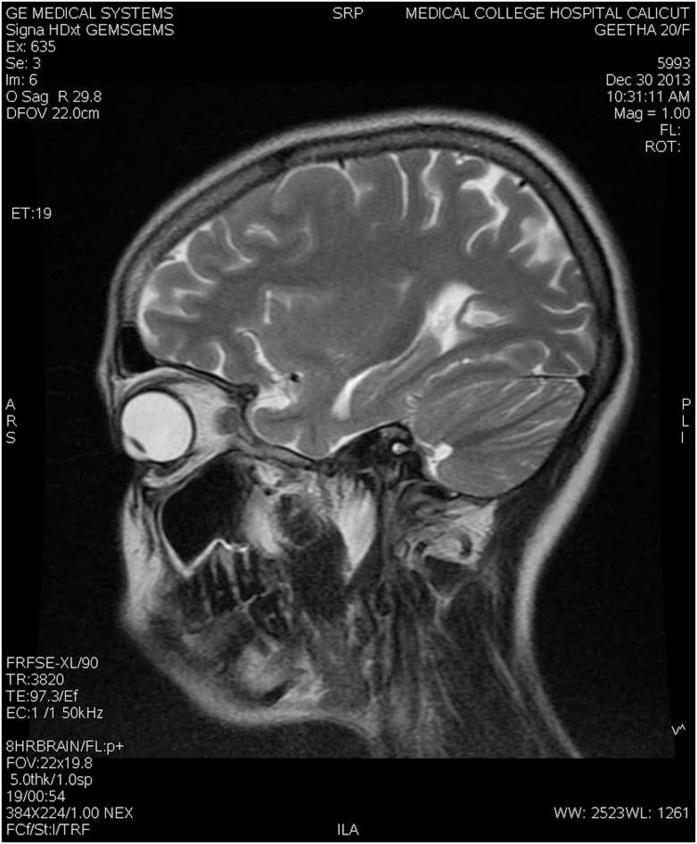
Vision impairment is one of the devastating complications of central nervous system tuberculosis (CNS TB). Optic atrophy is a sequelae of various forms of CNS TB which, ultimately, is responsible for vision impairment. It is usually the secondary optic atrophy which occurs in CNS TB. In this case report, we present the story of an immunocompetent woman presenting as bilateral visual loss. She was found to have primary optic atrophy. Neuroimaging revealed features of chronic meningitis. Polymerase chain reaction test for Mycobacterium was positive in cerebrospinal fluid. Although secondary optic atrophy is common in the CNS TB, as a complication of meningitis, primary optic atrophy per se is infrequently reported.

摘要

视力损害是中枢神经系统结核(CNS TB)的严重并发症之一。视神经萎缩是各种形式的CNS TB的后遗症,最终导致视力损害。在CNS TB中通常发生的是继发性视神经萎缩。在本病例报告中,我们讲述了一名免疫功能正常的女性出现双侧视力丧失的故事。她被发现患有原发性视神经萎缩。神经影像学显示慢性脑膜炎的特征。脑脊液中结核分枝杆菌的聚合酶链反应检测呈阳性。虽然继发性视神经萎缩在CNS TB中很常见,是脑膜炎的并发症,但原发性视神经萎缩本身很少被报道。

https://cdn.ncbi.nlm.nih.gov/pmc/blobs/237e/6656685/21513c6ec4fd/gr3.jpg
https://cdn.ncbi.nlm.nih.gov/pmc/blobs/237e/6656685/9a9c4513bb05/gr1.jpg
https://cdn.ncbi.nlm.nih.gov/pmc/blobs/237e/6656685/ab7621da7afc/gr2v3.jpg
https://cdn.ncbi.nlm.nih.gov/pmc/blobs/237e/6656685/21513c6ec4fd/gr3.jpg
https://cdn.ncbi.nlm.nih.gov/pmc/blobs/237e/6656685/9a9c4513bb05/gr1.jpg
https://cdn.ncbi.nlm.nih.gov/pmc/blobs/237e/6656685/ab7621da7afc/gr2v3.jpg
https://cdn.ncbi.nlm.nih.gov/pmc/blobs/237e/6656685/21513c6ec4fd/gr3.jpg

