Suppr超能文献

原发灶和转移灶均存在突变的胆囊癌:一例报告。

Gallbladder cancer harboring mutation on the primary and metastatic site: A case report.

作者信息

Inagaki Chiaki, Maeda Daichi, Kimura Akie, Otsuru Toru, Iwagami Yoshifumi, Nishida Naohiro, Sakai Daisuke, Shitotsuki Ryo, Yachida Shinichi, Doki Yuichiro, Satoh Taroh

机构信息

Department of Frontier Science for Cancer and Chemotherapy, Osaka University Graduate School of Medicine, Suita 5650871, Osaka, Japan.

Department of Clinical Genomics, Osaka University Graduate School of Medicine, Suita 5650871, Osaka, Japan.

出版信息

World J Gastrointest Oncol. 2019 Sep 15;11(9):761-767. doi: 10.4251/wjgo.v11.i9.761.

Abstract

BACKGROUND

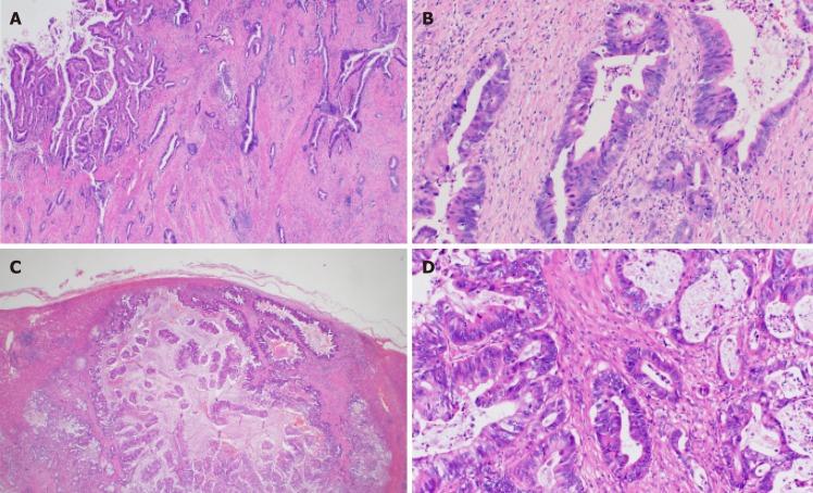
Bile duct cancer constitutes gallbladder cancer (GBC), intrahepatic cholangiocarcinoma (ICA), and extrahepatic cholangiocarcinoma (ECA). These three entities show morphological and immunohistochemical resemblance so that it is difficult to differentiate between primary ICA and liver metastasis of GBC, which sometimes becomes a point of discussion in clinical practice. Although these cancers demonstrate significant differences in their mutational landscape, several reports demonstrated shared genomic alteration in paired primary and metastatic site aids in distinguishing metastatic recurrence from second primary cancers.

CASE SUMMARY

We present a 73-year-old female patient who underwent curative resection for GBC harboring epidermal growth factor receptor 2 (ERBB2) activating mutation on next-generation sequencing (NGS)-based genomic testing. One year later, a hepatic lesion was observed on follow-up imaging and she underwent surgical resection for a pathological diagnosis. The histological findings of the hepatic lesion were similar to those of the primary lesion. Additionally, using NGS panel testing, the hepatic lesion was found to have activating mutation, which is the identical mutation detected in the sequencing result of the primary site. ERBB2 activating mutation occurs more frequently in GBC than ICA and ECA. Therefore, in the present case, we think this molecular finding potentiated the diagnosis of the liver mass toward a metastatic recurrence. Additionally, this patient underwent -targeted treatment with lapatinib in combination with capecitabin and obtained clinical benefit.

CONCLUSION

This case illustrated NGS panel usefulness in distinguishing GBC recurrence from second primary cancer and -targeted agent efficacy on mutated GBC.

摘要

背景

胆管癌包括胆囊癌(GBC)、肝内胆管癌(ICA)和肝外胆管癌(ECA)。这三种实体在形态学和免疫组化方面存在相似性,因此难以区分原发性ICA和GBC的肝转移,这有时会成为临床实践中的一个讨论点。尽管这些癌症在其突变图谱上存在显著差异,但一些报告表明,配对的原发和转移部位的共享基因组改变有助于区分转移性复发和第二原发性癌症。

病例摘要

我们报告一名73岁女性患者,其在基于下一代测序(NGS)的基因组检测中发现携带表皮生长因子受体2(ERBB2)激活突变的GBC并接受了根治性切除。一年后,随访影像检查发现肝脏有病变,她接受了手术切除以进行病理诊断。肝脏病变的组织学表现与原发病变相似。此外,通过NGS panel检测,发现肝脏病变具有激活突变,这与原发部位测序结果中检测到的突变相同。ERBB2激活突变在GBC中比在ICA和ECA中更频繁发生。因此,在本病例中,我们认为这一分子发现有助于将肝脏肿块的诊断倾向于转移性复发。此外,该患者接受了拉帕替尼联合卡培他滨的靶向治疗并获得了临床益处。

结论

本病例说明了NGS panel在区分GBC复发和第二原发性癌症方面的有用性以及靶向药物对ERBB2突变GBC的疗效。

https://cdn.ncbi.nlm.nih.gov/pmc/blobs/faa6/6755105/3658be86bb37/WJGO-11-761-g001.jpg

文献AI研究员

20分钟写一篇综述,助力文献阅读效率提升50倍。

立即体验

用中文搜PubMed

大模型驱动的PubMed中文搜索引擎

马上搜索

文档翻译

学术文献翻译模型,支持多种主流文档格式。

立即体验