• 文献检索
  • 文档翻译
  • 深度研究
  • 学术资讯
  • Suppr Zotero 插件Zotero 插件
  • 邀请有礼
  • 套餐&价格
  • 历史记录
应用&插件
Suppr Zotero 插件Zotero 插件浏览器插件Mac 客户端Windows 客户端微信小程序
定价
高级版会员购买积分包购买API积分包
服务
文献检索文档翻译深度研究API 文档MCP 服务
关于我们
关于 Suppr公司介绍联系我们用户协议隐私条款
关注我们

Suppr 超能文献

核心技术专利:CN118964589B侵权必究
粤ICP备2023148730 号-1Suppr @ 2026

文献检索

告别复杂PubMed语法,用中文像聊天一样搜索,搜遍4000万医学文献。AI智能推荐,让科研检索更轻松。

立即免费搜索

文件翻译

保留排版,准确专业,支持PDF/Word/PPT等文件格式,支持 12+语言互译。

免费翻译文档

深度研究

AI帮你快速写综述,25分钟生成高质量综述,智能提取关键信息,辅助科研写作。

立即免费体验

肥胖症和高血压协同作用有限,但这两种常见的危险因素会促进射血分数保留的心力衰竭的发生和进展。

Limited synergy of obesity and hypertension, prevalent risk factors in onset and progression of heart failure with preserved ejection fraction.

机构信息

Experimental Cardiology, Department of Cardiology, Thoraxcenter Erasmus University Medical Center, Rotterdam, The Netherlands.

Department of Nephrology and Hypertension, University Medical Center Utrecht, Utrecht, The Netherlands.

出版信息

J Cell Mol Med. 2019 Oct;23(10):6666-6678. doi: 10.1111/jcmm.14542. Epub 2019 Jul 31.

DOI:10.1111/jcmm.14542
PMID:31368189
原文链接:https://pmc.ncbi.nlm.nih.gov/articles/PMC6787495/
Abstract

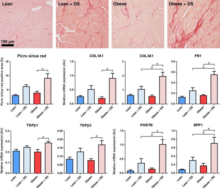
Obesity and hypertension are prevalent comorbidities in heart failure with preserved ejection fraction. To clarify if and how interaction between these comorbidities contributes to development of diastolic dysfunction, lean and obese ZSF1 rats were treated with deoxycorticosterone acetate implants and a high-salt diet (DS) to induce severe hypertension, or with placebo. In addition to echocardiographic, metabolic and hemodynamic analyses, immunohistochemistry and RNAseq were performed on left ventricular tissue. Obesity negatively affected cardiac output, led to an elevated E/e' ratio and mildly reduced ejection fraction. DS-induced hypertension did not affect cardiac output and minimally elevated E/e' ratio. Diastolic derangements in placebo-treated obese rats developed in absence of inflammation and fibrosis, yet in presence of oxidative stress and hypertrophic remodelling. In contrast, hypertension triggered apoptosis, inflammation and fibrosis, with limited synergy of the comorbidities observed for inflammation and fibrosis. Transcriptional data suggested that these comorbidities exerted opposite effects on mitochondrial function. In placebo-treated obese rats, genes involved in fatty acid metabolism were up-regulated, whereas DS-induced a down-regulation of genes involved in oxidative phosphorylation. Overall, limited interaction was observed between these comorbidities in development of diastolic dysfunction. Importantly, differences in obesity- and hypertension-induced cardiac remodelling emphasize the necessity for comorbidity-specific phenotypical characterization.

摘要

肥胖症和高血压是射血分数保留型心力衰竭的常见合并症。为了阐明这些合并症之间的相互作用是否以及如何导致舒张功能障碍的发展,我们使用去氧皮质酮醋酸盐植入物和高盐饮食(DS)来诱导严重高血压,或使用安慰剂处理瘦型和肥胖型 ZSF1 大鼠。除了进行超声心动图、代谢和血液动力学分析外,还对左心室组织进行了免疫组织化学和 RNAseq 分析。肥胖症对心输出量产生负面影响,导致 E/e' 比值升高和射血分数轻度降低。DS 诱导的高血压对心输出量没有影响,仅轻微升高 E/e' 比值。在没有炎症和纤维化的情况下,安慰剂治疗的肥胖大鼠出现舒张功能障碍,但存在氧化应激和肥厚性重塑。相比之下,高血压引发了细胞凋亡、炎症和纤维化,观察到这些合并症在炎症和纤维化方面的协同作用有限。转录数据表明,这些合并症对线粒体功能产生相反的影响。在安慰剂治疗的肥胖大鼠中,参与脂肪酸代谢的基因上调,而 DS 诱导参与氧化磷酸化的基因下调。总的来说,在舒张功能障碍的发展过程中,这些合并症之间的相互作用有限。重要的是,肥胖症和高血压引起的心脏重塑的差异强调了对合并症特异性表型特征进行描述的必要性。

