• 文献检索
  • 文档翻译
  • 深度研究
  • 学术资讯
  • Suppr Zotero 插件Zotero 插件
  • 邀请有礼
  • 套餐&价格
  • 历史记录
应用&插件
Suppr Zotero 插件Zotero 插件浏览器插件Mac 客户端Windows 客户端微信小程序
定价
高级版会员购买积分包购买API积分包
服务
文献检索文档翻译深度研究API 文档MCP 服务
关于我们
关于 Suppr公司介绍联系我们用户协议隐私条款
关注我们

Suppr 超能文献

核心技术专利:CN118964589B侵权必究
粤ICP备2023148730 号-1Suppr @ 2026

文献检索

告别复杂PubMed语法,用中文像聊天一样搜索,搜遍4000万医学文献。AI智能推荐,让科研检索更轻松。

立即免费搜索

文件翻译

保留排版,准确专业,支持PDF/Word/PPT等文件格式,支持 12+语言互译。

免费翻译文档

深度研究

AI帮你快速写综述,25分钟生成高质量综述,智能提取关键信息,辅助科研写作。

立即免费体验

Mxra8 受体的表达促进小鼠和果蝇中的甲病毒感染和发病机制。

Expression of the Mxra8 Receptor Promotes Alphavirus Infection and Pathogenesis in Mice and Drosophila.

机构信息

Department of Medicine, Washington University School of Medicine, St. Louis, MO 63110, USA; Key Laboratory of Medical Molecular Virology (MOE/NHC/CAMS), School of Basic Medical Sciences, Shanghai Medical College, Fudan University, Shanghai 200032, China.

Department of Medicine, Washington University School of Medicine, St. Louis, MO 63110, USA.

出版信息

Cell Rep. 2019 Sep 3;28(10):2647-2658.e5. doi: 10.1016/j.celrep.2019.07.105.

DOI:10.1016/j.celrep.2019.07.105
PMID:31484075
原文链接:https://pmc.ncbi.nlm.nih.gov/articles/PMC6745702/
Abstract

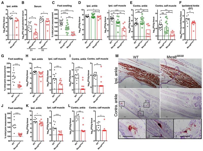
Mxra8 is a recently described receptor for multiple alphaviruses, including Chikungunya (CHIKV), Mayaro (MAYV), Ross River (RRV), and O'nyong nyong (ONNV) viruses. To determine its role in pathogenesis, we generated mice with mutant Mxra8 alleles: an 8-nucleotide deletion that produces a truncated, soluble form (Mxra8) and a 97-nucleotide deletion that abolishes Mxra8 expression (Mxra8). Mxra8 and Mxra8 fibroblasts show reduced CHIKV infection in culture, and Mxra8 and Mxra8 mice have decreased infection of musculoskeletal tissues with CHIKV, MAYV, RRV, or ONNV. Less foot swelling is observed in CHIKV-infected Mxra8 mutant mice, which correlated with fewer infiltrating neutrophils and cytokines. A recombinant E2-D71A CHIKV with diminished binding to Mxra8 is attenuated in vivo in wild-type mice. Ectopic Mxra8 expression is sufficient to enhance CHIKV infection and lethality in transgenic flies. These studies establish a role for Mxra8 in the pathogenesis of multiple alphaviruses and suggest that targeting this protein may mitigate disease in humans.

摘要

Mxra8 是一种最近被描述的多种甲病毒受体,包括基孔肯雅(CHIKV)、马亚罗(MAYV)、罗斯河(RRV)和奥尼永尼翁(ONNV)病毒。为了确定其在发病机制中的作用,我们生成了具有突变 Mxra8 等位基因的小鼠:一个 8 个核苷酸的缺失导致产生截断的可溶性形式(Mxra8),以及一个 97 个核苷酸的缺失导致 Mxra8 表达被废除(Mxra8)。Mxra8 和 Mxra8 成纤维细胞在培养中显示出对 CHIKV 感染的减少,而 Mxra8 和 Mxra8 小鼠的肌肉骨骼组织感染 CHIKV、MAYV、RRV 或 ONNV 的情况减少。在感染 CHIKV 的 Mxra8 突变小鼠中观察到较少的足部肿胀,这与浸润的中性粒细胞和细胞因子减少有关。与 Mxra8 结合减少的重组 E2-D71A CHIKV 在野生型小鼠中体内减毒。异位表达 Mxra8 足以增强转基因果蝇中的 CHIKV 感染和致死率。这些研究确立了 Mxra8 在多种甲病毒发病机制中的作用,并表明靶向该蛋白可能减轻人类的疾病。

