• 文献检索
  • 文档翻译
  • 深度研究
  • 学术资讯
  • Suppr Zotero 插件Zotero 插件
  • 邀请有礼
  • 套餐&价格
  • 历史记录
应用&插件
Suppr Zotero 插件Zotero 插件浏览器插件Mac 客户端Windows 客户端微信小程序
定价
高级版会员购买积分包购买API积分包
服务
文献检索文档翻译深度研究API 文档MCP 服务
关于我们
关于 Suppr公司介绍联系我们用户协议隐私条款
关注我们

Suppr 超能文献

核心技术专利:CN118964589B侵权必究
粤ICP备2023148730 号-1Suppr @ 2026

文献检索

告别复杂PubMed语法,用中文像聊天一样搜索,搜遍4000万医学文献。AI智能推荐,让科研检索更轻松。

立即免费搜索

文件翻译

保留排版,准确专业,支持PDF/Word/PPT等文件格式,支持 12+语言互译。

免费翻译文档

深度研究

AI帮你快速写综述,25分钟生成高质量综述,智能提取关键信息,辅助科研写作。

立即免费体验

通过羟基自由基氧化对白头红尾鱼肉肌原纤维蛋白理化及功能特性的影响。

Effect of Chlorogenic Acid on the Physicochemical and Functional Properties of Coregonus Peled Myofibrillar Protein through Hydroxyl Radical Oxidation.

机构信息

College of Food Science, Shihezi University, Shihezi 832000, China.

出版信息

Molecules. 2019 Sep 3;24(17):3205. doi: 10.3390/molecules24173205.

DOI:10.3390/molecules24173205
PMID:31484430
原文链接:https://pmc.ncbi.nlm.nih.gov/articles/PMC6749205/
Abstract

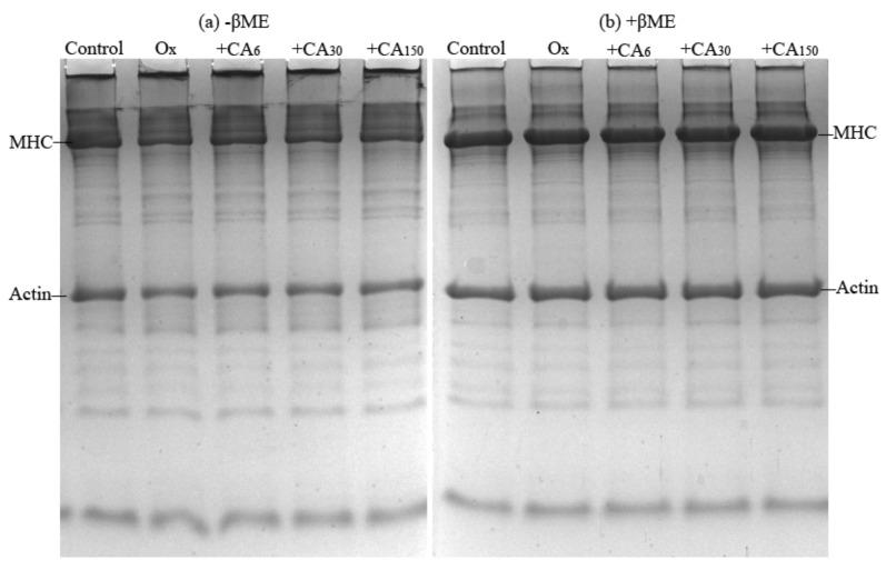
The effects of chlorogenic acid (CA) (6, 30, and 150 μM/g protein) on the physicochemical and functional properties of Coregonus peled myofibrillar protein (MP) through oxidation using a hydroxyl radical oxidation system (0.01 mM FeCl, 0.01 mM Asc, and 1 mM HO) were investigated. The result showed that CA inhibited the increase in protein carbonyl content but did not prevent losses in sulfhydryl and free amine contents caused by oxidation. The presence of CA also increased conformational changes in the secondary and tertiary structures of oxidized MP. Oxidized MP containing 6 μM/g CA had superior functional properties (solubility, emulsifying, foaming, and gel properties), while oxidized MP containing 150 μM/g CA aggregated, resulting in insolubility and a poor gel network.