相似文献

1
Bilateral primary optic neuropathy as the presenting manifestation of tuberculosis in an immunocompetent patient.双侧原发性视神经病变作为免疫功能正常患者结核病的首发表现。
IDCases. 2019 Jul 11;18:e00579. doi: 10.1016/j.idcr.2019.e00579. eCollection 2019.
2
Unusual fundus examination findings in tuberculous meningitis.结核性脑膜炎患者不寻常的眼底检查结果。
BMJ Case Rep. 2013 Feb 8;2013:bcr2012008138. doi: 10.1136/bcr-2012-008138.
3
Tuberculous Meningitis Presenting with Bilateral Optic Neuritis: A Case Report and Review of Literature.以双侧视神经炎为表现的结核性脑膜炎:一例报告及文献复习
Case Rep Neurol. 2024 Jan 9;16(1):18-27. doi: 10.1159/000536086. eCollection 2024 Jan-Dec.
4
Ophthalmological manifestation in patients of tuberculous meningitis.结核性脑膜炎患者的眼部表现。
QJM. 2019 Jun 1;112(6):409-419. doi: 10.1093/qjmed/hcz037.
5
The Neuro-Ophthalmology of Tuberculosis.结核病的神经眼科
Neuroophthalmology. 2023 Nov 27;48(2):73-92. doi: 10.1080/01658107.2023.2281435. eCollection 2024.
6
Disseminated tuberculosis in an immunocompetent woman from the Himalayan region of Nepal: A case report.尼泊尔喜马拉雅地区一名免疫功能正常女性的播散性肺结核:病例报告。
Clin Case Rep. 2023 Aug 2;11(8):e7754. doi: 10.1002/ccr3.7754. eCollection 2023 Aug.
7
Central Nervous System Tuberculoma Complicated with Spinal Arachnoiditis in Immunocompetent Patient.免疫功能正常患者的中枢神经系统结核瘤合并脊髓蛛网膜炎
Open Access Maced J Med Sci. 2019 Jun 30;7(12):2002-2005. doi: 10.3889/oamjms.2019.272.
8
[Papilledema secondary to tuberculous meningitis in a patient with type 1 diabetes mellitus].[1型糖尿病患者继发于结核性脑膜炎的视乳头水肿]
Arch Soc Esp Oftalmol. 2013 Oct;88(10):403-6. doi: 10.1016/j.oftal.2012.05.010. Epub 2012 Jul 20.
9
Optic disc swelling in a patient with tuberculous meningitis: a diagnostic challenge.结核性脑膜炎患者的视盘肿胀:一项诊断挑战。
BMJ Case Rep. 2017 Aug 9;2017:bcr-2017-221170. doi: 10.1136/bcr-2017-221170.
10
Visual loss in immunocompetent patients with Cryptococcus neoformans var. gattii meningitis.免疫功能正常的新型隐球菌格特变种脑膜炎患者的视力丧失
Trans R Soc Trop Med Hyg. 1997 Jan-Feb;91(1):44-9. doi: 10.1016/s0035-9203(97)90391-6.

引用本文的文献

1
Bilateral Optic Atrophy and Epiretinal Membranes: An Atypical Presentation of Ocular Tuberculosis.双侧视神经萎缩与视网膜前膜:眼结核的一种非典型表现。
Niger Med J. 2025 Apr 3;66(1):389-393. doi: 10.71480/nmj.v66i1.711. eCollection 2025 Jan-Feb.
2
Bilateral Atypical Optic Neuritis With Posterior Scleritis Secondary to Tuberculosis: Challenges in Management.双侧非典型视神经炎伴结核继发后巩膜炎:治疗挑战
Cureus. 2025 Feb 2;17(2):e78387. doi: 10.7759/cureus.78387. eCollection 2025 Feb.
3
Infectious optic neuropathy (ION), how to recognise it and manage it.

