Saikia Deep Prakash, Yadav Kalpana, Pathak Dinesh C, Ramamurthy Narayan, D'Silva Ajai Lawrence, Marriappan Asok Kumar, Ramakrishnan Saravanan, Vakharia Vikram N, Chellappa Madhan Mohan, Dey Sohini
Recombinant DNA Lab, Division of Veterinary Biotechnology, Indian Veterinary Research Institute, Izatnagar, Bareilly 243 122, India.
Avian Diseases Section, Division of Pathology, Indian Veterinary Research Institute, Izatnagar, Bareilly 243 122, India.
Pathogens. 2019 Sep 10;8(3):145. doi: 10.3390/pathogens8030145.
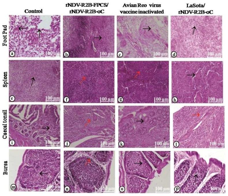
Newcastle disease (ND) and avian reovirus (ARV) infections are a serious threat to the poultry industry, which causes heavy economic losses. The mesogenic NDV strain R2B is commonly used as a booster vaccine in many Asian countries to control the disease. In this seminal work, a recombinant NDV strain R2B expressing the sigma C (σC) gene of ARV (rNDV-R2B-σC) was generated by reverse genetics, characterized in vitro and tested as a bivalent vaccine candidate in chickens. The recombinant rNDV-R2B-σC virus was attenuated as compared to the parent rNDV-R2B virus as revealed by standard pathogenicity assays. The generated vaccine candidate, rNDV-R2B-σC, could induce both humoral and cell mediated immune responses in birds and gave complete protection against virulent NDV and ARV challenges. Post-challenge virus shedding analysis revealed a drastic reduction in NDV shed, as compared to unvaccinated birds.
新城疫(ND)和禽呼肠孤病毒(ARV)感染对家禽业构成严重威胁,会造成重大经济损失。中等毒力的新城疫病毒株R2B在许多亚洲国家通常用作加强疫苗来控制该病。在这项开创性工作中,通过反向遗传学构建了一种表达禽呼肠孤病毒σC基因的重组新城疫病毒株R2B(rNDV-R2B-σC),对其进行了体外特性鉴定,并作为二价疫苗候选物在鸡中进行了测试。标准致病性试验表明,重组rNDV-R2B-σC病毒与亲本rNDV-R2B病毒相比毒力减弱。所构建的疫苗候选物rNDV-R2B-σC可在禽类中诱导体液免疫和细胞介导的免疫反应,并对强毒新城疫病毒和禽呼肠孤病毒攻击提供完全保护。攻毒后病毒排毒分析显示,与未接种疫苗的禽类相比,新城疫病毒的排毒量大幅减少。