Suppr超能文献

围手术期重症监护与疼痛管理背景下的新生儿功能性脑成熟:一例报告。

Neonatal functional brain maturation in the context of perioperative critical care and pain management: A case report.

作者信息

Hodkinson Duncan Jack, Mongerson Chandler Rebecca Lee, Jennings Russell William, Bajic Dusica

机构信息

Department of Anesthesiology, Critical Care and Pain Medicine, Boston Children's Hospital, 300 Longwood Ave., Bader 3, Boston, MA.

Harvard Medical School, 25 Shattuck St., Boston, MA.

出版信息

Heliyon. 2019 Aug 23;5(8):e02350. doi: 10.1016/j.heliyon.2019.e02350. eCollection 2019 Aug.

Abstract

INTRODUCTION

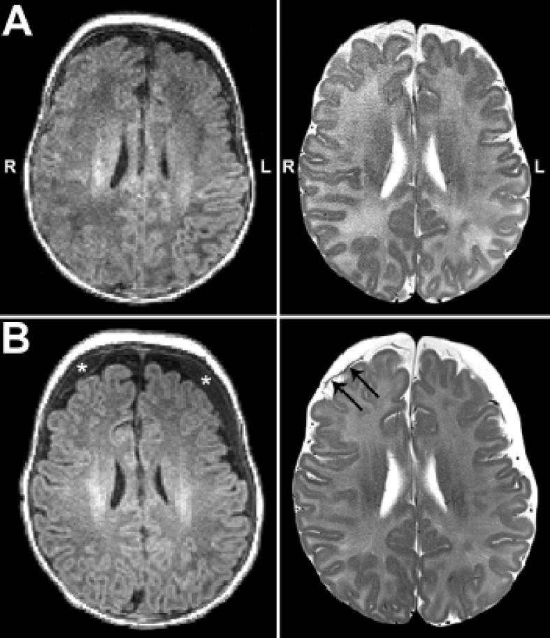
Remarkable plasticity during the first year of life imparts heighted vulnerability of the developing infant brain. Application of resting-state functional magnetic resonance imaging (rs-fMRI) in infants may contribute to our understanding of neuroplastic changes associated with therapeutic interventions and/or brain insults. In addition to showing clinically relevant incidental brain MRI findings, the objective of our pilot study was to test feasibility of rs-fMRI methods at this early age in the context of pediatric perioperative critical care.

METHODS

We report the case of a former 33-week premature infant born with long-gap esophageal atresia that underwent complex perioperative critical care (Foker process) requiring prolonged post-operative sedation and whom presented with incidental subdural hematoma. Rs-fMRI data was acquired (at 1-month corrected age) and (at 2.25-months corrected age) complex perioperative care. We evaluated resting-state functional connectivity (RSFC) using graph theory to explore the complex structure of brain networks.

RESULTS

A transient increase in head circumference coincided temporally with lifting of sedation and initiation of sedation drugs weaning, and qualified for hydrocephalus (93%) but not macrocephaly (>95%). RSFC analysis identified networks spatially consistent with those previously described in the literature, with notable pre-post-treatment qualitative differences in correlated and anticorrelated spontaneous brain activity.

DISCUSSION

Current definitions of macrocephaly may require lower threshold criteria for monitoring of critically ill infants. Although we demonstrate that available rs-fMRI could be effectively applied in a critically ill infant in the setting of brain pathology, future group-level studies should investigate RSFC to evaluate maintenance of network homeostasis during development of both healthy and critically ill infants.

摘要

引言

生命第一年显著的可塑性使发育中的婴儿大脑具有更高的脆弱性。在婴儿中应用静息态功能磁共振成像(rs-fMRI)可能有助于我们理解与治疗干预和/或脑损伤相关的神经可塑性变化。除了显示具有临床相关性的偶然脑MRI发现外,我们的初步研究目的是在儿科围手术期重症监护背景下测试rs-fMRI方法在这个早期年龄段的可行性。

方法

我们报告了一名33周早产的前婴儿病例,该婴儿患有长间隙食管闭锁,接受了复杂的围手术期重症监护(福克手术),需要长时间术后镇静,且出现了偶然的硬膜下血肿。在(矫正年龄1个月时)和(矫正年龄2.25个月时)复杂围手术期护理期间采集了rs-fMRI数据。我们使用图论评估静息态功能连接(RSFC),以探索脑网络的复杂结构。

结果

头围的短暂增加在时间上与镇静解除和镇静药物减量开始相吻合,符合脑积水标准(93%)但不符合巨头症标准(>95%)。RSFC分析确定的网络在空间上与先前文献中描述的网络一致,治疗前后相关和反相关的自发脑活动存在显著的定性差异。

讨论

目前巨头症的定义可能需要更低的阈值标准来监测重症婴儿。虽然我们证明了可用的rs-fMRI可以有效地应用于患有脑病理的重症婴儿,但未来的组级研究应调查RSFC,以评估健康和重症婴儿发育过程中网络稳态的维持情况。

https://cdn.ncbi.nlm.nih.gov/pmc/blobs/8b78/6716350/95cc2bbe4ad9/gr1.jpg

文献检索

告别复杂PubMed语法,用中文像聊天一样搜索,搜遍4000万医学文献。AI智能推荐,让科研检索更轻松。

立即免费搜索

文件翻译

保留排版,准确专业,支持PDF/Word/PPT等文件格式,支持 12+语言互译。

免费翻译文档

深度研究

AI帮你快速写综述,25分钟生成高质量综述,智能提取关键信息,辅助科研写作。

立即免费体验