https://cdn.ncbi.nlm.nih.gov/pmc/blobs/8add/6745702/5a497729643c/nihms-1539073-f0007.jpg
https://cdn.ncbi.nlm.nih.gov/pmc/blobs/8add/6745702/a9ca0c61eec7/nihms-1539073-f0001.jpg
https://cdn.ncbi.nlm.nih.gov/pmc/blobs/8add/6745702/105083b42047/nihms-1539073-f0002.jpg
https://cdn.ncbi.nlm.nih.gov/pmc/blobs/8add/6745702/d0acaae57d6a/nihms-1539073-f0003.jpg
https://cdn.ncbi.nlm.nih.gov/pmc/blobs/8add/6745702/e1fff6fce8d9/nihms-1539073-f0004.jpg
https://cdn.ncbi.nlm.nih.gov/pmc/blobs/8add/6745702/83674e34db19/nihms-1539073-f0005.jpg
https://cdn.ncbi.nlm.nih.gov/pmc/blobs/8add/6745702/46473646a803/nihms-1539073-f0006.jpg
https://cdn.ncbi.nlm.nih.gov/pmc/blobs/8add/6745702/5a497729643c/nihms-1539073-f0007.jpg
https://cdn.ncbi.nlm.nih.gov/pmc/blobs/8add/6745702/a9ca0c61eec7/nihms-1539073-f0001.jpg
https://cdn.ncbi.nlm.nih.gov/pmc/blobs/8add/6745702/105083b42047/nihms-1539073-f0002.jpg
https://cdn.ncbi.nlm.nih.gov/pmc/blobs/8add/6745702/d0acaae57d6a/nihms-1539073-f0003.jpg
https://cdn.ncbi.nlm.nih.gov/pmc/blobs/8add/6745702/e1fff6fce8d9/nihms-1539073-f0004.jpg
https://cdn.ncbi.nlm.nih.gov/pmc/blobs/8add/6745702/83674e34db19/nihms-1539073-f0005.jpg
https://cdn.ncbi.nlm.nih.gov/pmc/blobs/8add/6745702/46473646a803/nihms-1539073-f0006.jpg
https://cdn.ncbi.nlm.nih.gov/pmc/blobs/8add/6745702/5a497729643c/nihms-1539073-f0007.jpg