摘要

本研究采用羟自由基氧化体系(0.01 mM FeCl、0.01 mM Asc 和 1 mM HO),探讨了绿原酸(CA)(6、30 和 150 μM/g 蛋白)对哲罗鱼肌原纤维蛋白(MP)理化及功能特性的氧化影响。结果表明,CA 抑制了蛋白羰基含量的增加,但不能防止氧化引起的巯基和游离氨基含量的损失。CA 的存在也增加了氧化 MP 二级和三级结构的构象变化。含有 6 μM/g CA 的氧化 MP 具有较好的功能特性(溶解性、乳化性、起泡性和凝胶性能),而含有 150 μM/g CA 的氧化 MP 则聚集,导致不溶性和较差的凝胶网络。

https://cdn.ncbi.nlm.nih.gov/pmc/blobs/0048/6749205/ed26a3e32006/molecules-24-03205-g005.jpg
https://cdn.ncbi.nlm.nih.gov/pmc/blobs/0048/6749205/2f7d623f56a7/molecules-24-03205-g001.jpg
https://cdn.ncbi.nlm.nih.gov/pmc/blobs/0048/6749205/60ee16049136/molecules-24-03205-g002.jpg
https://cdn.ncbi.nlm.nih.gov/pmc/blobs/0048/6749205/884ebb3919cf/molecules-24-03205-g003.jpg
https://cdn.ncbi.nlm.nih.gov/pmc/blobs/0048/6749205/49292104024e/molecules-24-03205-g004.jpg
https://cdn.ncbi.nlm.nih.gov/pmc/blobs/0048/6749205/ed26a3e32006/molecules-24-03205-g005.jpg
https://cdn.ncbi.nlm.nih.gov/pmc/blobs/0048/6749205/2f7d623f56a7/molecules-24-03205-g001.jpg
https://cdn.ncbi.nlm.nih.gov/pmc/blobs/0048/6749205/60ee16049136/molecules-24-03205-g002.jpg
https://cdn.ncbi.nlm.nih.gov/pmc/blobs/0048/6749205/884ebb3919cf/molecules-24-03205-g003.jpg
https://cdn.ncbi.nlm.nih.gov/pmc/blobs/0048/6749205/49292104024e/molecules-24-03205-g004.jpg
https://cdn.ncbi.nlm.nih.gov/pmc/blobs/0048/6749205/ed26a3e32006/molecules-24-03205-g005.jpg

相似文献

1
Effect of Chlorogenic Acid on the Physicochemical and Functional Properties of Coregonus Peled Myofibrillar Protein through Hydroxyl Radical Oxidation.通过羟基自由基氧化对白头红尾鱼肉肌原纤维蛋白理化及功能特性的影响。
Molecules. 2019 Sep 3;24(17):3205. doi: 10.3390/molecules24173205.
2
Biochemical changes of Coregonus peled myofibrillar proteins isolates as affected by HRGS oxidation system.HRGS 氧化体系对红大麻哈鱼肌原纤维蛋白分离物生化特性的影响
J Food Biochem. 2019 Feb;43(2):e12710. doi: 10.1111/jfbc.12710. Epub 2018 Oct 24.
3
Chlorogenic acid-mediated gel formation of oxidatively stressed myofibrillar protein.绿原酸介导氧化应激肌原纤维蛋白凝胶形成。
Food Chem. 2015 Aug 1;180:235-243. doi: 10.1016/j.foodchem.2015.02.036. Epub 2015 Feb 14.
4
Oxidation of Cathepsin D by Hydroxy Radical: Its Effect on Enzyme Structure and Activity against Myofibrillar Proteins Extracted from .羟自由基对组织蛋白酶 D 的氧化作用:对肌原纤维蛋白的酶结构和活性的影响。
Molecules. 2023 Jun 29;28(13):5117. doi: 10.3390/molecules28135117.
5
μ-Calpain oxidation and proteolytic changes on myofibrillar proteins from Coregonus Peled in vitro.微钙蛋白酶氧化和 Peled 白鲑肌原纤维蛋白的蛋白水解变化的体外研究。
Food Chem. 2021 Nov 1;361:130100. doi: 10.1016/j.foodchem.2021.130100. Epub 2021 May 13.
6
Physicochemical changes of myofibrillar proteins of squid (Argentinus ilex) induced by hydroxyl radical generating system.由羟基自由基生成系统诱导的鱿鱼(阿根廷鱿鱼)肌原纤维蛋白的物理化学变化。
Food Chem. 2019 Nov 1;297:124941. doi: 10.1016/j.foodchem.2019.06.008. Epub 2019 Jun 4.
7
Hydroxyl Radical-Induced Oxidation on the Properties of Cathepsin H and Its Influence in Myofibrillar Proteins Degradation of .羟基自由基诱导的组织蛋白酶H性质氧化及其在肌原纤维蛋白降解中的影响 。 (你提供的原文似乎不完整,句末有多余的标点符号)
Foods. 2024 Aug 14;13(16):2531. doi: 10.3390/foods13162531.
8
Effect of hydroxyl radicals on biochemical and functional characteristics of myofibrillar protein from large yellow croaker (Pseudosciaena crocea).羟基自由基对大黄鱼肌原纤维蛋白生化及功能特性的影响
J Food Biochem. 2020 Jan;44(1):e13084. doi: 10.1111/jfbc.13084. Epub 2019 Oct 23.
9
Effects of µ-calpain oxidation on Coregonus peled myofibrillar protein degradation in vitro.µ-钙蛋白酶氧化对体外 Peled 白鲑肌原纤维蛋白降解的影响。
J Food Sci. 2020 Mar;85(3):682-688. doi: 10.1111/1750-3841.15048. Epub 2020 Jan 30.
10
Effect of hydroxyl radical induced oxidation on the physicochemical and gelling properties of shrimp myofibrillar protein and its mechanism.羟自由基诱导氧化对虾肌原纤维蛋白理化性质和凝胶特性的影响及其机制。
Food Chem. 2021 Jul 30;351:129344. doi: 10.1016/j.foodchem.2021.129344. Epub 2021 Feb 20.

