• 文献检索
  • 文档翻译
  • 深度研究
  • 学术资讯
  • Suppr Zotero 插件Zotero 插件
  • 邀请有礼
  • 套餐&价格
  • 历史记录
应用&插件
Suppr Zotero 插件Zotero 插件浏览器插件Mac 客户端Windows 客户端微信小程序
定价
高级版会员购买积分包购买API积分包
服务
文献检索文档翻译深度研究API 文档MCP 服务
关于我们
关于 Suppr公司介绍联系我们用户协议隐私条款
关注我们

Suppr 超能文献

核心技术专利:CN118964589B侵权必究
粤ICP备2023148730 号-1Suppr @ 2026

文献检索

告别复杂PubMed语法,用中文像聊天一样搜索,搜遍4000万医学文献。AI智能推荐,让科研检索更轻松。

立即免费搜索

文件翻译

保留排版,准确专业,支持PDF/Word/PPT等文件格式,支持 12+语言互译。

免费翻译文档

深度研究

AI帮你快速写综述,25分钟生成高质量综述,智能提取关键信息,辅助科研写作。

立即免费体验

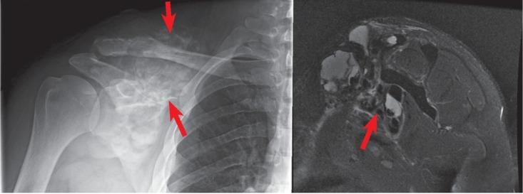
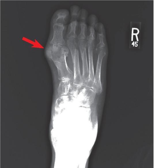
异位骨化:影像学与病理学综述

Heterotopic ossification: radiological and pathological review.

作者信息

Mujtaba Bilal, Taher Ahmed, Fiala Matthew J, Nassar Sameh, Madewell John E, Hanafy Abdelrahman K, Aslam Rizwan

机构信息

Department of Diagnostic Imaging, University of Texas MD Anderson Cancer Center, Houston, USA.

The University of Texas Health Science Center at Houston, Houston USA.

出版信息

Radiol Oncol. 2019 Sep 24;53(3):275-284. doi: 10.2478/raon-2019-0039.

DOI:10.2478/raon-2019-0039
PMID:31553710
原文链接:https://pmc.ncbi.nlm.nih.gov/articles/PMC6765162/
Abstract

Background Heterotopic Ossification (HO) is a common condition referring to ectopic bone formation in soft tissues. It has two major etiologies, acquired (more common) and genetic. The acquired form is closely related to tissue trauma. The exact pathogenesis of this disease remains unclear; however, there is ongoing research in prophylactic and therapeutic treatments that is promising. Conclusions Due to HO potential to cause disability, it is so important to differentiate it from other causes in order to establish the best possible management.

摘要

背景 异位骨化(HO)是一种常见病症,指的是软组织中异位骨的形成。它有两种主要病因,后天性(更常见)和遗传性。后天性形式与组织创伤密切相关。该疾病的确切发病机制仍不清楚;然而,目前在预防性和治疗性治疗方面的研究很有前景。结论 由于HO有导致残疾的可能性,为了制定最佳治疗方案,将其与其他病因区分开来非常重要。

