• 文献检索
  • 文档翻译
  • 深度研究
  • 学术资讯
  • Suppr Zotero 插件Zotero 插件
  • 邀请有礼
  • 套餐&价格
  • 历史记录
应用&插件
Suppr Zotero 插件Zotero 插件浏览器插件Mac 客户端Windows 客户端微信小程序
定价
高级版会员购买积分包购买API积分包
服务
文献检索文档翻译深度研究API 文档MCP 服务
关于我们
关于 Suppr公司介绍联系我们用户协议隐私条款
关注我们

Suppr 超能文献

核心技术专利:CN118964589B侵权必究
粤ICP备2023148730 号-1Suppr @ 2026

文献检索

告别复杂PubMed语法,用中文像聊天一样搜索,搜遍4000万医学文献。AI智能推荐,让科研检索更轻松。

立即免费搜索

文件翻译

保留排版,准确专业,支持PDF/Word/PPT等文件格式,支持 12+语言互译。

免费翻译文档

深度研究

AI帮你快速写综述,25分钟生成高质量综述,智能提取关键信息,辅助科研写作。

立即免费体验

延伸因子Tu的单克隆抗体制备及表位鉴定

Monoclonal Antibody Preparation and Epitope Identification for Elongation Factor Tu.

作者信息

Zhao Ningning, Jiang Yue, Ming Shuzhen, Liu Sidang, Zhao Xiaomin, Wang Fangkun

机构信息

Department of Preventive Veterinary Medicine, College of Veterinary Medicine, Shandong Agricultural University, Tai'an, China.

Shandong Provincial Key Laboratory of Animal Biotechnology and Disease Control and Prevention, Shandong Agricultural University, Tai'an, China.

出版信息

Front Microbiol. 2019 Aug 13;10:1878. doi: 10.3389/fmicb.2019.01878. eCollection 2019.

DOI:10.3389/fmicb.2019.01878
PMID:31474961
原文链接:https://pmc.ncbi.nlm.nih.gov/articles/PMC6705223/
Abstract

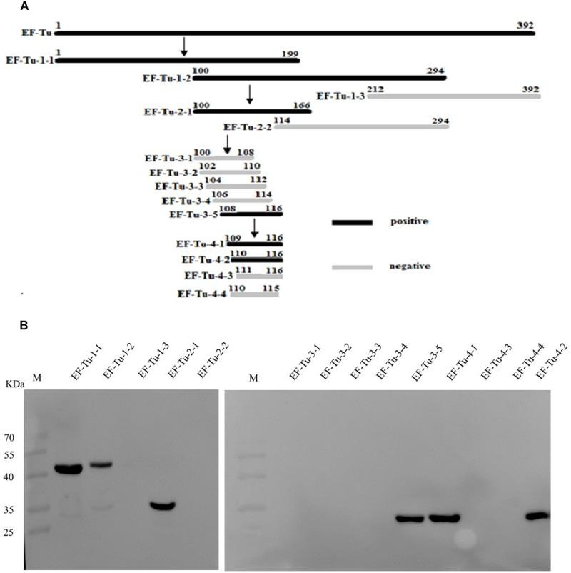
Elongation factor thermo-unstable (EF-Tu), an abundant multifunctional protein, is pivotal during protein synthesis and is an important antigen. Few studies have addressed the role of this protein in species, and the epitopes of this protein have not been reported. Here, we describe a monoclonal antibody (McAb), BD, for EF-Tu in . Using western blotting involving a series of partially overlapping recombinant EF-Tu truncation peptides, a novel linear B-cell epitope, QTREHIL (EF), was identified. Alanine-scanning mutagenesis revealed that residues Q, T, R, I, and L were core residues involved in recognition. Sequence alignment suggested that the epitope peptide was conserved among bacterial species but differed by one amino acid residue (I) from the host sequence. The epitope peptide was recognized by sera from -infected mice, and while recombinant epitope peptide induced a strong humoral immune response, the corresponding mouse peptide, QTREHLL, did not. These results suggested that I may be the key residue for the host immune system to distinguish between bacterial and self epitope EF sequences. Indirect immunofluorescence and western blotting assays showed that epitope peptide could be used in , human embryonic kidney cell (HEK-293), and chicken fibroblast cell (DF1) expression systems and immunoprecipitation assay. Together, our results suggested that the McAb BD is a useful tool for further investigation of the potential functions of the EF-Tu protein in pathogen-host interactions, and that the epitope tag may be useful for application as a novel affinity tag to identify other bacterial pathogens, especially convenient for the identification of intracellular bacteria.