https://cdn.ncbi.nlm.nih.gov/pmc/blobs/b4ef/6787495/6e4534168d7e/JCMM-23-6666-g006.jpg
https://cdn.ncbi.nlm.nih.gov/pmc/blobs/b4ef/6787495/ed3e1c06ff1d/JCMM-23-6666-g001.jpg
https://cdn.ncbi.nlm.nih.gov/pmc/blobs/b4ef/6787495/f52a58b48a2e/JCMM-23-6666-g002.jpg
https://cdn.ncbi.nlm.nih.gov/pmc/blobs/b4ef/6787495/1b960897504a/JCMM-23-6666-g003.jpg
https://cdn.ncbi.nlm.nih.gov/pmc/blobs/b4ef/6787495/1d2945024429/JCMM-23-6666-g004.jpg
https://cdn.ncbi.nlm.nih.gov/pmc/blobs/b4ef/6787495/9c9a42fda6d7/JCMM-23-6666-g005.jpg
https://cdn.ncbi.nlm.nih.gov/pmc/blobs/b4ef/6787495/6e4534168d7e/JCMM-23-6666-g006.jpg
https://cdn.ncbi.nlm.nih.gov/pmc/blobs/b4ef/6787495/ed3e1c06ff1d/JCMM-23-6666-g001.jpg
https://cdn.ncbi.nlm.nih.gov/pmc/blobs/b4ef/6787495/f52a58b48a2e/JCMM-23-6666-g002.jpg
https://cdn.ncbi.nlm.nih.gov/pmc/blobs/b4ef/6787495/1b960897504a/JCMM-23-6666-g003.jpg
https://cdn.ncbi.nlm.nih.gov/pmc/blobs/b4ef/6787495/1d2945024429/JCMM-23-6666-g004.jpg
https://cdn.ncbi.nlm.nih.gov/pmc/blobs/b4ef/6787495/9c9a42fda6d7/JCMM-23-6666-g005.jpg
https://cdn.ncbi.nlm.nih.gov/pmc/blobs/b4ef/6787495/6e4534168d7e/JCMM-23-6666-g006.jpg

相似文献

1
Limited synergy of obesity and hypertension, prevalent risk factors in onset and progression of heart failure with preserved ejection fraction.肥胖症和高血压协同作用有限,但这两种常见的危险因素会促进射血分数保留的心力衰竭的发生和进展。
J Cell Mol Med. 2019 Oct;23(10):6666-6678. doi: 10.1111/jcmm.14542. Epub 2019 Jul 31.
2
Myocardial titin hypophosphorylation importantly contributes to heart failure with preserved ejection fraction in a rat metabolic risk model.肌联蛋白低磷酸化在代谢风险大鼠模型心力衰竭伴射血分数保留中起着重要作用。
Circ Heart Fail. 2013 Nov;6(6):1239-49. doi: 10.1161/CIRCHEARTFAILURE.113.000539. Epub 2013 Sep 6.
3
Renal injury in relation to obesity and the additive effect of hypertension in female and male obese and lean ZSF1 rats.肥胖相关的肾损伤以及高血压在雌性和雄性肥胖及 lean ZSF1 大鼠中的附加效应。
Am J Physiol Renal Physiol. 2023 Jul 1;325(1):F73-F86. doi: 10.1152/ajprenal.00286.2022. Epub 2023 May 25.
4
Characterization of a mouse model of obesity-related fibrotic cardiomyopathy that recapitulates features of human heart failure with preserved ejection fraction.肥胖相关性纤维化心肌病小鼠模型的特征分析,该模型重现了射血分数保留型心力衰竭的人类特征。
Am J Physiol Heart Circ Physiol. 2018 Oct 1;315(4):H934-H949. doi: 10.1152/ajpheart.00238.2018. Epub 2018 Jul 13.
5
Both male and female obese ZSF1 rats develop cardiac dysfunction in obesity-induced heart failure with preserved ejection fraction.雄性和雌性肥胖 ZSF1 大鼠在肥胖诱导的射血分数保留性心力衰竭中都会出现心功能障碍。
PLoS One. 2020 May 6;15(5):e0232399. doi: 10.1371/journal.pone.0232399. eCollection 2020.
6
Cilostazol ameliorates heart failure with preserved ejection fraction and diastolic dysfunction in obese and non-obese hypertensive mice.西洛他唑改善肥胖和非肥胖高血压小鼠射血分数保留的心力衰竭伴舒张功能障碍。
J Mol Cell Cardiol. 2018 Oct;123:46-57. doi: 10.1016/j.yjmcc.2018.08.017. Epub 2018 Aug 20.
7
Calorie restriction attenuates cardiac remodeling and diastolic dysfunction in a rat model of metabolic syndrome.热量限制可减轻代谢综合征大鼠模型的心脏重构和舒张功能障碍。
Hypertension. 2013 Nov;62(5):957-65. doi: 10.1161/HYPERTENSIONAHA.113.02093. Epub 2013 Sep 16.
8
Glucagon Receptor Antagonist for Heart Failure With Preserved Ejection Fraction.胰高血糖素受体拮抗剂治疗射血分数保留的心力衰竭。
Circ Res. 2024 Aug 16;135(5):614-628. doi: 10.1161/CIRCRESAHA.124.324706. Epub 2024 Jul 16.
9
Mineralocorticoid accelerates transition to heart failure with preserved ejection fraction via "nongenomic effects".醛固酮通过“非基因组效应”加速射血分数保留的心力衰竭的进展。
Circulation. 2010 Jul 27;122(4):370-8. doi: 10.1161/CIRCULATIONAHA.109.915215. Epub 2010 Jul 12.
10
A directed network analysis of the cardiome identifies molecular pathways contributing to the development of HFpEF.对心脏组进行的定向网络分析确定了导致射血分数保留的心力衰竭(HFpEF)发生发展的分子途径。
J Mol Cell Cardiol. 2020 Jul;144:66-75. doi: 10.1016/j.yjmcc.2020.05.008. Epub 2020 May 16.

