• 文献检索
  • 文档翻译
  • 深度研究
  • 学术资讯
  • Suppr Zotero 插件Zotero 插件
  • 邀请有礼
  • 套餐&价格
  • 历史记录
应用&插件
Suppr Zotero 插件Zotero 插件浏览器插件Mac 客户端Windows 客户端微信小程序
定价
高级版会员购买积分包购买API积分包
服务
文献检索文档翻译深度研究API 文档MCP 服务
关于我们
关于 Suppr公司介绍联系我们用户协议隐私条款
关注我们

Suppr 超能文献

核心技术专利:CN118964589B侵权必究
粤ICP备2023148730 号-1Suppr @ 2026

文献检索

告别复杂PubMed语法,用中文像聊天一样搜索,搜遍4000万医学文献。AI智能推荐,让科研检索更轻松。

立即免费搜索

文件翻译

保留排版,准确专业,支持PDF/Word/PPT等文件格式,支持 12+语言互译。

免费翻译文档

深度研究

AI帮你快速写综述,25分钟生成高质量综述,智能提取关键信息,辅助科研写作。

立即免费体验

颈椎原始神经外胚层肿瘤手术病例中椎板切除术后颈椎后凸畸形的矫正

Correction of Postlaminectomy Cervical Kyphosis in an Operated Case of Cervical Spine Primitive Neuroectodermal Tumor.

作者信息

Srivastava Sudhir, Marathe Nandan, Bhosale Sunil, Gautham Sai

机构信息

Department of Orthopaedics, Seth GS Medical College and KEM Hospital, Mumbai, Maharashtra, India.

Department of Orthopedics, Seth GS Medical College and KEM Hospital, Mumbai, Maharashtra, India.

出版信息

Asian J Neurosurg. 2019 Jul-Sep;14(3):1017-1020. doi: 10.4103/ajns.AJNS_52_19.

DOI:10.4103/ajns.AJNS_52_19
PMID:31497156
原文链接:https://pmc.ncbi.nlm.nih.gov/articles/PMC6703015/
Abstract

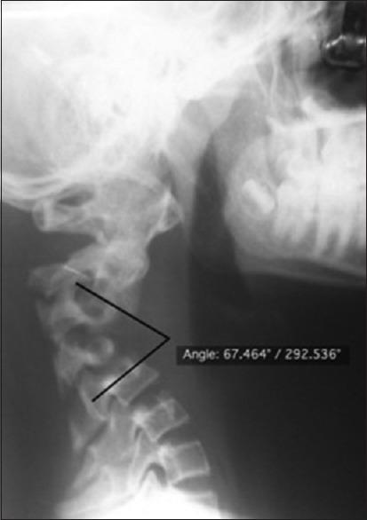
A 14-year-old boy presented with gradually worsening spastic quadriparesis and cervical kyphotic deformity as a consequence of laminectomy for tumor debulking and chemoradiotherapy done 2 years prior for cervical primitive neuroectodermal tumor. Problems to be addressed particularly to the case were a rigid kyphosis of 102.7°, poor soft-tissue coverage, internal gibbus compressing cord, perched facets, and superficial location of cord. The surgery was staged, in that the first anterior release was done with gradually increasing traction to correct the kyphosis progressively. Posterior instrumentation was done in the second stage. Finally, anterior reconstruction with tricortical iliac bone grafting was done. The patient regained full power with complete union at the end of 18 months. Irradiation of tumor along with laminectomy results in loss of posterior tension band which results in progressive kyphotic deformity in children. A staged plan of surgical interventions can help in postoperative correction of deformity with circumferential union and prevention of recurrence. This article describes successful treatment of a patient with postlaminectomy cervical kyphosis with 77° of correction achieved postoperatively and also highlights the importance of anterior and posterior reconstructions to achieve a stable vertebral column.

摘要

一名14岁男孩因两年前为治疗颈椎原始神经外胚层肿瘤而进行的肿瘤减瘤椎板切除术和放化疗,出现逐渐加重的痉挛性四肢瘫和颈椎后凸畸形。该病例需要特别解决的问题包括102.7°的僵硬后凸、软组织覆盖差、内部驼背压迫脊髓、关节突高位以及脊髓位置表浅。手术分阶段进行,首先进行前路松解,逐渐增加牵引以逐步矫正后凸。第二阶段进行后路内固定。最后,进行三皮质髂骨移植的前路重建。患者在18个月结束时恢复了全部肌力,实现了完全愈合。肿瘤放疗联合椎板切除术会导致后张力带丧失,从而导致儿童出现进行性后凸畸形。分阶段的手术干预计划有助于术后通过环形愈合矫正畸形并预防复发。本文描述了一名椎板切除术后颈椎后凸患者的成功治疗,术后实现了77°的矫正,同时强调了前后路重建对于实现稳定脊柱的重要性。