引用本文的文献

1
Effect of agricultural digestate on antioxidative properties and antimicrobial activity of hemp (Cannabis sativa) leaves.农业沼渣对大麻(Cannabis sativa)叶片抗氧化特性和抗菌活性的影响。
Sci Rep. 2025 Jul 2;15(1):22955. doi: 10.1038/s41598-025-04565-5.
2
Functional compounds in tropical fruit processing by-products and intrinsic factors affecting their composition: A review.热带水果加工副产品中的功能性化合物及其组成的内在影响因素:综述
Curr Res Food Sci. 2025 Mar 10;10:101028. doi: 10.1016/j.crfs.2025.101028. eCollection 2025.
3
Effects of Leaf Extract on the Technological Quality, Protein Oxidation, and Lipid Oxidation of Cooked Pork Sausage During Refrigerated Storage.

本文引用的文献

1
(-)-Epigallocatechin-3-gallate-mediated formation of myofibrillar protein emulsion gels under malondialdehyde-induced oxidative stress.(-)-表没食子儿茶素没食子酸酯在丙二醛诱导的氧化应激下形成肌原纤维蛋白乳液凝胶。
Food Chem. 2019 Jul 1;285:139-146. doi: 10.1016/j.foodchem.2019.01.147. Epub 2019 Jan 31.
2
Natural antioxidants against lipid-protein oxidative deterioration in meat and meat products: A review.天然抗氧化剂对肉类及肉制品中脂蛋白氧化变质的作用:综述
Food Res Int. 2014 Oct;64:171-181. doi: 10.1016/j.foodres.2014.06.022. Epub 2014 Jun 21.
3
Dose-dependent effects of rosmarinic acid on formation of oxidatively stressed myofibrillar protein emulsion gel at different NaCl concentrations.
叶提取物对冷藏储存期间熟猪肉香肠工艺品质、蛋白质氧化和脂质氧化的影响
Foods. 2025 Jan 29;14(3):441. doi: 10.3390/foods14030441.
4
Determination of Biologically Active Compounds and Antioxidant Capacity In Vitro in Fruit of Small Cranberries ( L.) Growing in Natural Habitats in Lithuania.立陶宛自然栖息地生长的小红莓果实中生物活性化合物的测定及体外抗氧化能力分析
Antioxidants (Basel). 2024 Aug 28;13(9):1045. doi: 10.3390/antiox13091045.
5
Protein-Chlorogenic Acid Interactions: Mechanisms, Characteristics, and Potential Food Applications.蛋白质-绿原酸相互作用:作用机制、特性及在食品中的潜在应用
Antioxidants (Basel). 2024 Jun 27;13(7):777. doi: 10.3390/antiox13070777.
6
Synergistic Effects of High-Intensity Ultrasound Combined with L-Lysine for the Treatment of Porcine Myofibrillar Protein Regarding Solubility and Flavour Adsorption Capacity.高强度超声联合L-赖氨酸对猪肌原纤维蛋白溶解性和风味吸附能力的协同作用
Foods. 2024 Feb 19;13(4):629. doi: 10.3390/foods13040629.
7
Study on peanut protein oxidation and metabolomics/proteomics analysis of peanut response under hypoxic/re-aeration storage.花生蛋白氧化及低氧/复氧储存条件下花生响应的代谢组学/蛋白质组学分析研究
Food Chem X. 2024 Feb 6;21:101173. doi: 10.1016/j.fochx.2024.101173. eCollection 2024 Mar 30.
8
