Suppr超能文献

右心房肿瘤经下腔静脉扩展。关于9例在体外循环下手术的病例分析

Right Atrium Tumor Extension Through the Inferior Vena Cava. Considerations About Nine Cases Operated Under Cardiopulmonary Bypass.

作者信息

Chaud Fernando, Tucci Silvio, Bassetto Solange, Reis Rodolfo Borges Dos, Rodrigues Alfredo José, Vicente Walter Vilella de Andrade, Evora Paulo Roberto Barbosa

机构信息

Universidade de São Paulo Faculdade de Medicina de Ribeirão Preto Department of Pathology Ribeirão Preto SP Brazil Department of Pathology, Faculdade de Medicina de Ribeirão Preto da Universidade de São Paulo (FMRP-USP), Ribeirão Preto, SP, Brazil.

Universidade de São Paulo Faculdade de Medicina de Ribeirão Preto Department of Surgery and Anatomy Ribeirão Preto SP Brazil Department of Surgery and Anatomy, Faculdade de Medicina de Ribeirão Preto da Universidade de São Paulo (FMRP-USP), Ribeirão Preto, SP, Brazil.

出版信息

Braz J Cardiovasc Surg. 2019 Dec 1;34(6):723-728. doi: 10.21470/1678-9741-2019-0053.

Abstract

INTRODUCTION

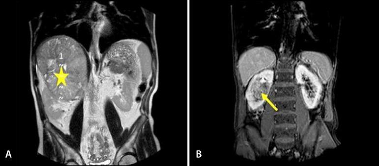
Adrenocortical and renal cell carcinomas rarely invade the right atrium (RA). These neoplasms need surgical treatment, are very aggressive and have poor prognostic and surgical outcomes.

CASE SERIES

We present a retrospective cohort of nine cases of RA invasion through the inferior vena cava (four adrenocortical carcinomas and five renal cell carcinomas). Over 13 years (2002-2014), nine patients were operated in collaboration with the team of urologists. Surgery was possible in all patients with different degrees of technical difficulty. All patients were operated considering the imaging examinations with the aid of CPB. In all reported cases (renal or suprarenal), the decision to use CPB with deep hypothermic circulatory arrest (DHCA) on surgical strategy was decided by the team of urological and cardiac surgeons.

CONCLUSION

Data retrospectively collected from patients of public hospitals reaffirm: 1) Low incidence with small published series; 2) The selected cases did not represent the whole historical casuistry of the hospital, since they were selected after the adoption of electronic documentation; 3) Demographic data and references reported in the literature were presented as tables to avoid wordiness; 4) The series highlights the propensity to invade the venous system; 5) Possible surgical treatment with the aid of CPB in collaboration with the urology team; 6) CPB with DHCA is a safe and reliable option; 7) Poor prognosis with disappointing late results, even considering the adverse effects of CPB on cancer prognosis are expected but not confirmed.

摘要

引言

肾上腺皮质癌和肾细胞癌很少侵犯右心房(RA)。这些肿瘤需要手术治疗,极具侵袭性,预后和手术结果较差。

病例系列

我们回顾性研究了9例经下腔静脉侵犯右心房的病例(4例肾上腺皮质癌和5例肾细胞癌)。在13年(2002 - 2014年)期间,9例患者与泌尿外科团队合作进行了手术。所有患者均进行了手术,手术难度各异。所有患者均借助体外循环(CPB)并参考影像学检查进行手术。在所有报道的病例(肾或肾上腺)中,关于在手术策略中使用深低温停循环(DHCA)的CPB的决定由泌尿外科和心脏外科团队做出。

结论

从公立医院患者中回顾性收集的数据再次证实:1)发病率低,已发表的系列病例少;2)所选病例并不代表该医院的全部历史病例,因为它们是在采用电子文档记录后才被挑选出来的;3)文献中报道的人口统计学数据和参考文献以表格形式呈现以避免冗长;4)该系列突出了侵犯静脉系统的倾向;5)借助CPB与泌尿外科团队合作可能进行手术治疗;6)采用DHCA的CPB是一种安全可靠的选择;7)预后较差,晚期结果令人失望,即使考虑到CPB对癌症预后的不良影响是预期的,但尚未得到证实。

https://cdn.ncbi.nlm.nih.gov/pmc/blobs/2290/6894024/d07e9e2eda1f/rbccv-34-06-0723-g01.jpg

文献AI研究员

20分钟写一篇综述,助力文献阅读效率提升50倍。

立即体验

用中文搜PubMed

大模型驱动的PubMed中文搜索引擎

马上搜索

文档翻译

学术文献翻译模型,支持多种主流文档格式。

立即体验