• 文献检索
  • 文档翻译
  • 深度研究
  • 学术资讯
  • Suppr Zotero 插件Zotero 插件
  • 邀请有礼
  • 套餐&价格
  • 历史记录
应用&插件
Suppr Zotero 插件Zotero 插件浏览器插件Mac 客户端Windows 客户端微信小程序
定价
高级版会员购买积分包购买API积分包
服务
文献检索文档翻译深度研究API 文档MCP 服务
关于我们
关于 Suppr公司介绍联系我们用户协议隐私条款
关注我们

Suppr 超能文献

核心技术专利:CN118964589B侵权必究
粤ICP备2023148730 号-1Suppr @ 2026

文献检索

告别复杂PubMed语法,用中文像聊天一样搜索,搜遍4000万医学文献。AI智能推荐,让科研检索更轻松。

立即免费搜索

文件翻译

保留排版,准确专业,支持PDF/Word/PPT等文件格式,支持 12+语言互译。

免费翻译文档

深度研究

AI帮你快速写综述,25分钟生成高质量综述,智能提取关键信息,辅助科研写作。

立即免费体验

新生儿低血糖症中的脑损伤:一项基于医院的队列研究。

Brain Injury in Neonatal Hypoglycemia: A Hospital-Based Cohort Study.

作者信息

Gu Mei-Hong, Amanda Fanny, Yuan Tian-Ming

机构信息

Department of Neonatology, Children's Hospital, Zhejiang University School of Medicine, Hangzhou, P.R. China.

出版信息

Clin Med Insights Pediatr. 2019 Aug 8;13:1179556519867953. doi: 10.1177/1179556519867953. eCollection 2019.

DOI:10.1177/1179556519867953
PMID:31447599
原文链接:https://pmc.ncbi.nlm.nih.gov/articles/PMC6688136/
Abstract

BACKGROUND

Neonatal hypoglycemia is more prevalent and can cause severe neurological sequelae. The objective of this study was to assess the patterns of neuroradiologic changes in neonatal hypoglycemia.

METHODS

A retrospective cohort study was conducted on 66 neonatal hypoglycemia patients, and the magnetic resonance imaging (MRI) and clinical records were reviewed.

RESULTS

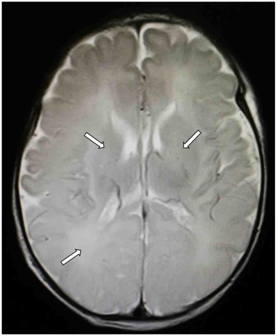
Magnetic resonance imaging showed evidences of abnormality in 54.54% (36 of 66) of hypoglycemic infants. The most common abnormal findings were located on the parietal and occipital lobes of the brains. The number of days with hypoglycemia was significantly higher for abnormal MRI infants ( < .001), and prolonged/recurrent hypoglycemia was remarkably distinguished for abnormal MRI infants ( < .001). Patients with abnormal MRI findings did not have a lower blood glucose than infants without abnormal MRI findings ( > .05), but the lowest blood glucose was significantly lower for the patients with seizures ( < .01).

CONCLUSIONS

The pattern of bilateral occipital cortical injury is the most common abnormality for neonatal hypoglycemia. The number of days with hypoglycemia, not the lower blood glucose, was significantly related to abnormal MRI infants.

摘要

背景

新生儿低血糖较为常见,可导致严重的神经后遗症。本研究的目的是评估新生儿低血糖时神经影像学变化的模式。

方法

对66例新生儿低血糖患者进行回顾性队列研究,并对磁共振成像(MRI)和临床记录进行回顾。

结果

磁共振成像显示54.54%(66例中的36例)低血糖婴儿有异常表现。最常见的异常发现位于大脑顶叶和枕叶。MRI异常婴儿的低血糖天数显著更多(<0.001),MRI异常婴儿的低血糖持续时间延长/反复低血糖情况也显著不同(<0.001)。MRI有异常发现的患者血糖并不比MRI无异常发现的婴儿低(>0.05),但癫痫患者的最低血糖显著更低(<0.01)。

结论

双侧枕叶皮质损伤模式是新生儿低血糖最常见的异常。低血糖天数而非更低的血糖水平与MRI异常婴儿显著相关。

https://cdn.ncbi.nlm.nih.gov/pmc/blobs/20a8/6688136/e6c89015fb92/10.1177_1179556519867953-fig3.jpg
https://cdn.ncbi.nlm.nih.gov/pmc/blobs/20a8/6688136/491f9f1071e2/10.1177_1179556519867953-fig1.jpg
https://cdn.ncbi.nlm.nih.gov/pmc/blobs/20a8/6688136/0fd0705d5c20/10.1177_1179556519867953-fig2.jpg
https://cdn.ncbi.nlm.nih.gov/pmc/blobs/20a8/6688136/e6c89015fb92/10.1177_1179556519867953-fig3.jpg
https://cdn.ncbi.nlm.nih.gov/pmc/blobs/20a8/6688136/491f9f1071e2/10.1177_1179556519867953-fig1.jpg
https://cdn.ncbi.nlm.nih.gov/pmc/blobs/20a8/6688136/0fd0705d5c20/10.1177_1179556519867953-fig2.jpg
https://cdn.ncbi.nlm.nih.gov/pmc/blobs/20a8/6688136/e6c89015fb92/10.1177_1179556519867953-fig3.jpg