摘要

热不稳定延伸因子(EF-Tu)是一种丰富的多功能蛋白质,在蛋白质合成过程中起关键作用,并且是一种重要的抗原。很少有研究探讨这种蛋白质在物种中的作用,其表位也尚未见报道。在此,我们描述了一种针对EF-Tu的单克隆抗体(McAb)BD。通过使用涉及一系列部分重叠的重组EF-Tu截短肽的蛋白质印迹法,鉴定出一种新的线性B细胞表位QTREHIL(EF)。丙氨酸扫描诱变显示,残基Q、T、R、I和L是参与识别的核心残基。序列比对表明,该表位肽在细菌物种中保守,但与宿主序列相差一个氨基酸残基(I)。该表位肽可被感染小鼠的血清识别,虽然重组表位肽诱导了强烈的体液免疫反应,但相应的小鼠肽QTREHLL则不能。这些结果表明,I可能是宿主免疫系统区分细菌和自身表位EF序列的关键残基。间接免疫荧光和蛋白质印迹分析表明,表位肽可用于表达系统和免疫沉淀分析,包括、人胚肾细胞(HEK-293)和鸡成纤维细胞(DF1)。总之,我们的结果表明,单克隆抗体BD是进一步研究EF-Tu蛋白在病原体-宿主相互作用中潜在功能的有用工具,并且该表位标签可能作为一种新型亲和标签用于鉴定其他细菌病原体,特别是便于鉴定细胞内细菌。

https://cdn.ncbi.nlm.nih.gov/pmc/blobs/9e44/6705223/86aa0f2d2081/fmicb-10-01878-g006.jpg
https://cdn.ncbi.nlm.nih.gov/pmc/blobs/9e44/6705223/8a4548b7e2f8/fmicb-10-01878-g001.jpg
https://cdn.ncbi.nlm.nih.gov/pmc/blobs/9e44/6705223/f1805b6cb9c0/fmicb-10-01878-g002.jpg
https://cdn.ncbi.nlm.nih.gov/pmc/blobs/9e44/6705223/1f833a2026f2/fmicb-10-01878-g003.jpg
https://cdn.ncbi.nlm.nih.gov/pmc/blobs/9e44/6705223/ea22f79e3981/fmicb-10-01878-g004.jpg
https://cdn.ncbi.nlm.nih.gov/pmc/blobs/9e44/6705223/b159f5109fdc/fmicb-10-01878-g005.jpg
https://cdn.ncbi.nlm.nih.gov/pmc/blobs/9e44/6705223/86aa0f2d2081/fmicb-10-01878-g006.jpg
https://cdn.ncbi.nlm.nih.gov/pmc/blobs/9e44/6705223/8a4548b7e2f8/fmicb-10-01878-g001.jpg
https://cdn.ncbi.nlm.nih.gov/pmc/blobs/9e44/6705223/f1805b6cb9c0/fmicb-10-01878-g002.jpg
https://cdn.ncbi.nlm.nih.gov/pmc/blobs/9e44/6705223/1f833a2026f2/fmicb-10-01878-g003.jpg
https://cdn.ncbi.nlm.nih.gov/pmc/blobs/9e44/6705223/ea22f79e3981/fmicb-10-01878-g004.jpg
https://cdn.ncbi.nlm.nih.gov/pmc/blobs/9e44/6705223/b159f5109fdc/fmicb-10-01878-g005.jpg
https://cdn.ncbi.nlm.nih.gov/pmc/blobs/9e44/6705223/86aa0f2d2081/fmicb-10-01878-g006.jpg

相似文献

1
Monoclonal Antibody Preparation and Epitope Identification for Elongation Factor Tu.延伸因子Tu的单克隆抗体制备及表位鉴定
Front Microbiol. 2019 Aug 13;10:1878. doi: 10.3389/fmicb.2019.01878. eCollection 2019.
2
Conservation of the amino-terminal epitope of elongation factor Tu in eubacteria and Archaea.真细菌和古细菌中延伸因子Tu氨基末端表位的保守性。
Microbiology (Reading). 1998 Aug;144 ( Pt 8):2241-2246. doi: 10.1099/00221287-144-8-2241.
3
EF-Tu From Non-typeable Is an Immunogenic Surface-Exposed Protein Targeted by Bactericidal Antibodies.非分型流感嗜血杆菌 EF-Tu 是一种免疫原性表面暴露蛋白,可被杀菌抗体靶向。
Front Immunol. 2018 Dec 18;9:2910. doi: 10.3389/fimmu.2018.02910. eCollection 2018.
4
Characterization of novel Omp31 antigenic epitopes of Brucella melitensis by monoclonal antibodies.利用单克隆抗体对羊种布鲁氏菌新型Omp31抗原表位进行鉴定
BMC Microbiol. 2017 May 15;17(1):115. doi: 10.1186/s12866-017-1025-3.
5
Minor nucleotide substitutions in the omp31 gene of Brucella ovis result in antigenic differences in the major outer membrane protein that it encodes compared to those of the other Brucella species.绵羊布鲁氏菌omp31基因中的微小核苷酸取代导致其所编码的主要外膜蛋白与其他布鲁氏菌物种的主要外膜蛋白相比存在抗原差异。
Infect Immun. 2001 Nov;69(11):7020-8. doi: 10.1128/IAI.69.11.7020-7028.2001.
6
Epitope mapping of the Brucella melitensis BP26 immunogenic protein: usefulness for diagnosis of sheep brucellosis.羊种布鲁氏菌BP26免疫原性蛋白的表位作图:对绵羊布鲁氏菌病诊断的实用性。
Clin Diagn Lab Immunol. 2003 Jul;10(4):647-51. doi: 10.1128/cdli.10.4.647-651.2003.
7
An epitope of elongation factor Tu is widely distributed within the bacterial and archaeal domains.延伸因子Tu的一个表位广泛分布于细菌域和古菌域内。
J Bacteriol. 1995 Jan;177(1):11-9. doi: 10.1128/jb.177.1.11-19.1995.
8
Species differentiation of mycoplasmas by EF-Tu specific monoclonal antibodies.利用延伸因子Tu特异性单克隆抗体对支原体进行种属鉴别。
J Immunol Methods. 1992 Feb 14;147(1):73-81. doi: 10.1016/s0022-1759(12)80031-7.
9
Mutagenesis of Arg335 in bovine mitochondrial elongation factor Tu and the corresponding residue in the Escherichia coli factor affects interactions with mitochondrial aminoacyl-tRNAs.牛线粒体延伸因子Tu中Arg335的诱变以及大肠杆菌因子中相应残基的诱变会影响与线粒体氨酰tRNA的相互作用。
RNA Biol. 2004 Jul;1(2):95-102. doi: 10.4161/rna.1.2.1034. Epub 2004 Jul 16.
10
Site-directed mutagenesis of elongation factor Tu. The functional and structural role of residue Cys81.延伸因子Tu的定点诱变。半胱氨酸81残基的功能和结构作用。
Eur J Biochem. 1992 Sep 1;208(2):251-7. doi: 10.1111/j.1432-1033.1992.tb17180.x.

