Suppr超能文献

信号转导子和转录激活子 3 驱动高脂肪饮食相关的前列腺癌生长。

Signal transducer and activator of transcription-3 drives the high-fat diet-associated prostate cancer growth.

机构信息

Centre for Cancer and Inflammation Research, School of Chinese Medicine, Hong Kong Baptist University, Hong Kong, China.

Department of Cardiology, The Second Affiliated Hospital of Guangzhou Medical University, Guangzhou, Guangdong, 510260, China.

出版信息

Cell Death Dis. 2019 Sep 2;10(9):637. doi: 10.1038/s41419-019-1842-4.

Abstract

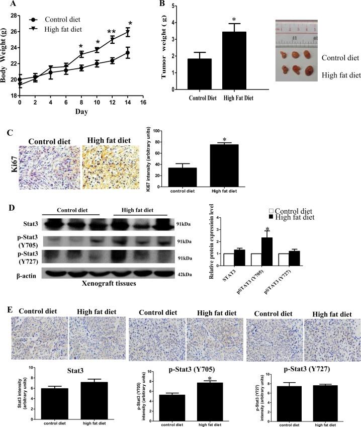
Prostate cancer (PCa) is the second leading cause of cancer death in men. PCa progression can be associated with obesity. Signal transducer and activator of transcription-3 (STAT3) plays a crucial role in PCa growth. However, whether STAT3 plays a role in high-fat diet (HFD)-associated PCa growth is unknown. Our data show that HFD feeding increases tumor size, STAT3 phosphorylation, and palmitic acid (PA) level in the xenograft tissues of the PCa-bearing xenograft mouse model. In vitro studies show that PA increases STAT3 expression and phosphorylation (STAT3-Y705) in PCa. Computational modeling suggests strong and stable binding between PA and unphosphorylated STAT3 at R593 and N538. The binding changes STAT3 structure and activity. Functional studies show that both STAT3 mutants (R583A and N538A) and STAT3 dominant negative significantly reduce PA-enhanced STAT3 phosphorylation, PA-increased PCa cell proliferation, migration, and invasion. In the xenograft mouse models, the HFD-increased tumor growth and STAT3 phosphorylation in tumors are reversed by STAT3 inhibition. Our study not only demonstrates the regulatory role of PA/STAT3 axis in HFD-associated PCa growth but also suggests a novel mechanism of how STAT3 is activated by PA. Our data suggest STAT3 as a therapeutic target for the treatment of HFD-associated PCa.

摘要

前列腺癌(PCa)是男性癌症死亡的第二大主要原因。PCa 的进展可能与肥胖有关。信号转导子和转录激活子 3(STAT3)在 PCa 生长中起着至关重要的作用。然而,STAT3 是否在高脂肪饮食(HFD)相关的 PCa 生长中起作用尚不清楚。我们的数据表明,HFD 喂养增加了携带 PCa 的异种移植小鼠模型异种移植组织中的肿瘤大小、STAT3 磷酸化和棕榈酸(PA)水平。体外研究表明,PA 增加了 PCa 中的 STAT3 表达和磷酸化(STAT3-Y705)。计算模型表明,PA 与未磷酸化的 STAT3 在 R593 和 N538 之间具有强而稳定的结合。这种结合改变了 STAT3 的结构和活性。功能研究表明,STAT3 突变体(R583A 和 N538A)和 STAT3 显性负性都显著降低了 PA 增强的 STAT3 磷酸化、PA 增加的 PCa 细胞增殖、迁移和侵袭。在异种移植小鼠模型中,STAT3 抑制逆转了 HFD 增加的肿瘤生长和肿瘤中 STAT3 的磷酸化。我们的研究不仅证明了 PA/STAT3 轴在 HFD 相关 PCa 生长中的调节作用,还提出了 STAT3 如何被 PA 激活的新机制。我们的数据表明 STAT3 是治疗 HFD 相关 PCa 的一个治疗靶点。

https://cdn.ncbi.nlm.nih.gov/pmc/blobs/92eb/6717738/5ef3db49968b/41419_2019_1842_Fig1_HTML.jpg

文献检索

告别复杂PubMed语法,用中文像聊天一样搜索,搜遍4000万医学文献。AI智能推荐,让科研检索更轻松。

立即免费搜索

文件翻译

保留排版,准确专业,支持PDF/Word/PPT等文件格式,支持 12+语言互译。

免费翻译文档

深度研究

AI帮你快速写综述,25分钟生成高质量综述,智能提取关键信息,辅助科研写作。

立即免费体验