https://cdn.ncbi.nlm.nih.gov/pmc/blobs/f99f/6765162/943aa5ba4259/raon-53-275-g011.jpg
https://cdn.ncbi.nlm.nih.gov/pmc/blobs/f99f/6765162/3d40a2232093/raon-53-275-g001.jpg
https://cdn.ncbi.nlm.nih.gov/pmc/blobs/f99f/6765162/0f8ad26ab37f/raon-53-275-g002.jpg
https://cdn.ncbi.nlm.nih.gov/pmc/blobs/f99f/6765162/c8a3e8a28aea/raon-53-275-g003.jpg
https://cdn.ncbi.nlm.nih.gov/pmc/blobs/f99f/6765162/1f5e8998f4d3/raon-53-275-g004.jpg
https://cdn.ncbi.nlm.nih.gov/pmc/blobs/f99f/6765162/62b9a57a141f/raon-53-275-g005.jpg
https://cdn.ncbi.nlm.nih.gov/pmc/blobs/f99f/6765162/3f1b5a7c94f4/raon-53-275-g006.jpg
https://cdn.ncbi.nlm.nih.gov/pmc/blobs/f99f/6765162/015cc2490818/raon-53-275-g007.jpg
https://cdn.ncbi.nlm.nih.gov/pmc/blobs/f99f/6765162/e83acf80d852/raon-53-275-g008.jpg
https://cdn.ncbi.nlm.nih.gov/pmc/blobs/f99f/6765162/bac82f0bc3a7/raon-53-275-g009.jpg
https://cdn.ncbi.nlm.nih.gov/pmc/blobs/f99f/6765162/8c3fb3d36b01/raon-53-275-g010.jpg
https://cdn.ncbi.nlm.nih.gov/pmc/blobs/f99f/6765162/943aa5ba4259/raon-53-275-g011.jpg
https://cdn.ncbi.nlm.nih.gov/pmc/blobs/f99f/6765162/3d40a2232093/raon-53-275-g001.jpg
https://cdn.ncbi.nlm.nih.gov/pmc/blobs/f99f/6765162/0f8ad26ab37f/raon-53-275-g002.jpg
https://cdn.ncbi.nlm.nih.gov/pmc/blobs/f99f/6765162/c8a3e8a28aea/raon-53-275-g003.jpg
https://cdn.ncbi.nlm.nih.gov/pmc/blobs/f99f/6765162/1f5e8998f4d3/raon-53-275-g004.jpg
https://cdn.ncbi.nlm.nih.gov/pmc/blobs/f99f/6765162/62b9a57a141f/raon-53-275-g005.jpg
https://cdn.ncbi.nlm.nih.gov/pmc/blobs/f99f/6765162/3f1b5a7c94f4/raon-53-275-g006.jpg
https://cdn.ncbi.nlm.nih.gov/pmc/blobs/f99f/6765162/015cc2490818/raon-53-275-g007.jpg
https://cdn.ncbi.nlm.nih.gov/pmc/blobs/f99f/6765162/e83acf80d852/raon-53-275-g008.jpg
https://cdn.ncbi.nlm.nih.gov/pmc/blobs/f99f/6765162/bac82f0bc3a7/raon-53-275-g009.jpg
https://cdn.ncbi.nlm.nih.gov/pmc/blobs/f99f/6765162/8c3fb3d36b01/raon-53-275-g010.jpg
https://cdn.ncbi.nlm.nih.gov/pmc/blobs/f99f/6765162/943aa5ba4259/raon-53-275-g011.jpg

相似文献

1
Heterotopic ossification: radiological and pathological review.异位骨化:影像学与病理学综述
Radiol Oncol. 2019 Sep 24;53(3):275-284. doi: 10.2478/raon-2019-0039.
2
Thallium-201 accumulation in myositis ossificans and in juxta-articular ossification.铊-201在骨化性肌炎和关节周围骨化中的蓄积。
J Nucl Med. 1995 Dec;36(12):2239-42.
3
[Diagnosis of calcified deposits in soft tissues].[软组织中钙化沉积物的诊断]
Ann Radiol (Paris). 1997;40(4):207-14.
4
Heterotopic ossification: a review.异位骨化:综述
Skeletal Radiol. 2005 Oct;34(10):609-19. doi: 10.1007/s00256-005-0958-z. Epub 2005 Aug 25.
5
Heterotopic Ossification in Mouse Models of Fibrodysplasia Ossificans Progressiva.进行性骨化性纤维发育不良小鼠模型中的异位骨化
Methods Mol Biol. 2019;1891:247-255. doi: 10.1007/978-1-4939-8904-1_18.
6
Fibrodysplasia ossificans progressiva: a current review of imaging findings.进行性骨化性纤维发育不良:影像学表现的当前综述
Skeletal Radiol. 2018 Aug;47(8):1043-1050. doi: 10.1007/s00256-018-2889-5. Epub 2018 Feb 14.
7
Myositis ossificans traumatica of the masseter muscle: review of the literature and report of two additional cases.咬肌创伤性骨化性肌炎:文献综述及另外两例报告
Oral Surg Oral Med Oral Pathol Oral Radiol Endod. 1997 Dec;84(6):703-7. doi: 10.1016/s1079-2104(97)90376-0.
8
Soft tissue mineralization: roentgen analysis.软组织矿化:X线分析
Curr Probl Diagn Radiol. 1986 May-Jun;15(3):161-240. doi: 10.1016/0363-0188(86)90003-4.
9
Heterotopic ossification: a review.异位骨化:综述
J Rehabil Med. 2005 May;37(3):129-36. doi: 10.1080/16501970510027628.
10
Imaging assessment of fibrodysplasia ossificans progressiva: Qualitative, quantitative and questionable.纤维性骨发育不良进展性的影像学评估:定性、定量和可疑。
Bone. 2018 Apr;109:147-152. doi: 10.1016/j.bone.2017.08.011. Epub 2017 Aug 16.

