Department of Orthopedic Surgery, Second Affiliated Hospital, School of Medicine, Zhejiang University; Orthopedics Research Institute of Zhejiang University, Hangzhou, Zhejiang, China (mainland).
Cancer Institute (Key Laboratory of Cancer Prevention and Intervention, China National Ministry of Education, Key Laboratory of Molecular Biology in Medical Sciences, Zhejiang Province, China), Second Affiliated Hospital, Zhejiang University School of Medicine, Hangzhou, Zhejiang, China (mainland).
Med Sci Monit. 2019 Aug 21;25:6271-6280. doi: 10.12659/MSM.916039.
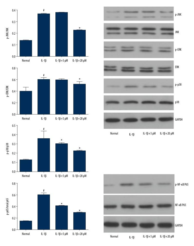
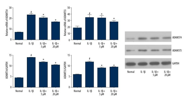
BACKGROUND Leonurine confers neuroprotection, inhibits myocardial apoptosis, ameliorates endothelial dysfunction, and shows anti-inflammatory effects, and may be beneficial for clinical applications. However, the effects of leonurine on chondrocytes remain unknown. Here, we investigated the protective role of leonurine in rat chondrocytes. MATERIAL AND METHODS To explore the potential therapeutic effect of leonurine against osteoarthritis (OA), rat chondrocytes were treated with IL-1ß along with different concentrations of leonurine in vitro. The levels of matrix metalloproteinases (MMPs), ADAMTS, Bax, and Bcl-2 were measured by PCR, ELISA, and Western blotting. Caspase-3 activity in chondrocytes was determined using a caspase-3 activity assay. Western blotting was also performed to examine activation of the NF-kappaB and mitogen-activated protein kinase (MAPK) pathways to elucidate the likely regulatory mechanisms. RESULTS Leonurine counteracted IL-1ß-induced production of MMP-1, MMP-13, ADAMTS-4, and ADAMTS-5. Leonurine treatment reduced both the mRNA and protein levels of Bax and increased the level of Bcl-2. Leonurine also inhibited the activity of caspase-3 in IL-1ß-induced chondrocytes. Furthermore, the activation of MAPK and phosphorylation of p65 were suppressed by leonurine. CONCLUSIONS The results of this study indicate that leonurine exerts anti-catabolic and anti-apoptotic effects in chondrocytes in vitro via suppression of the NF-kappaB and MAPK signaling pathways.
益母草碱具有神经保护、抑制心肌细胞凋亡、改善内皮功能和抗炎作用,可能有益于临床应用。然而,益母草碱对软骨细胞的作用尚不清楚。在这里,我们研究了益母草碱对大鼠软骨细胞的保护作用。
为了探讨益母草碱治疗骨关节炎(OA)的潜在疗效,我们在体外用白细胞介素-1β(IL-1β)和不同浓度的益母草碱处理大鼠软骨细胞。通过 PCR、ELISA 和 Western blot 测定基质金属蛋白酶(MMPs)、ADAMTS、Bax 和 Bcl-2 的水平。通过 caspase-3 活性测定试剂盒测定软骨细胞中 caspase-3 的活性。Western blot 还用于检测 NF-κB 和丝裂原活化蛋白激酶(MAPK)通路的激活,以阐明可能的调节机制。
益母草碱拮抗 IL-1β诱导的 MMP-1、MMP-13、ADAMTS-4 和 ADAMTS-5 的产生。益母草碱处理降低了 Bax 的 mRNA 和蛋白水平,并增加了 Bcl-2 的水平。益母草碱还抑制了 IL-1β诱导的软骨细胞中 caspase-3 的活性。此外,益母草碱抑制了 MAPK 的激活和 p65 的磷酸化。
这项研究的结果表明,益母草碱通过抑制 NF-κB 和 MAPK 信号通路,在体外对软骨细胞发挥抗分解代谢和抗凋亡作用。