• 文献检索
  • 文档翻译
  • 深度研究
  • 学术资讯
  • Suppr Zotero 插件Zotero 插件
  • 邀请有礼
  • 套餐&价格
  • 历史记录
应用&插件
Suppr Zotero 插件Zotero 插件浏览器插件Mac 客户端Windows 客户端微信小程序
定价
高级版会员购买积分包购买API积分包
服务
文献检索文档翻译深度研究API 文档MCP 服务
关于我们
关于 Suppr公司介绍联系我们用户协议隐私条款
关注我们

Suppr 超能文献

核心技术专利:CN118964589B侵权必究
粤ICP备2023148730 号-1Suppr @ 2026

文献检索

告别复杂PubMed语法,用中文像聊天一样搜索,搜遍4000万医学文献。AI智能推荐,让科研检索更轻松。

立即免费搜索

文件翻译

保留排版,准确专业,支持PDF/Word/PPT等文件格式,支持 12+语言互译。

免费翻译文档

深度研究

AI帮你快速写综述,25分钟生成高质量综述,智能提取关键信息,辅助科研写作。

立即免费体验

Delta-like 3 定位于神经内分泌细胞,在胃肠道神经内分泌恶性肿瘤中发挥关键作用。

Delta-like 3 localizes to neuroendocrine cells and plays a pivotal role in gastrointestinal neuroendocrine malignancy.

机构信息

Department of General and Gastroenterological Surgery, Osaka Medical College, Takatsuki, Japan.

Translational Research Program, Osaka Medical College, Takatsuki, Japan.

出版信息

Cancer Sci. 2019 Oct;110(10):3122-3131. doi: 10.1111/cas.14157. Epub 2019 Aug 14.

DOI:10.1111/cas.14157
PMID:31369178
原文链接:https://pmc.ncbi.nlm.nih.gov/articles/PMC6778628/
Abstract

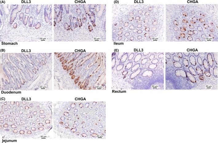
Delta-like 3 (DLL3) is a member of the Delta/Serrate/Lag2 (DSL) group of Notch receptor ligands. Five DSL ligands are known in mammals, among which DLL3 has a unique structure. In the last few years, DLL3 has attracted attention as a novel molecular targeting gene in neuroendocrine carcinoma of the lung due to its high expression. However, the expression pattern and functions of DLL3 in the gastrointestinal tract and gastrointestinal neuroendocrine carcinoma remain unclear. In this study, we examined the expression and role of DLL3 in the gastrointestinal tract, as well as in gastrointestinal neuroendocrine carcinoma. Immunohistochemical staining of the human normal gastrointestinal tract revealed that DLL3 localized in neuroendocrine cells. DLL3 showed intense staining in chromogranin A-positive gastric cancer specimens. Real-time quantitative RT-PCR and western blotting analyses showed considerable upregulation of DLL3 in gastrointestinal neuroendocrine carcinoma cell lines. Immuno-electron microscopy demonstrated abundant expression of DLL3 in neurosecretory granules in these cells. Furthermore, gene silencing of DLL3 caused significant growth inhibition through the induction of intrinsic apoptosis. Our findings suggest that DLL3 is expressed in neuroendocrine cells of the gastrointestinal tract and that it has a pivotal role in gastrointestinal neuroendocrine carcinoma cells. Based on these findings, further investigations are required to achieve a breakthrough in developing therapeutic strategies for gastrointestinal neuroendocrine carcinoma.

摘要

Delta-like 3(DLL3)是 Notch 受体配体 Delta/Serrate/Lag2(DSL)家族的成员之一。哺乳动物中已知有 5 种 DSL 配体,其中 DLL3 具有独特的结构。在过去的几年中,由于 DLL3 在肺神经内分泌癌中的高表达,它作为一种新型的分子靶向基因引起了关注。然而,DLL3 在胃肠道和胃肠道神经内分泌癌中的表达模式和功能仍不清楚。在本研究中,我们研究了 DLL3 在胃肠道以及胃肠道神经内分泌癌中的表达和作用。免疫组织化学染色显示 DLL3 定位于神经内分泌细胞。在胃 chromogranin A 阳性的癌标本中,DLL3 表现出强烈的染色。实时定量 RT-PCR 和 Western blot 分析显示,胃肠道神经内分泌癌细胞系中 DLL3 的表达显著上调。免疫电子显微镜显示这些细胞中的神经分泌颗粒中大量表达 DLL3。此外,通过诱导内在凋亡,DLL3 的基因沉默导致显著的生长抑制。我们的研究结果表明,DLL3 在胃肠道的神经内分泌细胞中表达,并在胃肠道神经内分泌癌细胞中发挥关键作用。基于这些发现,需要进一步研究以在开发胃肠道神经内分泌癌的治疗策略方面取得突破。