本文引用的文献

1
Isolated Optic Disc Tuberculosis.孤立性视盘结核
Case Rep Ophthalmol. 2015 Sep 11;6(3):317-20. doi: 10.1159/000439376. eCollection 2015 Sep-Dec.
2
The role of anti-tubercular therapy in patients with presumed ocular tuberculosis.抗结核治疗在疑似眼部结核患者中的作用。
Ocul Immunol Inflamm. 2015 Feb;23(1):40-6. doi: 10.3109/09273948.2014.986584.
3
Presumed tuberculous retrobulbar optic neuritis: a diagnosis challenge.疑似结核性球后视神经炎:一项诊断挑战。
感染性视神经病变(ION),如何识别和治疗它。
Eye (Lond). 2024 Aug;38(12):2302-2311. doi: 10.1038/s41433-024-03152-8. Epub 2024 Jun 3.
4
Concurrent Tuberculous Optic Neuritis and Optic Perineuritis in a Patient With Human Immunodeficiency Virus (HIV).一名人类免疫缺陷病毒(HIV)感染者并发结核性视神经炎和视神经周围炎
Cureus. 2024 Mar 9;16(3):e55867. doi: 10.7759/cureus.55867. eCollection 2024 Mar.
5
The Neuro-Ophthalmology of Tuberculosis.结核病的神经眼科
Neuroophthalmology. 2023 Nov 27;48(2):73-92. doi: 10.1080/01658107.2023.2281435. eCollection 2024.
6
Tuberculous Meningitis Presenting with Bilateral Optic Neuritis: A Case Report and Review of Literature.以双侧视神经炎为表现的结核性脑膜炎:一例报告及文献复习
Case Rep Neurol. 2024 Jan 9;16(1):18-27. doi: 10.1159/000536086. eCollection 2024 Jan-Dec.
7
The leptomeninges as a critical organ for normal CNS development and function: First patient and public involved systematic review of arachnoiditis (chronic meningitis).软脑膜作为中枢神经系统正常发育和功能的关键器官:首例患者和公众参与的蛛网膜炎(慢性脑膜炎)的系统评价。
PLoS One. 2022 Sep 30;17(9):e0274634. doi: 10.1371/journal.pone.0274634. eCollection 2022.
8
Neuromyelitis optica and concomitant pulmonary tuberculosis: a case report.视神经脊髓炎合并肺结核:一例报告。
J Med Case Rep. 2021 Aug 6;15(1):391. doi: 10.1186/s13256-021-03002-1.
9
Neuro-ophthalmic manifestations of tuberculosis.神经眼科结核表现。
Eye (Lond). 2022 Jan;36(1):15-28. doi: 10.1038/s41433-021-01619-6. Epub 2021 Jun 14.
J Neurol. 2015 Feb;262(2):481-4. doi: 10.1007/s00415-014-7611-5. Epub 2014 Dec 24.
4
Incidence of ethambutol-related visual impairment during treatment of active tuberculosis.乙胺丁醇相关性视觉损害在活动性肺结核治疗中的发生率。
Int J Tuberc Lung Dis. 2013 Apr;17(4):447-55. doi: 10.5588/ijtld.11.0766. Epub 2013 Feb 7.
5
Clinical spectrum of tuberculous optic neuropathy.结核性视神经病变的临床谱
J Ophthalmic Inflamm Infect. 2012 Dec;2(4):183-9. doi: 10.1007/s12348-012-0079-5. Epub 2012 May 22.
6
Ophthalmic manifestations of central nervous system tuberculosis--two case reports.中枢神经系统结核的眼部表现——两例报告
Indian J Tuberc. 2011 Oct;58(4):196-8.
7
Diagnosis of tuberculous uveitis: clinical application of an interferon-gamma release assay.结核性葡萄膜炎的诊断:γ-干扰素释放试验的临床应用
Ophthalmology. 2009 Jul;116(7):1391-6. doi: 10.1016/j.ophtha.2009.02.005.
8
Prospective evaluation of visual function for early detection of ethambutol toxicity.对视觉功能进行前瞻性评估以早期发现乙胺丁醇毒性。
Br J Ophthalmol. 2009 Sep;93(9):1251-4. doi: 10.1136/bjo.2008.148502. Epub 2009 Jun 11.
9
Ocular tuberculosis: diagnostic and treatment challenges.眼部结核病:诊断与治疗挑战
Int J Infect Dis. 2009 Jul;13(4):432-5. doi: 10.1016/j.ijid.2008.09.018. Epub 2009 Apr 22.
10
Intraocular tuberculosis--an update.眼内结核——最新进展
Surv Ophthalmol. 2007 Nov-Dec;52(6):561-87. doi: 10.1016/j.survophthal.2007.08.015.