• 文献检索
  • 文档翻译
  • 深度研究
  • 学术资讯
  • Suppr Zotero 插件Zotero 插件
  • 邀请有礼
  • 套餐&价格
  • 历史记录
应用&插件
Suppr Zotero 插件Zotero 插件浏览器插件Mac 客户端Windows 客户端微信小程序
定价
高级版会员购买积分包购买API积分包
服务
文献检索文档翻译深度研究API 文档MCP 服务
关于我们
关于 Suppr公司介绍联系我们用户协议隐私条款
关注我们

Suppr 超能文献

核心技术专利:CN118964589B侵权必究
粤ICP备2023148730 号-1Suppr @ 2026

文献检索

告别复杂PubMed语法,用中文像聊天一样搜索,搜遍4000万医学文献。AI智能推荐,让科研检索更轻松。

立即免费搜索

文件翻译

保留排版,准确专业,支持PDF/Word/PPT等文件格式,支持 12+语言互译。

免费翻译文档

深度研究

AI帮你快速写综述,25分钟生成高质量综述,智能提取关键信息,辅助科研写作。

立即免费体验

燕麦β-葡聚糖膳食补充剂对结肠炎的有益作用取决于其分子量。

Beneficial Effects of Oat Beta-Glucan Dietary Supplementation in Colitis Depend on its Molecular Weight.

机构信息

.Department of Dietetics, Faculty of Human Nutrition and Consumer Sciences, Warsaw University of Life Sciences, Nowoursynowska 159c, 02-776 Warsaw, Poland.

.Department of Physiological Sciences, Faculty of Veterinary Medicine, Warsaw University of Life Sciences, Nowoursynowska 159, 02-776 Warsaw, Poland.

出版信息

Molecules. 2019 Oct 5;24(19):3591. doi: 10.3390/molecules24193591.

DOI:10.3390/molecules24193591
PMID:31590413
原文链接:https://pmc.ncbi.nlm.nih.gov/articles/PMC6804032/
Abstract

BACKGROUND

Inflammatory bowel diseases are an important health problem. Therefore, the aim of the present study was to compare the impact of isolated oat beta-glucan fractions of low and high molecular weight, taken as dietary supplementation, on inflammatory markers in the colitis model.

METHODS

Two groups of Sprague-Dawley rats-control and with experimentally induced colitis-were subsequently divided into three subgroups and fed over 21 days feed supplemented with 1% of low (βGl) or high (βGh) molecular weight oat beta-glucan fraction or feed without supplementation. The level of colon inflammatory markers, cytokines, and their receptors' genes expressions and immune cells numbers were measured by ELISA, RT-PCR, and by flow cytometry methods, respectively.

RESULTS

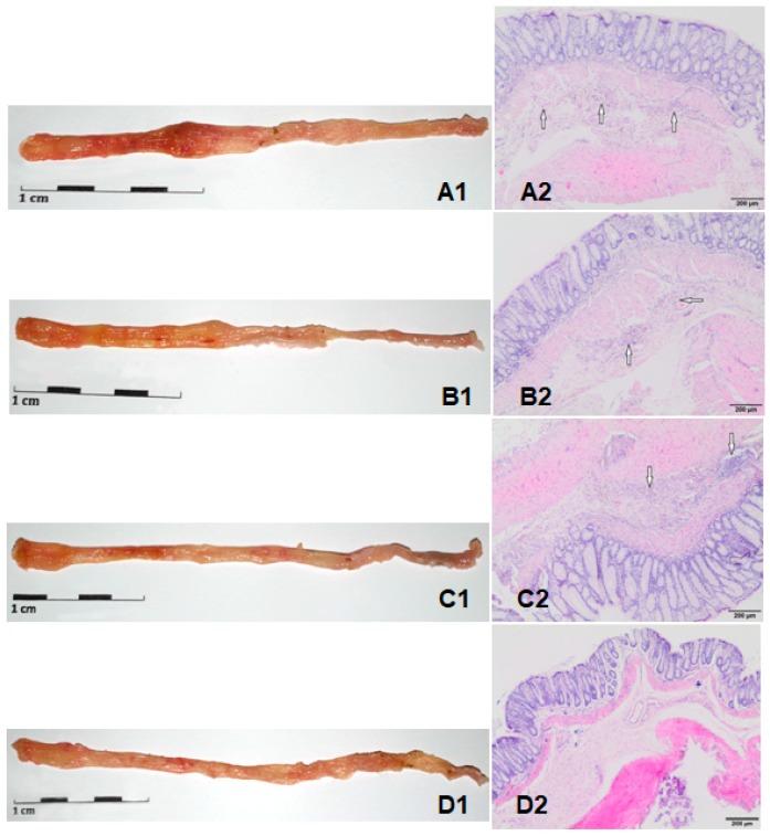
The results showed moderate inflammation affecting the colon mucosa and submucosa, with significant changes in the number of lymphocytes in the colon tissue, elevated cytokines and eicosanoid levels, as well as disruption of the main cytokine and chemokine cell signaling pathways in colitis rats. Beta-glucans supplementation caused a reverse in the percentage of lymphocytes with stronger effects of βGh and reduction of the levels of the inflammatory markers, and improvement of cytokine and chemokine signaling pathways with stronger effects of βGl supplementation.