相似文献

1
Expression of the Mxra8 Receptor Promotes Alphavirus Infection and Pathogenesis in Mice and Drosophila.Mxra8 受体的表达促进小鼠和果蝇中的甲病毒感染和发病机制。
Cell Rep. 2019 Sep 3;28(10):2647-2658.e5. doi: 10.1016/j.celrep.2019.07.105.
2
Role of MXRA8 in Ross River Virus Disease Pathogenesis.MXRA8 在罗斯河病毒病发病机制中的作用。
mBio. 2023 Apr 25;14(2):e0058823. doi: 10.1128/mbio.00588-23. Epub 2023 Apr 10.
3
Mxra8 is a receptor for multiple arthritogenic alphaviruses.Mxra8 是多种致关节炎甲病毒的受体。
Nature. 2018 May;557(7706):570-574. doi: 10.1038/s41586-018-0121-3. Epub 2018 May 16.
4
FHL1 promotes chikungunya and o'nyong-nyong virus infection and pathogenesis with implications for alphavirus vaccine design.FHL1 促进基孔肯雅热和奥尼昂奥尼翁病毒感染和发病机制,对甲病毒疫苗设计有影响。
Nat Commun. 2023 Oct 26;14(1):6605. doi: 10.1038/s41467-023-42330-2.
5
An Evolutionary Insertion in the Mxra8 Receptor-Binding Site Confers Resistance to Alphavirus Infection and Pathogenesis.Mxra8 受体结合位点的进化插入赋予了对甲病毒感染和发病机制的抗性。
Cell Host Microbe. 2020 Mar 11;27(3):428-440.e9. doi: 10.1016/j.chom.2020.01.008. Epub 2020 Feb 18.
6
Human mAbs Broadly Protect against Arthritogenic Alphaviruses by Recognizing Conserved Elements of the Mxra8 Receptor-Binding Site.人源单抗通过识别 Mxra8 受体结合位点的保守元件广泛保护抗关节炎甲病毒。
Cell Host Microbe. 2020 Nov 11;28(5):699-711.e7. doi: 10.1016/j.chom.2020.07.008. Epub 2020 Aug 11.
7
Vertebrate-class-specific binding modes of the alphavirus receptor MXRA8.脊椎动物类特异性的甲病毒受体 MXRA8 的结合模式。
Cell. 2023 Oct 26;186(22):4818-4833.e25. doi: 10.1016/j.cell.2023.09.007. Epub 2023 Oct 6.
8
BHK-21 Cell Clones Differ in Chikungunya Virus Infection and MXRA8 Receptor Expression.BHK-21 细胞克隆在感染基孔肯雅病毒和 MXRA8 受体表达方面存在差异。
Viruses. 2021 May 21;13(6):949. doi: 10.3390/v13060949.
9
Colocalization of Chikungunya Virus with Its Receptor MXRA8 during Cell Attachment, Internalization, and Membrane Fusion.基孔肯雅病毒在细胞附着、内化和膜融合过程中与受体 MXRA8 的共定位。
J Virol. 2023 May 31;97(5):e0155722. doi: 10.1128/jvi.01557-22. Epub 2023 May 1.
10
GloPID-R report on Chikungunya, O'nyong-nyong and Mayaro virus, part I: Biological diagnostics.基孔肯雅热、奥尼翁-奥尼翁和马亚罗病毒 GloPID-R 报告,第一部分:生物诊断。
Antiviral Res. 2019 Jun;166:66-81. doi: 10.1016/j.antiviral.2019.03.009. Epub 2019 Mar 21.

引用本文的文献

1
Determinants of human versus mosquito cell entry by the Chikungunya virus envelope proteins.基孔肯雅病毒包膜蛋白进入人类细胞与蚊子细胞的决定因素。
bioRxiv. 2025 Aug 25:2025.08.25.672233. doi: 10.1101/2025.08.25.672233.
2
Chikungunya virus and other emerging arthritogenic alphaviruses.基孔肯雅病毒及其他新出现的致关节炎甲病毒
Nat Rev Microbiol. 2025 May 7. doi: 10.1038/s41579-025-01177-8.
3
Differential restriction of chikungunya virus in primary human cardiac endothelial cells occurs at multiple steps in the viral life cycle.