引用本文的文献

1
The Role of Programmed Types of Cell Death in Pathogenesis of Heart Failure with Preserved Ejection Fraction.程序性细胞死亡在射血分数保留心力衰竭发病机制中的作用。
Int J Mol Sci. 2024 Sep 14;25(18):9921. doi: 10.3390/ijms25189921.
2
Animal models of heart failure with preserved ejection fraction (HFpEF): from metabolic pathobiology to drug discovery.心力衰竭伴射血分数保留的动物模型(HFpEF):从代谢病理生理学到药物发现。
Acta Pharmacol Sin. 2024 Jan;45(1):23-35. doi: 10.1038/s41401-023-01152-0. Epub 2023 Aug 29.
3
Understanding Obesity-Related High Output Heart Failure and Its Implications.

本文引用的文献

1
Heart failure with preserved ejection fraction: from mechanisms to therapies.射血分数保留型心力衰竭:从机制到治疗。
Eur Heart J. 2018 Aug 7;39(30):2780-2792. doi: 10.1093/eurheartj/ehy301.
2
Mechanisms of physiological and pathological cardiac hypertrophy.生理性和病理性心肌肥厚的机制。
Nat Rev Cardiol. 2018 Jul;15(7):387-407. doi: 10.1038/s41569-018-0007-y.
3
The relationship between obesity and hypertension: an updated comprehensive overview on vicious twins.肥胖与高血压的关系:关于恶性双胞胎的最新综合概述。
了解肥胖相关的高输出量心力衰竭及其影响。
Int J Heart Fail. 2021 Jan 13;3(3):160-171. doi: 10.36628/ijhf.2020.0047. eCollection 2021 Jul.
4
Targeting the Metabolic-Inflammatory Circuit in Heart Failure With Preserved Ejection Fraction.针对射血分数保留的心力衰竭中的代谢-炎症回路。
Curr Heart Fail Rep. 2022 Jun;19(3):63-74. doi: 10.1007/s11897-022-00546-1. Epub 2022 Apr 11.
5
Additive Effects of Obesity on Myocardial Microcirculation and Left Ventricular Deformation in Essential Hypertension: A Contrast-Enhanced Cardiac Magnetic Resonance Imaging Study.肥胖对原发性高血压患者心肌微循环及左心室变形的叠加效应:一项对比增强心脏磁共振成像研究
Front Cardiovasc Med. 2022 Mar 24;9:831231. doi: 10.3389/fcvm.2022.831231. eCollection 2022.
6
Left Atrial Strain as a Predictor of Left Ventricular Diastolic Dysfunction in Patients with Arterial Hypertension.左心房应变作为高血压患者左心室舒张功能障碍的预测指标。
Medicina (Kaunas). 2022 Jan 20;58(2):156. doi: 10.3390/medicina58020156.
7
High-output Cardiac Failure: A Forgotten Phenotype in Clinical Practice.高输出性心力衰竭:临床实践中被遗忘的表型。
Curr Cardiol Rev. 2022;18(1):e050821195319. doi: 10.2174/1573403X17666210805142010.
8
Left ventricular dysfunction in heart failure with preserved ejection fraction-molecular mechanisms and impact on right ventricular function.射血分数保留的心力衰竭中的左心室功能障碍——分子机制及其对右心室功能的影响
Cardiovasc Diagn Ther. 2020 Oct;10(5):1541-1560. doi: 10.21037/cdt-20-477.
9