引用本文的文献

1
Periprosthetic joint infection and heterotopic ossification after total hip arthroplasty: systematic review and meta-analysis.全髋关节置换术后假体周围关节感染与异位骨化:系统评价与荟萃分析
BMC Musculoskelet Disord. 2025 Aug 8;26(1):768. doi: 10.1186/s12891-025-09045-5.
2
Oral Citrate Supplementation Mitigates Age-Associated Pathologic Intervertebral Disc Calcification in LG/J Mice.口服柠檬酸盐补充可减轻LG/J小鼠与年龄相关的病理性椎间盘钙化。
Aging Cell. 2025 May;24(5):e14504. doi: 10.1111/acel.14504. Epub 2025 Feb 11.
3
Pseudotumor in total knee revision arthroplasty resembling heterotopic ossification: A case report.
全膝关节翻修术中类似异位骨化的假肿瘤:一例报告
Int J Surg Case Rep. 2024 Nov;124:110479. doi: 10.1016/j.ijscr.2024.110479. Epub 2024 Oct 20.
4
Myositis ossificans circumscripta of the thigh: A pediatric case report.大腿局限性骨化性肌炎:一例儿科病例报告。
Radiol Case Rep. 2024 Sep 27;19(12):6547-6554. doi: 10.1016/j.radcr.2024.08.160. eCollection 2024 Dec.
5
Oral citrate supplementation mitigates age-associated pathological intervertebral disc calcification in LG/J mice.口服柠檬酸盐补充剂可减轻LG/J小鼠中与年龄相关的病理性椎间盘钙化。
bioRxiv. 2024 Jul 19:2024.07.17.604008. doi: 10.1101/2024.07.17.604008.
6
Excision of Intra-articular Knee Heterotopic Ossification Using a 70° Arthroscope.使用70°关节镜切除膝关节内异位骨化
Case Rep Orthop. 2024 Jun 6;2024:9998388. doi: 10.1155/2024/9998388. eCollection 2024.
7
Case report: Focal heterotopic ossification in paravertebral muscles as a cause of neurogenic lameness in a dog.病例报告:椎旁肌肉局灶性异位骨化作为犬神经源性跛行的一个原因
Front Vet Sci. 2024 May 23;11:1335175. doi: 10.3389/fvets.2024.1335175. eCollection 2024.
8
Heterotopic ossification following COVID-19 infections: systematic literature review of case reports and case series.COVID-19 感染后异位骨化:病例报告和病例系列的系统文献回顾。
BMC Musculoskelet Disord. 2024 May 29;25(1):421. doi: 10.1186/s12891-024-07537-4.
9
Ossification of Bilateral Sacrotuberous Ligaments: Two Cases Report and Literature Review.双侧骶结节韧带骨化:两例报告并文献复习。
Orthop Surg. 2024 Jun;16(6):1502-1507. doi: 10.1111/os.14062. Epub 2024 Apr 14.
10
Nontraumatic Myositis Ossificans After Spontaneous Subarachnoid Hemorrhage: A Case Report.自发性蛛网膜下腔出血后非创伤性骨化性肌炎:一例报告
Brain Neurorehabil. 2024 Mar 25;17(1):e9. doi: 10.12786/bn.2024.17.e9. eCollection 2024 Mar.