Suppr超能文献

经心尖经导管主动脉瓣植入术后左乳搏动性无菌性脓肿:一例报告

Pulsatile sterile abscess in the left breast following transapical transcatheter aortic valve implantation: a case report.

作者信息

Khan Habib R, Ansari Mohammad I, Varcoe Richard W, Henderson Robert A

机构信息

Trent Cardiac Centre, Nottingham University Hospitals, City Hospital Campus, Hucknall Road, Nottingham NG51PB, UK.

National Heart and Lung Institute, Imperial College London, Dovehouse Street, London, UK.

出版信息

Eur Heart J Case Rep. 2019 Jun 1;3(2). doi: 10.1093/ehjcr/ytz032.

Abstract

BACKGROUND

Over the last decade, transcatheter treatment of degenerative aortic valve stenosis has been established as an alternative to surgical aortic valve replacement. Late complications of transcatheter treatment of aortic stenosis (AS) are infrequent.

CASE SUMMARY

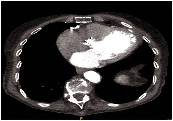
We report an 87-year-old woman treated successfully with 23 mm Sapien 3 transapical transcatheter aortic valve implantation for severe AS. She presented 4 months later with a pulsatile mass in the left breast. After exclusion of other diagnoses, the mass was attributed to a sterile abscess communicating with the pericardial cavity due to post-operative chest infection and pleural effusion. Multimodality imaging helped to define the anatomy of the abscess and the mechanism of the pulsation.

DISCUSSION

This is the first report of a pulsatile sterile abscess occurring as a complication of transapical aortic valve implantation. Multimodality imaging confirmed that the pulsation was due to extension of the abscess into the pericardial cavity, excluded direct communication with the left ventricle, and facilitated successful non-surgical management.

摘要

背景

在过去十年中,经导管治疗退行性主动脉瓣狭窄已成为外科主动脉瓣置换术的替代方法。经导管治疗主动脉狭窄(AS)的晚期并发症并不常见。

病例摘要

我们报告了一名87岁女性,因严重AS成功接受了23mm Sapien 3经心尖经导管主动脉瓣植入术。4个月后,她左侧乳房出现搏动性肿块。排除其他诊断后,该肿块归因于术后胸部感染和胸腔积液导致的与心包腔相通的无菌性脓肿。多模态成像有助于明确脓肿的解剖结构和搏动机制。

讨论

这是首例经心尖主动脉瓣植入术后出现搏动性无菌性脓肿并发症的报告。多模态成像证实搏动是由于脓肿延伸至心包腔,排除了与左心室的直接相通,并有助于成功进行非手术治疗。

https://cdn.ncbi.nlm.nih.gov/pmc/blobs/4a66/6601158/3aba5b5f20af/ytz032f1.jpg

文献AI研究员

20分钟写一篇综述,助力文献阅读效率提升50倍。

立即体验

用中文搜PubMed

大模型驱动的PubMed中文搜索引擎

马上搜索

文档翻译

学术文献翻译模型,支持多种主流文档格式。

立即体验