Suppr超能文献

三萜类化合物通过Rho激酶依赖性途径改善糖尿病诱导的肝脏炎症。

Triterpenoids Improve Diabetes-Induced Hepatic Inflammation the Rho-Kinase-Dependent Pathway.

作者信息

Jiang Cuihua, Wang Yiting, Jin Qiaomei, Zhang Dongjian, Gao Meng, Yao Nan, Yin Zhiqi, Zhang Jian, Ma Shiping

机构信息

Department of Pharmacology of Chinese Materia Medica, China Pharmaceutical University, Nanjing, China.

Affiliated Hospital of Integrated Traditional Chinese and Western Medicine, Nanjing University of Chinese Medicine, Nanjing, China.

出版信息

Front Pharmacol. 2019 Jul 25;10:811. doi: 10.3389/fphar.2019.00811. eCollection 2019.

Abstract

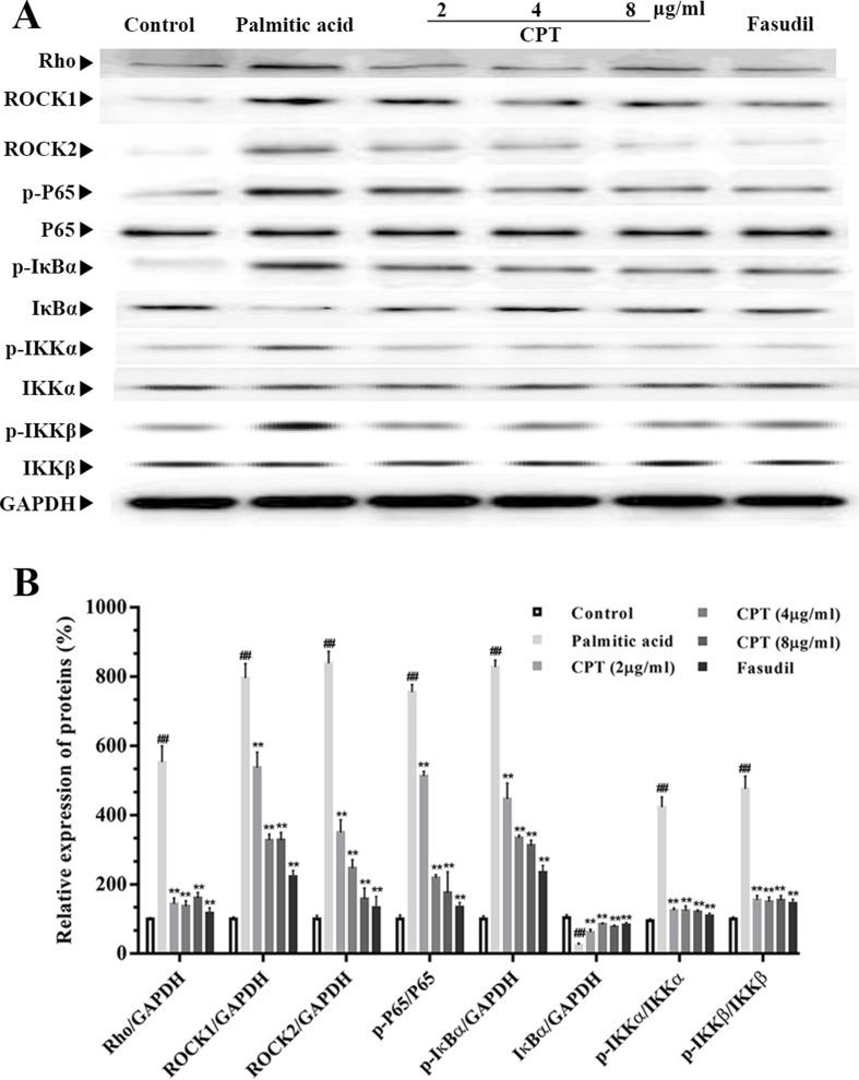
This study aimed to assess the effects of triterpene extract of (Batal.) Iljinskaja (CPT) on diabetes-induced hepatic inflammation and to unveil the underlying mechanisms. Diabetes in db/db mice was alleviated after CPT administration, as assessed by the oral glucose tolerance test. In addition, treatment with CPT dramatically reduced serum insulin, aspartate amino-transaminase, alanine aminotransferase, triglyceride, and total cholesterol amounts. Besides, serum levels of interleukin (IL)-1β, IL-6, and tumor necrosis factor (TNF)-α were also reduced after CPT administration. Western blot analysis revealed that CPT treatment significantly reversed the protein expression levels of Rho, ROCK1, ROCK2, p-P65, p-IκBα, p-IKKα, and p-IKKβ in liver samples obtained from db/db mice. Upon palmitic acid stimulation, the protective effects of CPT on the liver were further assessed in HepG2 and LO2 cells, and no appreciable cytotoxic effects were found. Therefore, these findings indicate that CPT alleviates liver inflammation Rho-kinase signaling. Metformin (PubChem CID: 4091); Fasudil (PubChem CID: 3547); Palmitic acid (PubChem CID: 985).

摘要

本研究旨在评估(Batal.)Iljinskaja三萜提取物(CPT)对糖尿病诱导的肝脏炎症的影响,并揭示其潜在机制。通过口服葡萄糖耐量试验评估,CPT给药后db/db小鼠的糖尿病得到缓解。此外,CPT治疗显著降低了血清胰岛素、天冬氨酸转氨酶、丙氨酸转氨酶、甘油三酯和总胆固醇水平。此外,CPT给药后血清白细胞介素(IL)-1β、IL-6和肿瘤坏死因子(TNF)-α水平也降低。蛋白质印迹分析显示,CPT治疗显著逆转了从db/db小鼠获得的肝脏样本中Rho、ROCK1、ROCK2、p-P65、p-IκBα、p-IKKα和p-IKKβ的蛋白表达水平。在棕榈酸刺激下,在HepG2和LO2细胞中进一步评估了CPT对肝脏的保护作用,未发现明显的细胞毒性作用。因此,这些发现表明CPT通过Rho激酶信号传导减轻肝脏炎症。二甲双胍(PubChem CID:4091);法舒地尔(PubChem CID:3547);棕榈酸(PubChem CID:985)。

https://cdn.ncbi.nlm.nih.gov/pmc/blobs/8359/6669819/3ea2894ae88a/fphar-10-00811-g001.jpg

文献检索

告别复杂PubMed语法,用中文像聊天一样搜索,搜遍4000万医学文献。AI智能推荐,让科研检索更轻松。

立即免费搜索

文件翻译

保留排版,准确专业,支持PDF/Word/PPT等文件格式,支持 12+语言互译。

免费翻译文档

深度研究

AI帮你快速写综述,25分钟生成高质量综述,智能提取关键信息,辅助科研写作。

立即免费体验