https://cdn.ncbi.nlm.nih.gov/pmc/blobs/7e93/6703015/e849c1249b84/AJNS-14-1017-g007.jpg
https://cdn.ncbi.nlm.nih.gov/pmc/blobs/7e93/6703015/8aebdf730f14/AJNS-14-1017-g001.jpg
https://cdn.ncbi.nlm.nih.gov/pmc/blobs/7e93/6703015/92c29bdbc5f2/AJNS-14-1017-g002.jpg
https://cdn.ncbi.nlm.nih.gov/pmc/blobs/7e93/6703015/9812abb2c15f/AJNS-14-1017-g003.jpg
https://cdn.ncbi.nlm.nih.gov/pmc/blobs/7e93/6703015/534636e1839e/AJNS-14-1017-g004.jpg
https://cdn.ncbi.nlm.nih.gov/pmc/blobs/7e93/6703015/0fef93adf707/AJNS-14-1017-g005.jpg
https://cdn.ncbi.nlm.nih.gov/pmc/blobs/7e93/6703015/97a0cb47d56c/AJNS-14-1017-g006.jpg
https://cdn.ncbi.nlm.nih.gov/pmc/blobs/7e93/6703015/e849c1249b84/AJNS-14-1017-g007.jpg
https://cdn.ncbi.nlm.nih.gov/pmc/blobs/7e93/6703015/8aebdf730f14/AJNS-14-1017-g001.jpg
https://cdn.ncbi.nlm.nih.gov/pmc/blobs/7e93/6703015/92c29bdbc5f2/AJNS-14-1017-g002.jpg
https://cdn.ncbi.nlm.nih.gov/pmc/blobs/7e93/6703015/9812abb2c15f/AJNS-14-1017-g003.jpg
https://cdn.ncbi.nlm.nih.gov/pmc/blobs/7e93/6703015/534636e1839e/AJNS-14-1017-g004.jpg
https://cdn.ncbi.nlm.nih.gov/pmc/blobs/7e93/6703015/0fef93adf707/AJNS-14-1017-g005.jpg
https://cdn.ncbi.nlm.nih.gov/pmc/blobs/7e93/6703015/97a0cb47d56c/AJNS-14-1017-g006.jpg
https://cdn.ncbi.nlm.nih.gov/pmc/blobs/7e93/6703015/e849c1249b84/AJNS-14-1017-g007.jpg

相似文献

1
Correction of Postlaminectomy Cervical Kyphosis in an Operated Case of Cervical Spine Primitive Neuroectodermal Tumor.颈椎原始神经外胚层肿瘤手术病例中椎板切除术后颈椎后凸畸形的矫正
Asian J Neurosurg. 2019 Jul-Sep;14(3):1017-1020. doi: 10.4103/ajns.AJNS_52_19.
2
[Kyphotic deformities of the cervical spin].颈椎后凸畸形
Acta Chir Orthop Traumatol Cech. 2011;78(3):215-24.
3
[Clinical features and strategies for treatment of spinal fracture complicating ankylosing spondylitis].[强直性脊柱炎并发脊柱骨折的临床特征与治疗策略]
Zhonghua Yi Xue Za Zhi. 2007 Nov 6;87(41):2893-8.
4
[Postlaminectomy kyphosis of the cervical spine complicating spinal cord tumor in the foramen magnum].[颈椎椎板切除术后后凸畸形并发枕骨大孔区脊髓肿瘤]
No Shinkei Geka. 1994 May;22(5):481-4.
5
Surgical correction of severe cervical kyphosis in patients with neurofibromatosis Type 1.神经纤维瘤病 1 型患者严重颈椎后凸的手术矫正。
J Neurosurg Spine. 2013 Mar;18(3):274-9. doi: 10.3171/2012.11.SPINE12417. Epub 2013 Jan 4.
6
Single-stage Anterior and Posterior Fusion Surgery for Correction of Cervical Kyphotic Deformity Using Intervertebral Cages and Cervical Lateral Mass Screws: Postoperative Changes in Total Spine Sagittal Alignment in Three Cases with a Minimum Follow-up of Five Years.使用椎间融合器和颈椎侧块螺钉进行一期前后路融合手术矫正颈椎后凸畸形:3例患者术后全脊柱矢状面排列变化,最短随访5年。
Neurol Med Chir (Tokyo). 2015;55(7):599-604. doi: 10.2176/nmc.cr.2014-0263. Epub 2015 Jun 29.
7
Cervicothoracic junction kyphosis: surgical reconstruction with pedicle subtraction osteotomy and Smith-Petersen osteotomy. Presented at the 2009 Joint Spine Section Meeting. Clinical article.颈椎胸椎连接部后凸畸形:经椎弓根截骨术和 Smith-Petersen 截骨术的手术重建。2009 年脊柱联合分会会议上提出。临床文章。
J Neurosurg Spine. 2010 Dec;13(6):695-706. doi: 10.3171/2010.5.SPINE08608.
8
Analysis and prevention of spinal column deformity following cervical laminectomy. I. Pathogenetic analysis of postlaminectomy deformities.
Spine (Phila Pa 1976). 1991 May;16(5):494-502. doi: 10.1097/00007632-199105000-00002.
9
Difficulties in Treating Postirradiation Kyphosis in Adults: A Series of Five Cases.成人放射性后凸畸形的治疗难点:5例病例系列
Spine Deform. 2019 Nov;7(6):937-944. doi: 10.1016/j.jspd.2019.01.008.
10
The long-term results of anterior surgical reconstruction in patients with postlaminectomy cervical kyphosis.后路减压术后颈椎后凸畸形前路手术重建的长期疗效。
Spine J. 2010 May;10(5):380-7. doi: 10.1016/j.spinee.2010.02.006. Epub 2010 Mar 15.