https://cdn.ncbi.nlm.nih.gov/pmc/blobs/10b3/6778628/d895a65ac547/CAS-110-3122-g008.jpg
https://cdn.ncbi.nlm.nih.gov/pmc/blobs/10b3/6778628/099faa308d18/CAS-110-3122-g001.jpg
https://cdn.ncbi.nlm.nih.gov/pmc/blobs/10b3/6778628/d4114ca0e1df/CAS-110-3122-g002.jpg
https://cdn.ncbi.nlm.nih.gov/pmc/blobs/10b3/6778628/e97e7358335b/CAS-110-3122-g003.jpg
https://cdn.ncbi.nlm.nih.gov/pmc/blobs/10b3/6778628/16b6bbe2b77b/CAS-110-3122-g004.jpg
https://cdn.ncbi.nlm.nih.gov/pmc/blobs/10b3/6778628/36ffde950dcb/CAS-110-3122-g005.jpg
https://cdn.ncbi.nlm.nih.gov/pmc/blobs/10b3/6778628/2b40c3ae7dcc/CAS-110-3122-g006.jpg
https://cdn.ncbi.nlm.nih.gov/pmc/blobs/10b3/6778628/277a79b74ec1/CAS-110-3122-g007.jpg
https://cdn.ncbi.nlm.nih.gov/pmc/blobs/10b3/6778628/d895a65ac547/CAS-110-3122-g008.jpg
https://cdn.ncbi.nlm.nih.gov/pmc/blobs/10b3/6778628/099faa308d18/CAS-110-3122-g001.jpg
https://cdn.ncbi.nlm.nih.gov/pmc/blobs/10b3/6778628/d4114ca0e1df/CAS-110-3122-g002.jpg
https://cdn.ncbi.nlm.nih.gov/pmc/blobs/10b3/6778628/e97e7358335b/CAS-110-3122-g003.jpg
https://cdn.ncbi.nlm.nih.gov/pmc/blobs/10b3/6778628/16b6bbe2b77b/CAS-110-3122-g004.jpg
https://cdn.ncbi.nlm.nih.gov/pmc/blobs/10b3/6778628/36ffde950dcb/CAS-110-3122-g005.jpg
https://cdn.ncbi.nlm.nih.gov/pmc/blobs/10b3/6778628/2b40c3ae7dcc/CAS-110-3122-g006.jpg
https://cdn.ncbi.nlm.nih.gov/pmc/blobs/10b3/6778628/277a79b74ec1/CAS-110-3122-g007.jpg
https://cdn.ncbi.nlm.nih.gov/pmc/blobs/10b3/6778628/d895a65ac547/CAS-110-3122-g008.jpg