Glucosuria Interferes With Measurement of Effective Renal Plasma Flow Using -Aminohippuric Acid, With a Focus on SGLT2 Inhibitors.糖尿会干扰使用对氨基马尿酸测量有效肾血浆流量的结果,重点关注钠-葡萄糖协同转运蛋白2抑制剂。
Kidney Int Rep. 2020 Sep 6;5(11):2052-2054. doi: 10.1016/j.ekir.2020.09.002. eCollection 2020 Nov.
10
Matrix Metalloproteinases and Tissue Inhibitors of Metalloproteinases in Extracellular Matrix Remodeling during Left Ventricular Diastolic Dysfunction and Heart Failure with Preserved Ejection Fraction: A Systematic Review and Meta-Analysis.基质金属蛋白酶和金属蛋白酶组织抑制剂在左心室舒张功能障碍和射血分数保留心力衰竭的细胞外基质重塑中的作用:系统评价和荟萃分析。
Int J Mol Sci. 2020 Sep 14;21(18):6742. doi: 10.3390/ijms21186742.
Hypertens Res. 2017 Dec;40(12):947-963. doi: 10.1038/hr.2017.75. Epub 2017 Oct 5.
4
Fibroblast-specific TGF-β-Smad2/3 signaling underlies cardiac fibrosis.成纤维细胞特异性转化生长因子-β- Smad2/3信号传导是心脏纤维化的基础。
J Clin Invest. 2017 Oct 2;127(10):3770-3783. doi: 10.1172/JCI94753. Epub 2017 Sep 11.
5
Complex Energy Metabolic Changes in Heart Failure With Preserved Ejection Fraction and Heart Failure With Reduced Ejection Fraction.射血分数保留的心力衰竭和射血分数降低的心力衰竭中的复杂能量代谢变化
Can J Cardiol. 2017 Jul;33(7):860-871. doi: 10.1016/j.cjca.2017.03.009. Epub 2017 Mar 19.
6
Hypertension and Heart Failure with Preserved Ejection Fraction: Connecting the Dots.高血压与射血分数保留的心力衰竭:关联之处。
Curr Vasc Pharmacol. 2017;16(1):15-22. doi: 10.2174/1570161115666170414120532.
7
Biomarker Profiles in Heart Failure Patients With Preserved and Reduced Ejection Fraction.心力衰竭患者保留和降低射血分数的生物标志物特征。
J Am Heart Assoc. 2017 Mar 30;6(4):e003989. doi: 10.1161/JAHA.116.003989.
8
LA Strain When Ejection Fraction Is Preserved: A New Measure of Diastolic Function?射血分数保留时的左心房应变:舒张功能的一种新指标?
JACC Cardiovasc Imaging. 2017 Jul;10(7):744-746. doi: 10.1016/j.jcmg.2016.09.018. Epub 2016 Dec 21.
9
Phenotype-Specific Treatment of Heart Failure With Preserved Ejection Fraction: A Multiorgan Roadmap.射血分数保留的心力衰竭的表型特异性治疗:多器官路线图
Circulation. 2016 Jul 5;134(1):73-90. doi: 10.1161/CIRCULATIONAHA.116.021884.
10
2016 ESC Guidelines for the diagnosis and treatment of acute and chronic heart failure: The Task Force for the diagnosis and treatment of acute and chronic heart failure of the European Society of Cardiology (ESC). Developed with the special contribution of the Heart Failure Association (HFA) of the ESC.2016欧洲心脏病学会急性和慢性心力衰竭诊断与治疗指南:欧洲心脏病学会(ESC)急性和慢性心力衰竭诊断与治疗特别工作组。由ESC心力衰竭协会(HFA)特别贡献制定。
Eur J Heart Fail. 2016 Aug;18(8):891-975. doi: 10.1002/ejhf.592. Epub 2016 May 20.