引用本文的文献

1
A 540° posterior-anterior-posterior approach for 360° fused rigid severe cervical kyphosis: patient series.用于360°融合性僵硬严重颈椎后凸畸形的540°后-前-后入路:病例系列
J Neurosurg Case Lessons. 2022 Jan 17;3(3). doi: 10.3171/CASE21491.

本文引用的文献

1
Segmental pedicle screw fixation for a scoliosis patient with post-laminectomy and post-irradiation thoracic kyphoscoliosis of spinal astrocytoma.节段性椎弓根螺钉固定术治疗一名脊髓星形细胞瘤行椎板切除术后及放疗后出现胸椎后凸畸形伴脊柱侧凸的患者。
Acta Med Okayama. 2012;66(4):363-8. doi: 10.18926/AMO/48692.
2
Two-level thoracic pedicle subtraction osteotomy for progressive post-laminectomy kyphotic deformity following resection of an unusual thoracolumbar intradural extramedullary tumor.两级胸椎椎弓根截骨术治疗不寻常胸腰段硬脊膜外髓外肿瘤切除术后渐进性椎板切除后脊柱后凸畸形
J Neurosurg Pediatr. 2012 Oct;10(4):334-9. doi: 10.3171/2012.7.PEDS11526. Epub 2012 Aug 3.
3
Incidence and outcome of kyphotic deformity following laminectomy for cervical spondylotic myelopathy.
颈椎脊髓型颈椎病椎板切除术后后凸畸形的发生率及预后
J Neurosurg. 2000 Oct;93(2 Suppl):199-204. doi: 10.3171/spi.2000.93.2.0199.
4
Postlaminectomy and postirradiation kyphosis in children and adolescents.儿童和青少年椎板切除术后及放疗后脊柱后凸
Clin Orthop Relat Res. 1998 Sep(354):189-94. doi: 10.1097/00003086-199809000-00023.
5
Spinal deformity in children treated for neuroblastoma.接受神经母细胞瘤治疗的儿童脊柱畸形。
J Bone Joint Surg Am. 1981 Feb;63(2):183-93.
6
Incidence of spinal column deformity after multilevel laminectomy in children and adults.
J Neurosurg. 1982 Oct;57(4):441-5. doi: 10.3171/jns.1982.57.4.0441.
7
Biomechanics of the cervical spinal cord. Relief of contact pressure on and overstretching of the spinal cord.
Acta Radiol Diagn (Stockh). 1966 Nov;4(6):602-24. doi: 10.1177/028418516600400602.
8
Cervical kyphosis and instability following multiple laminectomies in children.儿童多次椎板切除术后的颈椎后凸畸形与不稳
J Bone Joint Surg Am. 1967 Jun;49(4):713-20.
9
The vertical stability of the cervical spine.颈椎的垂直稳定性。
Spine (Phila Pa 1976). 1988 May;13(5):447-9. doi: 10.1097/00007632-198805000-00001.