相似文献

1
Delta-like 3 localizes to neuroendocrine cells and plays a pivotal role in gastrointestinal neuroendocrine malignancy.Delta-like 3 定位于神经内分泌细胞,在胃肠道神经内分泌恶性肿瘤中发挥关键作用。
Cancer Sci. 2019 Oct;110(10):3122-3131. doi: 10.1111/cas.14157. Epub 2019 Aug 14.
2
DLL3 expression in large cell neuroendocrine carcinoma (LCNEC) and association with molecular subtypes and neuroendocrine profile.DLL3 表达在大细胞神经内分泌癌(LCNEC)中的表达及与分子亚型和神经内分泌特征的关系。
Lung Cancer. 2019 Dec;138:102-108. doi: 10.1016/j.lungcan.2019.10.010. Epub 2019 Oct 13.
3
Delta-like protein 3 expression and therapeutic targeting in neuroendocrine prostate cancer.Delta-like 蛋白 3 在神经内分泌前列腺癌中的表达和治疗靶点。
Sci Transl Med. 2019 Mar 20;11(484). doi: 10.1126/scitranslmed.aav0891.
4
Delta-like canonical Notch ligand 3 as a potential therapeutic target in malignancies: A brief overview.Delta样经典Notch配体3作为恶性肿瘤的潜在治疗靶点:简要概述。
Cancer Sci. 2021 Aug;112(8):2984-2992. doi: 10.1111/cas.15017. Epub 2021 Jun 30.
5
DLL3 regulates the migration and invasion of small cell lung cancer by modulating Snail.DLL3 通过调节 Snail 来调控小细胞肺癌的迁移和侵袭。
Cancer Sci. 2019 May;110(5):1599-1608. doi: 10.1111/cas.13997. Epub 2019 Apr 13.
6
Expression of delta-like 3 is downregulated by aberrant DNA methylation and histone modification in hepatocellular carcinoma.在肝癌中,delta-like 3 的表达受异常的 DNA 甲基化和组蛋白修饰下调。
Oncol Rep. 2018 May;39(5):2209-2216. doi: 10.3892/or.2018.6293. Epub 2018 Mar 5.
7
Delta-like 3 is silenced by methylation and induces apoptosis in human hepatocellular carcinoma.Delta-like 3 通过甲基化沉默并诱导人肝癌细胞凋亡。
Int J Oncol. 2013 Mar;42(3):817-22. doi: 10.3892/ijo.2013.1778. Epub 2013 Jan 17.
8
Delta-like 3 is silenced by HBx via histone acetylation in HBV-associated HCCs.Delta-like 3 通过 HBx 介导的组蛋白乙酰化在 HBV 相关 HCC 中被沉默。
Sci Rep. 2018 Mar 19;8(1):4842. doi: 10.1038/s41598-018-23318-1.
9
The Notch ligand delta-like 3 promotes tumor growth and inhibits Notch signaling in lung cancer cells in mice.Notch配体delta样3促进肿瘤生长并抑制小鼠肺癌细胞中的Notch信号传导。
Biochem Biophys Res Commun. 2017 Jan 29;483(1):488-494. doi: 10.1016/j.bbrc.2016.12.117. Epub 2016 Dec 19.
10
Comparison of four DLL3 antibodies performance in high grade neuroendocrine lung tumor samples and cell cultures.比较四种 DLL3 抗体在高级别神经内分泌肺肿瘤样本和细胞培养物中的性能。
Diagn Pathol. 2019 May 20;14(1):47. doi: 10.1186/s13000-019-0827-z.

引用本文的文献

1
Harnessing delta-like ligand 3: bridging biomarker discovery to next-generation immunotherapies in refractory small cell lung cancer.利用Delta样配体3:为难治性小细胞肺癌的生物标志物发现与下一代免疫疗法架起桥梁。
Front Immunol. 2025 May 27;16:1592291. doi: 10.3389/fimmu.2025.1592291. eCollection 2025.
2
Targeting DLL3: Innovative Strategies for Tumor Treatment.靶向DLL3:肿瘤治疗的创新策略。
Pharmaceutics. 2025 Apr 16;17(4):520. doi: 10.3390/pharmaceutics17040520.
3
Crosstalk between GLTSCR1-deficient endothelial cells and tumour cells promotes colorectal cancer development by activating the Notch pathway.

