Morgridge Institute for Research, Madison, WI, U.S.A.
Biochem J. 2019 Oct 15;476(19):2909-2926. doi: 10.1042/BCJ20190595.
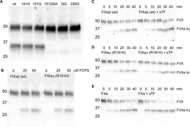
The mechanism of generation of factor VIIa, considered the initiating protease in the tissue factor-initiated extrinsic limb of blood coagulation, is obscure. Decreased levels of plasma VIIa in individuals with congenital factor IX deficiency suggest that generation of VIIa is dependent on an activation product of factor IX. Factor VIIa activates IX to IXa by a two-step removal of the activation peptide with cleavages occurring after R191 and R226. Factor IXaα, however, is IX cleaved only after R226, and not after R191. We tested the hypothesis that IXaα activates VII with mutant IX that could be cleaved only at R226 and thus generate only IXaα upon activation. Factor IXaα demonstrated 1.6% the coagulant activity of IXa in a contact activation-based assay of the intrinsic activation limb and was less efficient than IXa at activating factor X in the presence of factor VIIIa. However, IXaα and IXa had indistinguishable amidolytic activity, and, strikingly, both catalyzed the cleavage required to convert VII to VIIa with indistinguishable kinetic parameters that were augmented by phospholipids, but not by factor VIIIa or tissue factor. We propose that IXa and IXaα participate in a pathway of reciprocal activation of VII and IX that does not require a protein cofactor. Since both VIIa and activated IX are equally plausible as the initiating protease for the extrinsic limb of blood coagulation, it might be appropriate to illustrate this key step of hemostasis as currently being unknown.
VIIa 因子的生成机制尚不清楚,VIIa 因子被认为是组织因子引发的血液外凝系统的起始蛋白酶。有研究表明,先天性 IX 因子缺乏症患者的血浆 VIIa 水平降低,这表明 VIIa 的生成依赖于 IX 因子的激活产物。VIIa 通过两步去除激活肽来激活 IX 至 IXa,裂解分别发生在 R191 和 R226 之后。然而,IXaα 仅在 R226 之后被 IX 裂解,而不在 R191 之后。我们通过对只能在 R226 处裂解的突变型 IX 进行测试,验证了 IXaα 通过突变型 IX 激活 VIIa 的假说,而突变型 IX 激活后只能生成 IXaα。在基于接触激活的内源性激活系统的测定中,IXaα 的凝血活性仅为 IXa 的 1.6%,并且在存在 VIIIa 因子的情况下,其激活因子 X 的效率低于 IXa。然而,IXaα 和 IXa 的蛋白水解活性没有差异,更引人注目的是,它们都能催化 VII 转化为 VIIa 所需的裂解,其动力学参数没有差异,并且可以被磷脂但不能被 VIIIa 或组织因子增强。我们提出,IXa 和 IXaα 参与 VII 和 IX 的相互激活途径,该途径不需要蛋白辅因子。由于 VIIa 和激活的 IX 均可能作为血液外凝系统的起始蛋白酶,因此将这一关键止血步骤描述为目前尚不清楚可能更为恰当。