本文引用的文献

1
Molecular Basis of Arthritogenic Alphavirus Receptor MXRA8 Binding to Chikungunya Virus Envelope Protein.关节炎病毒受体 MXRA8 与基孔肯雅病毒包膜蛋白结合的分子基础。
Cell. 2019 Jun 13;177(7):1714-1724.e12. doi: 10.1016/j.cell.2019.04.008. Epub 2019 May 9.
2
Cryo-EM Structure of Chikungunya Virus in Complex with the Mxra8 Receptor.Cryo-EM 结构解析嵌沙样病毒与 Mxra8 受体复合物
Cell. 2019 Jun 13;177(7):1725-1737.e16. doi: 10.1016/j.cell.2019.04.006. Epub 2019 May 9.
3
Optimal therapeutic activity of monoclonal antibodies against chikungunya virus requires Fc-FcγR interaction on monocytes.
基孔肯雅病毒在原代人心脏内皮细胞中的差异限制发生在病毒生命周期的多个步骤。
PLoS Negl Trop Dis. 2025 Mar 10;19(3):e0012534. doi: 10.1371/journal.pntd.0012534. eCollection 2025 Mar.
4
Cell surface protein-protein interaction profiling for biological network analysis and novel target discovery.用于生物网络分析和新靶点发现的细胞表面蛋白质-蛋白质相互作用分析
Life Med. 2024 Aug 29;3(4):lnae031. doi: 10.1093/lifemedi/lnae031. eCollection 2024 Aug.
5
A specific gene expression program underlies antigen archiving by lymphatic endothelial cells in mammalian lymph nodes.一种特定的基因表达程序是哺乳动物淋巴结中淋巴管内皮细胞进行抗原存档的基础。
Res Sq. 2024 Dec 10:rs.3.rs-5493746. doi: 10.21203/rs.3.rs-5493746/v1.
6
Structural insights into Semiliki forest virus receptor binding modes indicate novel mechanism of virus endocytosis.对塞姆利基森林病毒受体结合模式的结构洞察揭示了病毒内吞作用的新机制。
PLoS Pathog. 2024 Dec 20;20(12):e1012770. doi: 10.1371/journal.ppat.1012770. eCollection 2024 Dec.
7
Differential restriction of chikungunya virus in primary human cardiac endothelial cells occurs at multiple steps in the viral life cycle.基孔肯雅病毒在原代人心脏内皮细胞中的差异限制发生在病毒生命周期的多个步骤。
bioRxiv. 2024 Sep 13:2024.09.13.612809. doi: 10.1101/2024.09.13.612809.
8
Pathogenicity and virulence of chikungunya virus.基孔肯雅病毒的致病性和毒力。
Virulence. 2024 Dec;15(1):2396484. doi: 10.1080/21505594.2024.2396484. Epub 2024 Sep 1.
9
LDL receptor in alphavirus entry: structural analysis and implications for antiviral therapy.甲型病毒进入中的 LDL 受体:结构分析及抗病毒治疗的意义。
Nat Commun. 2024 Jun 8;15(1):4906. doi: 10.1038/s41467-024-49301-1.
10
Changes in the chikungunya virus E1 glycoprotein domain II and hinge influence E2 conformation, infectivity, and virus-receptor interactions.基孔肯雅病毒 E1 糖蛋白结构域 II 和铰链区的变化影响 E2 构象、感染性和病毒-受体相互作用。
J Virol. 2024 Jul 23;98(7):e0067924. doi: 10.1128/jvi.00679-24. Epub 2024 Jun 6.
针对基孔肯雅病毒的单克隆抗体的最佳治疗活性需要单核细胞上的 Fc-FcγR 相互作用。
Sci Immunol. 2019 Feb 22;4(32). doi: 10.1126/sciimmunol.aav5062.
4
DICAM Attenuates Experimental Colitis via Stabilizing Junctional Complex in Mucosal Barrier.DICAM 通过稳定黏膜屏障中的连接复合体来减轻实验性结肠炎。
Inflamm Bowel Dis. 2019 Apr 11;25(5):853-861. doi: 10.1093/ibd/izy373.
5
Inflammation-Induced, STING-Dependent Autophagy Restricts Zika Virus Infection in the Drosophila Brain.炎症诱导的 STING 依赖性自噬限制了果蝇大脑中的寨卡病毒感染。
Cell Host Microbe. 2018 Jul 11;24(1):57-68.e3. doi: 10.1016/j.chom.2018.05.022. Epub 2018 Jun 19.
6
Mxra8 is a receptor for multiple arthritogenic alphaviruses.Mxra8 是多种致关节炎甲病毒的受体。
Nature. 2018 May;557(7706):570-574. doi: 10.1038/s41586-018-0121-3. Epub 2018 May 16.
7
Dicam promotes proliferation and maturation of chondrocyte through Indian hedgehog signaling in primary cilia.Dicam 通过初级纤毛中的印度刺猬信号促进软骨细胞的增殖和成熟。
Osteoarthritis Cartilage. 2018 Jul;26(7):945-953. doi: 10.1016/j.joca.2018.04.008. Epub 2018 Apr 25.
8
Inflammatory monocytes mediate control of acute alphavirus infection in mice.炎症性单核细胞介导小鼠急性甲病毒感染的控制。
PLoS Pathog. 2017 Dec 15;13(12):e1006748. doi: 10.1371/journal.ppat.1006748. eCollection 2017 Dec.
9
Pathogenic Chikungunya Virus Evades B Cell Responses to Establish Persistence.致病性基孔肯雅病毒逃避B细胞反应以建立持续性感染。
Cell Rep. 2016 Aug 2;16(5):1326-1338. doi: 10.1016/j.celrep.2016.06.076. Epub 2016 Jul 21.
10
Dynamics of Chikungunya Virus Cell Entry Unraveled by Single-Virus Tracking in Living Cells.通过活细胞中单病毒追踪揭示基孔肯雅病毒的细胞进入动力学
J Virol. 2016 Apr 14;90(9):4745-4756. doi: 10.1128/JVI.03184-15. Print 2016 May.