相似文献

1
Brain Injury in Neonatal Hypoglycemia: A Hospital-Based Cohort Study.新生儿低血糖症中的脑损伤:一项基于医院的队列研究。
Clin Med Insights Pediatr. 2019 Aug 8;13:1179556519867953. doi: 10.1177/1179556519867953. eCollection 2019.
2
Dynamic magnetic resonance imaging findings in the early stages of neonatal hypoglycemic brain injury.新生儿低血糖性脑损伤早期的动态磁共振成像表现。
Eur J Pediatr. 2022 Dec;181(12):4167-4174. doi: 10.1007/s00431-022-04637-y. Epub 2022 Sep 27.
3
[Clinical evaluation by MRI on the newborn infants with hypoglycemic brain damage].新生儿低血糖脑损伤的MRI临床评估
Zhonghua Er Ke Za Zhi. 2007 Jul;45(7):518-22.
4
Cerebral magnetic resonance imaging and ultrasonography findings after neonatal hypoglycemia.新生儿低血糖后的脑磁共振成像和超声检查结果
Pediatrics. 1999 Apr;103(4 Pt 1):724-9. doi: 10.1542/peds.103.4.724.
5
Occipital lobe injury and cortical visual outcomes after neonatal hypoglycemia.新生儿低血糖后的枕叶损伤与皮质视觉预后
Pediatrics. 2008 Sep;122(3):507-12. doi: 10.1542/peds.2007-2002.
6
[Clinical evaluation of neonatal hypoglycemic brain injury demonstrated by serial MRIs].[通过系列磁共振成像显示的新生儿低血糖脑损伤的临床评估]
Zhongguo Dang Dai Er Ke Za Zhi. 2008 Apr;10(2):115-20.
7
Patterns of cerebral injury and neurodevelopmental outcomes after symptomatic neonatal hypoglycemia.症状性新生儿低血糖后的脑损伤模式及神经发育结局
Pediatrics. 2008 Jul;122(1):65-74. doi: 10.1542/peds.2007-2822.
8
Neurodevelopmental Outcome in Patients with Typical Imaging Features of Injury as a Result of Neonatal Hypoglycemia.新生儿低血糖所致具有典型损伤影像学特征患者的神经发育结局
Noro Psikiyatr Ars. 2022 Nov 8;59(4):296-302. doi: 10.29399/npa.27997. eCollection 2022.
9
[Early diagnostic significance and dynamic pattern of DWI compared with conventional MRI in newborns with neonatal cerebral infarction].[新生儿脑梗死患儿中磁共振扩散加权成像(DWI)与传统磁共振成像(MRI)对比的早期诊断意义及动态变化模式]
Zhonghua Er Ke Za Zhi. 2007 May;45(5):360-4.
10
A Retrospective Analysis of the Neurological Evaluation of Cases With Neonatal Hypoglycemia.新生儿低血糖病例神经学评估的回顾性分析
Cureus. 2022 Nov 4;14(11):e31088. doi: 10.7759/cureus.31088. eCollection 2022 Nov.

引用本文的文献

1
Determining Potential Risk Factors for Epilepsy in Children with Neonatal Hypoglycemia.确定新生儿低血糖患儿癫痫的潜在危险因素。
Iran J Child Neurol. 2025 Jun 25;19(3):53-62. doi: 10.22037/ijcn.v19i3.46506. eCollection 2025 Summer.
2
Improving blood glucose in late preterm and small for gestational age infants: the use of dextrose 40% gel.改善晚期早产儿和小于胎龄儿的血糖水平:使用40%葡萄糖凝胶。
Front Pediatr. 2025 Jun 24;13:1591567. doi: 10.3389/fped.2025.1591567. eCollection 2025.
3
Effect of visual stimulation on epilepsy susceptibility in neonatal hypoglycemic brain injury rats during development.