Effect of Fenugreek ( L.) Seed Extracts on the Structure of Myofibrillar Protein Oxidation in Duck Meat.胡芦巴种子提取物对鸭肉肌原纤维蛋白氧化结构的影响。
Foods. 2023 Dec 14;12(24):4482. doi: 10.3390/foods12244482.
9
Oxidation of Cathepsin D by Hydroxy Radical: Its Effect on Enzyme Structure and Activity against Myofibrillar Proteins Extracted from .羟自由基对组织蛋白酶 D 的氧化作用:对肌原纤维蛋白的酶结构和活性的影响。
Molecules. 2023 Jun 29;28(13):5117. doi: 10.3390/molecules28135117.
10
Changes in the Quality of Myofibrillar Protein Gel Damaged by High Doses of Epigallocatechin-3-Gallate as Affected by the Addition of Amylopectin.添加支链淀粉对高剂量表没食子儿茶素-3-没食子酸酯损伤的肌原纤维蛋白凝胶品质的影响
Foods. 2023 Apr 26;12(9):1790. doi: 10.3390/foods12091790.
在不同 NaCl 浓度下,迷迭香酸对氧化应激肌原纤维蛋白乳液凝胶形成的剂量依赖性影响。
Food Chem. 2018 Mar 15;243:50-57. doi: 10.1016/j.foodchem.2017.09.114. Epub 2017 Sep 22.
4
Dual Role (Anti- and Pro-oxidant) of Gallic Acid in Mediating Myofibrillar Protein Gelation and Gel in Vitro Digestion.没食子酸在介导肌原纤维蛋白凝胶化及凝胶体外消化中的双重作用(抗氧化与促氧化)
J Agric Food Chem. 2016 Apr 20;64(15):3054-61. doi: 10.1021/acs.jafc.6b00314. Epub 2016 Apr 7.
5
Formation of whey protein-polyphenol meso-structures as a natural means of creating functional particles.形成乳清蛋白-多酚介观结构作为创建功能颗粒的天然手段。
Food Funct. 2016 Mar;7(3):1306-18. doi: 10.1039/c5fo01499a.
6
Antioxidant activities of distiller dried grains with solubles as protein films containing tea extracts and their application in the packaging of pork meat.含茶提取物的酒糟干燥蛋白膜的抗氧化活性及其在猪肉包装中的应用。
Food Chem. 2016 Apr 1;196:174-9. doi: 10.1016/j.foodchem.2015.09.020. Epub 2015 Sep 8.
7
Effects of Chilling and Partial Freezing on Rigor Mortis Changes of Bighead Carp (Aristichthys nobilis) Fillets: Cathepsin Activity, Protein Degradation and Microstructure of Myofibrils.冷藏和部分冷冻对鳙鱼鱼片僵硬变化的影响:组织蛋白酶活性、蛋白质降解及肌原纤维微观结构
J Food Sci. 2015 Dec;80(12):C2725-31. doi: 10.1111/1750-3841.13134. Epub 2015 Nov 10.
8
Green tea extract impairs meat emulsion properties by disturbing protein disulfide cross-linking.绿茶提取物通过干扰蛋白质二硫键交联来损害肉糜特性。
Meat Sci. 2015 Feb;100:2-9. doi: 10.1016/j.meatsci.2014.09.003. Epub 2014 Sep 16.
9
Covalent complexation and functional evaluation of (-)-epigallocatechin gallate and α-lactalbumin.没食子酸表没食子儿茶素酯与α-乳白蛋白的共价结合及功能评价。
Food Chem. 2014 May 1;150:341-7. doi: 10.1016/j.foodchem.2013.09.127. Epub 2013 Oct 3.
10
Chitosan-hydroxycinnamic acid conjugates: preparation, antioxidant and antimicrobial activity.壳聚糖-羟基肉桂酸缀合物的制备、抗氧化和抗菌活性。
Food Chem. 2014 Apr 1;148:97-104. doi: 10.1016/j.foodchem.2013.10.019. Epub 2013 Oct 12.