Suppr超能文献

累及胸膜的脊柱巨大良性纤维组织细胞瘤的治疗:1例报告

Management of giant benign fibrous histiocytoma in the spinal region with pleural involvement: A case report.

作者信息

Liu Shuzhong, Zhou Xi, Song An, Huo Zhen, Yao Siyuan, Wang Yipeng, Liu Yong

机构信息

Department of Orthopaedic Surgery.

Department of Endocrinology, Key Laboratory of Endocrinology, National Health and Family Planning Commission.

出版信息

Medicine (Baltimore). 2019 Sep;98(39):e17144. doi: 10.1097/MD.0000000000017144.

Abstract

RATIONALE

Benign fibrous histiocytoma with pleural involvement in spinal region is a highly unusual disease with no standard curative managements yet. The objective of this study is to report an extremely rare case of a giant benign fibrous histiocytoma with pleural involvement in spinal region successfully operated by posterior spinal surgery. The management of these unique cases has yet to be well-documented.

PATIENT CONCERNS

A 23-year-old man presented with a 2-month history of continuous and progressive back pain. A giant, expanding lesion of the T7 vertebral and paraspinal region with pleural involvement was identified.

DIAGNOSES

Computed tomography scan and magnetic resonance imaging of spine showed expanding lesion of the T7 vertebral and paraspinal region involving the right thoracic cavity, which presented as a solid tumor. Postoperative pathology confirmed the diagnosis of thoracic benign fibrous histiocytoma.

INTERVENTIONS

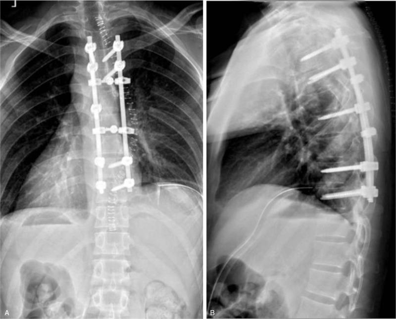
The patient underwent thoracic spinal canal decompression, complete tumor resection, pleural defect repair, and T4 to T10 internal fixation procedure via a posterior approach.

OUTCOMES

The patient's symptom improved significantly after the surgery, and the postoperative period was uneventful at the 2-year follow-up visit. There were no complications associated with the operation during the follow-up period.

LESSONS

In summary, the tumor's clinical features, imaging results, and pathological characteristics are unique. Combined efforts of specialists from orthopedics, thoracic surgery, neurosurgery, pathology, and medical oncology led to the successful diagnosis and management of this patient. Giant benign fibrous histiocytoma with pleural involvement in spinal region, although rare, should be part of the differential diagnosis when the patient presents with back pain and radiculopathy. We recommend the posterior or 1-stage anterior-posterior combined approach for complete resection of the giant thoracic benign fibrous histiocytoma when the tumor has caused severe symptoms or neurological deficits.

摘要

原理

脊柱区域伴有胸膜受累的良性纤维组织细胞瘤是一种极为罕见的疾病,尚无标准的治愈性治疗方法。本研究的目的是报告一例极为罕见的脊柱区域巨大良性纤维组织细胞瘤伴有胸膜受累的病例,该病例通过后路脊柱手术成功治疗。这些特殊病例的治疗方法尚未有充分的文献记载。

患者情况

一名23岁男性,有持续2个月的进行性背痛病史。发现T7椎体及椎旁区域有一个巨大的、不断扩大的病变,并累及胸膜。

诊断

脊柱计算机断层扫描和磁共振成像显示T7椎体及椎旁区域有一个累及右胸腔的扩大病变,表现为实体瘤。术后病理证实为胸段良性纤维组织细胞瘤。

干预措施

患者通过后路接受了胸段椎管减压、肿瘤完整切除、胸膜缺损修复以及T4至T10内固定手术。

结果

术后患者症状明显改善,在2年的随访期内术后恢复顺利。随访期间无手术相关并发症。

经验教训

总之,该肿瘤的临床特征、影像学结果和病理特征都很独特。骨科、胸外科、神经外科以及病理科和肿瘤内科专家的共同努力使得该患者得以成功诊断和治疗。脊柱区域伴有胸膜受累的巨大良性纤维组织细胞瘤虽然罕见,但当患者出现背痛和神经根病时应作为鉴别诊断的一部分。当肿瘤引起严重症状或神经功能缺损时,我们建议采用后路或一期前后联合入路来完整切除巨大胸段良性纤维组织细胞瘤。

https://cdn.ncbi.nlm.nih.gov/pmc/blobs/55cb/6775359/709fbab58590/medi-98-e17144-g001.jpg

文献AI研究员

20分钟写一篇综述,助力文献阅读效率提升50倍。

立即体验

用中文搜PubMed

大模型驱动的PubMed中文搜索引擎

马上搜索

文档翻译

学术文献翻译模型,支持多种主流文档格式。

立即体验