本文引用的文献

1
DLL3 regulates the migration and invasion of small cell lung cancer by modulating Snail.DLL3 通过调节 Snail 来调控小细胞肺癌的迁移和侵袭。
Cancer Sci. 2019 May;110(5):1599-1608. doi: 10.1111/cas.13997. Epub 2019 Apr 13.
2
Cell Surface Notch Ligand DLL3 is a Therapeutic Target in Isocitrate Dehydrogenase-mutant Glioma.细胞表面 Notch 配体 DLL3 是异柠檬酸脱氢酶突变型脑胶质瘤的治疗靶点。
Clin Cancer Res. 2019 Feb 15;25(4):1261-1271. doi: 10.1158/1078-0432.CCR-18-2312. Epub 2018 Nov 5.
3
Rovalpituzumab Tesirine: A Novel DLL3-Targeting Antibody-Drug Conjugate.
GLTSCR1缺陷的内皮细胞与肿瘤细胞之间的串扰通过激活Notch信号通路促进结直肠癌的发展。
Cell Death Differ. 2025 Jan 27. doi: 10.1038/s41418-025-01450-6.
4
Role of Bispecific Antibodies in Gastroenteropancreatic Neuroendocrine Neoplasms (GEP-NENs): Review of Literature.双特异性抗体在胃肠胰神经内分泌肿瘤(GEP-NENs)中的作用:文献综述
Clin Med Insights Oncol. 2024 Dec 7;18:11795549241285213. doi: 10.1177/11795549241285213. eCollection 2024.
5
Delta-like ligand 3 (DLL3) landscape in pulmonary and extra-pulmonary neuroendocrine neoplasms.肺及肺外神经内分泌肿瘤中的Delta样配体3(DLL3)情况
NPJ Precis Oncol. 2024 Nov 19;8(1):268. doi: 10.1038/s41698-024-00739-y.
6
Antibody-drug conjugates in cancer therapy: mechanisms and clinical studies.癌症治疗中的抗体药物偶联物:作用机制与临床研究
MedComm (2020). 2024 Jul 28;5(8):e671. doi: 10.1002/mco2.671. eCollection 2024 Aug.
7
HPN328, a Trispecific T Cell-Activating Protein Construct Targeting DLL3-Expressing Solid Tumors.HPN328,一种针对 DLL3 表达的实体瘤的三特异性 T 细胞激活蛋白构建体。
Mol Cancer Ther. 2024 Sep 4;23(9):1294-1304. doi: 10.1158/1535-7163.MCT-23-0524.
8
DLL3 Is a Prognostic and Potentially Predictive Biomarker for Immunotherapy Linked to PD/PD-L Axis and NOTCH1 in Pancreatic Cancer.DLL3是一种与胰腺癌中PD/PD-L轴及NOTCH1相关的免疫治疗的预后和潜在预测生物标志物。
Biomedicines. 2023 Oct 17;11(10):2812. doi: 10.3390/biomedicines11102812.
9
Identification of DLL3-related genes affecting the prognosis of patients with colon adenocarcinoma.影响结肠腺癌患者预后的DLL3相关基因的鉴定。
Front Genet. 2023 May 18;14:1098190. doi: 10.3389/fgene.2023.1098190. eCollection 2023.
10
Effects of mRNA expression of five Notch ligands on prognosis of gastric carcinoma.五种 Notch 配体的 mRNA 表达对胃癌预后的影响。
Sci Rep. 2022 Sep 7;12(1):15141. doi: 10.1038/s41598-022-19291-5.
罗华比妥珠单抗特西利单抗:一种新型的 DLL3 靶向抗体药物偶联物。
Drugs R D. 2018 Dec;18(4):255-258. doi: 10.1007/s40268-018-0247-7.
4
Expression of Notch receptors and their ligands in pancreatic ductal adenocarcinoma.Notch受体及其配体在胰腺导管腺癌中的表达。
Exp Ther Med. 2018 Jul;16(1):53-60. doi: 10.3892/etm.2018.6172. Epub 2018 May 16.
5
Delta-like 3 is silenced by HBx via histone acetylation in HBV-associated HCCs.Delta-like 3 通过 HBx 介导的组蛋白乙酰化在 HBV 相关 HCC 中被沉默。
Sci Rep. 2018 Mar 19;8(1):4842. doi: 10.1038/s41598-018-23318-1.
6
Expression of delta-like 3 is downregulated by aberrant DNA methylation and histone modification in hepatocellular carcinoma.在肝癌中,delta-like 3 的表达受异常的 DNA 甲基化和组蛋白修饰下调。
Oncol Rep. 2018 May;39(5):2209-2216. doi: 10.3892/or.2018.6293. Epub 2018 Mar 5.
7
Combined test of serum CgA and NSE improved the power of prognosis prediction of NF-pNETs.血清嗜铬粒蛋白A(CgA)和神经元特异性烯醇化酶(NSE)联合检测提高了神经内分泌无功能胰腺肿瘤(NF-pNETs)预后预测的效能。
Endocr Connect. 2018 Jan;7(1):169-178. doi: 10.1530/EC-17-0276. Epub 2017 Nov 30.
8
The Notch ligand delta-like 3 promotes tumor growth and inhibits Notch signaling in lung cancer cells in mice.Notch配体delta样3促进肿瘤生长并抑制小鼠肺癌细胞中的Notch信号传导。
Biochem Biophys Res Commun. 2017 Jan 29;483(1):488-494. doi: 10.1016/j.bbrc.2016.12.117. Epub 2016 Dec 19.
9
Rovalpituzumab tesirine, a DLL3-targeted antibody-drug conjugate, in recurrent small-cell lung cancer: a first-in-human, first-in-class, open-label, phase 1 study.洛伐匹妥珠单抗替西瑞林,一种靶向DLL3的抗体药物偶联物,用于复发性小细胞肺癌:一项首次人体、同类首创、开放标签的1期研究。
Lancet Oncol. 2017 Jan;18(1):42-51. doi: 10.1016/S1470-2045(16)30565-4. Epub 2016 Dec 5.
10
Chromogranin A - unspecific neuroendocrine marker. Clinical utility and potential diagnostic pitfalls.嗜铬粒蛋白A——非特异性神经内分泌标志物。临床应用及潜在诊断陷阱。
Arch Med Sci. 2016 Feb 1;12(1):1-9. doi: 10.5114/aoms.2016.57577. Epub 2016 Feb 2.