Suppr超能文献

骨肥大症自然史临床研究背景下的临床评估

Clinical Evaluation of Melorheostosis in the Context of a Natural History Clinical Study.

作者信息

Jha Smita, Cowen Edward W, Lehky Tanya J, Alter Katharine, Flynn Lauren, Reynolds James C, Lange Eileen, Katz James D, Marini Joan C, Siegel Richard M, Bhattacharyya Timothy

机构信息

Clinical and Investigative Orthopedics Surgery Unit National Institute of Arthritis and Musculoskeletal and Skin Diseases (NIAMS), NIH Bethesda MD USA.

Section on Congenital Disorders NIH Clinical Center Bethesda MD USA.

出版信息

JBMR Plus. 2019 Jul 26;3(8):e10214. doi: 10.1002/jbm4.10214. eCollection 2019 Aug.

Abstract

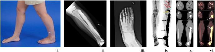
Melorheostosis is a rare dysostosis involving cortical bone overgrowth that affects the appendicular skeleton. Patients present with pain, deformities, contractures, range of motion limitation(s), and limb swelling. It has been described in children as well as adults. We recently identified somatic mosaicism for gain-of-function mutations in in patients with melorheostosis. Despite these advances in genetic understanding, there are no effective therapies or clinical guidelines to help clinicians and patients in disease management. In a study to better characterize the clinical and genetic aspects of the disease, we recruited 30 adults with a radiographic appearance of melorheostosis and corresponding increased uptake on F-NaF positron emission tomography (PET)/CT. Patients underwent physical exam, imaging studies, and laboratory assessment. All patients underwent nerve conduction studies and ultrasound imaging of the nerve in the anatomic distribution of melorheostosis. We found sensory deficits in approximately 77% of patients, with evidence of focal nerve entrapment in five patients. All patients reported pain; 53% of patients had changes in skin overlying the affected bone. No significant laboratory abnormalities were noted. Our findings suggest that patients with melorheostosis may benefit from a multidisciplinary team of dermatologists, neurologists, orthopedic surgeons, pain and palliative care specialists, and physical medicine and rehabilitation specialists. Future studies focused on disease management are needed. © 2019 The Authors. Published by Wiley Periodicals, Inc. on behalf of American Society for Bone and Mineral Research.

摘要

肢骨纹状肥大是一种罕见的骨发育异常,累及皮质骨过度生长,影响四肢骨骼。患者表现为疼痛、畸形、挛缩、活动范围受限和肢体肿胀。儿童及成人中均有该病的描述。我们最近在肢骨纹状肥大患者中发现了功能获得性突变的体细胞镶嵌现象。尽管在遗传学认识方面取得了这些进展,但仍没有有效的治疗方法或临床指南来帮助临床医生和患者进行疾病管理。在一项旨在更好地描述该病临床和遗传特征的研究中,我们招募了30名具有肢骨纹状肥大影像学表现且在氟代钠正电子发射断层扫描(PET)/CT上相应摄取增加的成年人。患者接受了体格检查、影像学检查和实验室评估。所有患者均进行了神经传导研究以及肢骨纹状肥大解剖分布区域神经的超声成像检查。我们发现约77%的患者存在感觉缺陷,5名患者有局灶性神经卡压的证据。所有患者均报告有疼痛;53%的患者受累骨骼上方皮肤有改变。未发现明显的实验室异常。我们的研究结果表明,肢骨纹状肥大患者可能受益于皮肤科医生、神经科医生、骨科医生、疼痛与姑息治疗专家以及物理医学与康复专家组成的多学科团队。需要开展针对疾病管理的未来研究。© 2019作者。由威利期刊公司代表美国骨与矿物质研究学会出版。

https://cdn.ncbi.nlm.nih.gov/pmc/blobs/0459/6715778/540e8d079af5/JBM4-3-na-g001.jpg

文献AI研究员

20分钟写一篇综述,助力文献阅读效率提升50倍。

立即体验

用中文搜PubMed

大模型驱动的PubMed中文搜索引擎

马上搜索

文档翻译

学术文献翻译模型,支持多种主流文档格式。

立即体验