本文引用的文献

1
Identification of a novel linear B-cell epitope within the collagenase equivalent domain of porcine epidemic diarrhea virus spike glycoprotein.鉴定猪流行性腹泻病毒刺突糖蛋白胶原酶等效结构域内的新型线性 B 细胞表位。
Virus Res. 2019 Jun;266:34-42. doi: 10.1016/j.virusres.2019.04.003. Epub 2019 Apr 6.
2
Improving the immunogenicity and protective efficacy of the EtMIC2 protein against Eimeria tenella infection through random mutagenesis.通过随机突变提高 EtMIC2 蛋白对柔嫩艾美耳球虫感染的免疫原性和保护效力。
Vaccine. 2018 Apr 25;36(18):2435-2441. doi: 10.1016/j.vaccine.2018.03.046. Epub 2018 Mar 24.
3
Epitope-associated and specificity-focused features of EV71-neutralizing antibody repertoires from plasmablasts of infected children.
来自受感染儿童浆母细胞的肠道病毒71型中和抗体库的表位相关及特异性聚焦特征
Nat Commun. 2017 Oct 2;8(1):762. doi: 10.1038/s41467-017-00736-9.
4
Elongation factor Tu on Escherichia coli isolated from urine of kidney stone patients promotes calcium oxalate crystal growth and aggregation.从肾结石患者尿液中分离的大肠杆菌中的延伸因子 Tu 可促进草酸钙晶体生长和聚集。
Sci Rep. 2017 Jun 7;7(1):2953. doi: 10.1038/s41598-017-03213-x.
5
Elongation Factor Tu and Heat Shock Protein 70 Are Membrane-Associated Proteins from Mycoplasma ovipneumoniae Capable of Inducing Strong Immune Response in Mice.延伸因子Tu和热休克蛋白70是来自绵羊肺炎支原体的膜相关蛋白,能够在小鼠中诱导强烈的免疫反应。
PLoS One. 2016 Aug 18;11(8):e0161170. doi: 10.1371/journal.pone.0161170. eCollection 2016.
6
HybriFree: a robust and rapid method for the development of monoclonal antibodies from different host species.HybriFree:一种从不同宿主物种开发单克隆抗体的强大且快速的方法。
BMC Biotechnol. 2016 Jan 8;16:2. doi: 10.1186/s12896-016-0232-6.
7
Characterization and application of a common epitope recognized by a broad-spectrum C4 monoclonal antibody against capsid proteins of plant potyviruses.一种针对植物马铃薯Y病毒属病毒衣壳蛋白的广谱C4单克隆抗体所识别的共同表位的鉴定与应用
Appl Microbiol Biotechnol. 2016 Feb;100(4):1853-1869. doi: 10.1007/s00253-015-7116-x. Epub 2015 Nov 6.
8
HaloTag technology: a versatile platform for biomedical applications.卤化酶标签技术:一个用于生物医学应用的多功能平台。
Bioconjug Chem. 2015 Jun 17;26(6):975-86. doi: 10.1021/acs.bioconjchem.5b00191. Epub 2015 May 22.
9
Co-immunoprecipitation of the Mouse Mx1 Protein with the Influenza A Virus Nucleoprotein.小鼠Mx1蛋白与甲型流感病毒核蛋白的共免疫沉淀
J Vis Exp. 2015 Apr 21(98):52871. doi: 10.3791/52871.
10
Tail proteins of phage T5: investigation of the effect of the His6-tag position, from expression to crystallisation.噬菌体T5的尾部蛋白:His6标签位置从表达至结晶的效果研究
Protein Expr Purif. 2015 May;109:70-8. doi: 10.1016/j.pep.2015.02.003. Epub 2015 Feb 9.