Insights Imaging. 2019 Sep 16;10(1):89. doi: 10.1186/s13244-019-0775-x.
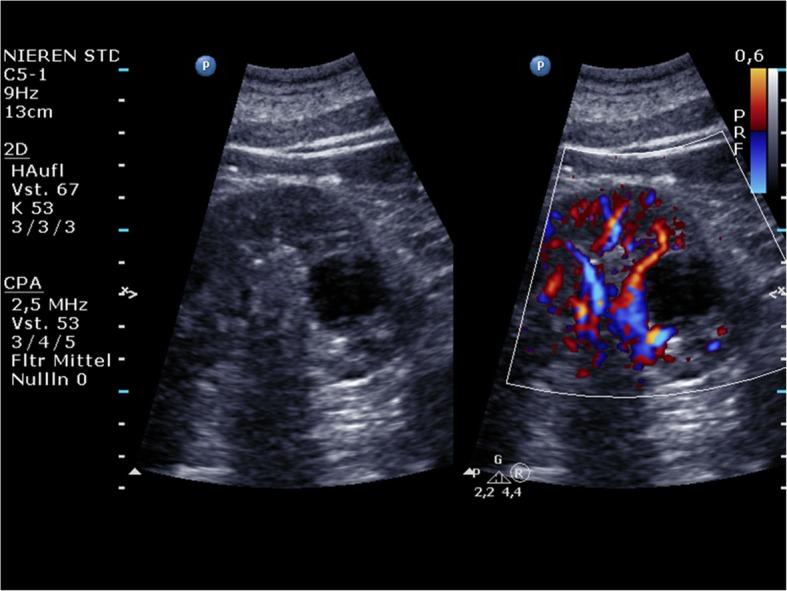
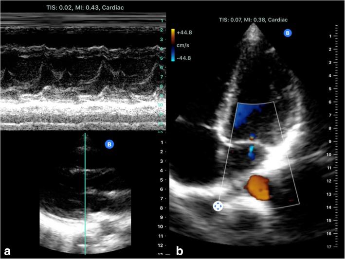
The use of portable ultrasound (US) devices has increased in recent years and the market has been flourishing. Portable US devices can be subdivided into three groups: laptop-associated devices, hand-carried US, and handheld US devices. Almost all companies we investigated offer at least one portable US device. Portable US can also be associated with the use of different US techniques such as colour Doppler US and pulse wave (PW)-Doppler. Laptop systems will also be available with contrast-enhanced US and high-end cardiac functionality.Portable US devices are effective in the hands of experienced examiners. Imaging quality is predictably inferior to so-called high-end devices.The present paper is focused on portable US devices and clinical applications describing their possible use in different organs and clinical settings, keeping in mind that patient safety must never be compromised. Hence, portable devices must undergo the same decontamination assessment and protocols as the standard equipment, especially smartphones and tablets.
近年来,便携式超声(US)设备的使用有所增加,市场蓬勃发展。便携式超声设备可细分为三类:与笔记本电脑相关的设备、手提式超声设备和手持式超声设备。我们调查的几乎所有公司都至少提供一种便携式超声设备。便携式超声还可与不同的超声技术结合使用,如彩色多普勒超声和脉冲波(PW)多普勒。笔记本电脑系统还将具备超声造影增强功能和高端心脏功能。便携式超声设备在经验丰富的检查人员手中是有效的。成像质量预计低于所谓的高端设备。本文重点关注便携式超声设备及其临床应用,描述它们在不同器官和临床环境中的可能用途,同时牢记绝不能损害患者安全。因此,便携式设备必须与标准设备,尤其是智能手机和平板电脑,接受相同的去污评估和规程。