本文引用的文献

1
Neonatal hypoglycemia: A wide range of electroclinical manifestations and seizure outcomes.新生儿低血糖:广泛的电临床症状和癫痫发作结局
Eur J Paediatr Neurol. 2017 Sep;21(5):738-744. doi: 10.1016/j.ejpn.2017.05.009. Epub 2017 Jun 1.
2
Update on neonatal hypoglycemia.新生儿低血糖症的最新进展。
Curr Opin Endocrinol Diabetes Obes. 2014 Feb;21(1):45-50. doi: 10.1097/MED.0000000000000027.
3
Brain injury patterns in hypoglycemia in neonatal encephalopathy.新生儿脑病低血糖时的脑损伤模式。
视觉刺激对新生低血糖脑损伤大鼠发育过程中癫痫易感性的影响。
Front Neurol. 2025 Jun 16;16:1587200. doi: 10.3389/fneur.2025.1587200. eCollection 2025.
4
Usefulness of Glucose Monitoring in Neonates of Mothers With an Elevated Glucose Challenge Test and a Normal Oral Glucose Tolerance Test.葡萄糖激发试验升高且口服葡萄糖耐量试验正常的母亲所生新生儿的血糖监测的效用
Cureus. 2025 Jan 10;17(1):e77244. doi: 10.7759/cureus.77244. eCollection 2025 Jan.
5
Neonatal Hypoglycemia and Neurodevelopmental Outcomes-An Updated Systematic Review and Meta-Analysis.新生儿低血糖与神经发育结局——一项更新的系统评价与荟萃分析
Life (Basel). 2024 Dec 6;14(12):1618. doi: 10.3390/life14121618.
6
Two Different Brain Injury Patterns Associated with Compound Heterozygosis of the PIGO Gene in a Term Newborn: A Case Report.一例足月儿PIGO基因复合杂合子相关的两种不同脑损伤模式:病例报告
Biomedicines. 2024 Dec 6;12(12):2779. doi: 10.3390/biomedicines12122779.
7
Prophylactic dextrose gel use in newborns at risk for hypoglycemia.预防性使用葡萄糖凝胶预防低血糖的新生儿。
J Perinatol. 2024 Nov;44(11):1640-1646. doi: 10.1038/s41372-024-02133-9. Epub 2024 Oct 3.
8
Drug resistant epilepsy as the consequence of inadequate control of type 1 diabetes.耐药性癫痫作为 1 型糖尿病控制不佳的后果。
Pediatr Endocrinol Diabetes Metab. 2024;30(1):42-44. doi: 10.5114/pedm.2024.137890.
9
Brain magnetic resonance imaging review suggests unrecognised hypoglycaemia in childhood.脑部磁共振成像检查提示儿童期存在未被识别的低血糖症。
Front Endocrinol (Lausanne). 2024 Mar 28;15:1338980. doi: 10.3389/fendo.2024.1338980. eCollection 2024.
10
Visual Perception in Children with a History of Hypoglycemia due to Hyperinsulinism.有高胰岛素血症所致低血糖病史儿童的视觉感知
Iran J Child Neurol. 2024 Winter;18(1):17-24. doi: 10.22037/ijcn.v18i1.34620. Epub 2024 Jan 18.
AJNR Am J Neuroradiol. 2013 Jul;34(7):1456-61. doi: 10.3174/ajnr.A3423. Epub 2013 Feb 22.
4
Hypoglycaemia and neonatal brain injury.低血糖与新生儿脑损伤。
Arch Dis Child Educ Pract Ed. 2013 Feb;98(1):2-6. doi: 10.1136/archdischild-2012-302569. Epub 2012 Oct 19.
5
Hypoglycemia is associated with increased risk for brain injury and adverse neurodevelopmental outcome in neonates at risk for encephalopathy.低血糖与脑病高危新生儿的脑损伤风险增加和不良神经发育结局相关。
J Pediatr. 2012 Jul;161(1):88-93. doi: 10.1016/j.jpeds.2011.12.047. Epub 2012 Feb 4.
6
A case of hypoglycemic brain injuries with cortical laminar necrosis.低血糖性脑损伤伴皮质层状坏死 1 例
J Korean Med Sci. 2010 Jun;25(6):961-5. doi: 10.3346/jkms.2010.25.6.961. Epub 2010 May 24.
7
Patterns of cerebral injury and neurodevelopmental outcomes after symptomatic neonatal hypoglycemia.症状性新生儿低血糖后的脑损伤模式及神经发育结局
Pediatrics. 2008 Jul;122(1):65-74. doi: 10.1542/peds.2007-2822.
8
Neurologic outcome in patients with MRI pattern of damage typical for neonatal hypoglycemia.具有新生儿低血糖典型MRI损伤模式的患者的神经学转归
Brain Dev. 2007 Jun;29(5):285-92. doi: 10.1016/j.braindev.2006.09.011. Epub 2006 Dec 8.
9
Neurodevelopment after neonatal hypoglycemia: a systematic review and design of an optimal future study.新生儿低血糖后的神经发育:一项系统综述及未来优化研究的设计
Pediatrics. 2006 Jun;117(6):2231-43. doi: 10.1542/peds.2005-1919.
10
Brain imaging findings in neonatal hypoglycemia: case report and review of 23 cases.新生儿低血糖症的脑成像结果:病例报告及23例病例回顾
Clin Pediatr (Phila). 2005 Nov-Dec;44(9):783-90. doi: 10.1177/000992280504400906.