CONCLUSIONS

The results indicate the therapeutic effect of dietary oat beta-glucan supplementation in the colitis in evident relation to the molecular weight of polymer.

摘要

背景

炎症性肠病是一个重要的健康问题。因此,本研究的目的是比较作为膳食补充剂的低和高分子量的分离燕麦β-葡聚糖对结肠炎模型中炎症标志物的影响。

方法

两组 Sprague-Dawley 大鼠-对照组和实验性诱导结肠炎组-随后分为三组,分别用补充 1%低(βGl)或高分子量(βGh)燕麦β-葡聚糖或无补充的饲料喂养 21 天。通过 ELISA、RT-PCR 和流式细胞术方法分别测量结肠炎症标志物、细胞因子及其受体基因表达和免疫细胞数量。

结果

结果表明,炎症影响结肠黏膜和黏膜下层,结肠炎大鼠结肠组织中淋巴细胞数量显著增加,细胞因子和类花生酸水平升高,以及主要细胞因子和趋化因子细胞信号通路受损。β-葡聚糖补充导致淋巴细胞的百分比发生逆转,βGh 的作用更强,炎症标志物的水平降低,细胞因子和趋化因子信号通路得到改善,βGl 补充的作用更强。

结论

结果表明,膳食燕麦β-葡聚糖补充在结肠炎中的治疗效果与聚合物的分子量有关。

https://cdn.ncbi.nlm.nih.gov/pmc/blobs/dcc4/6804032/c9b1efefb51e/molecules-24-03591-g009.jpg
https://cdn.ncbi.nlm.nih.gov/pmc/blobs/dcc4/6804032/e174780cb673/molecules-24-03591-g001.jpg
https://cdn.ncbi.nlm.nih.gov/pmc/blobs/dcc4/6804032/26665fba0daf/molecules-24-03591-g002.jpg
https://cdn.ncbi.nlm.nih.gov/pmc/blobs/dcc4/6804032/c32f2ec45b5d/molecules-24-03591-g003.jpg
https://cdn.ncbi.nlm.nih.gov/pmc/blobs/dcc4/6804032/c218c3849a69/molecules-24-03591-g004.jpg
https://cdn.ncbi.nlm.nih.gov/pmc/blobs/dcc4/6804032/28a4dde20aa3/molecules-24-03591-g005.jpg
https://cdn.ncbi.nlm.nih.gov/pmc/blobs/dcc4/6804032/c2cccbd85e98/molecules-24-03591-g006a.jpg
https://cdn.ncbi.nlm.nih.gov/pmc/blobs/dcc4/6804032/fa291c1bcb36/molecules-24-03591-g007a.jpg
https://cdn.ncbi.nlm.nih.gov/pmc/blobs/dcc4/6804032/3ad71db776f8/molecules-24-03591-g008.jpg
https://cdn.ncbi.nlm.nih.gov/pmc/blobs/dcc4/6804032/c9b1efefb51e/molecules-24-03591-g009.jpg
https://cdn.ncbi.nlm.nih.gov/pmc/blobs/dcc4/6804032/e174780cb673/molecules-24-03591-g001.jpg
https://cdn.ncbi.nlm.nih.gov/pmc/blobs/dcc4/6804032/26665fba0daf/molecules-24-03591-g002.jpg
https://cdn.ncbi.nlm.nih.gov/pmc/blobs/dcc4/6804032/c32f2ec45b5d/molecules-24-03591-g003.jpg
https://cdn.ncbi.nlm.nih.gov/pmc/blobs/dcc4/6804032/c218c3849a69/molecules-24-03591-g004.jpg
https://cdn.ncbi.nlm.nih.gov/pmc/blobs/dcc4/6804032/28a4dde20aa3/molecules-24-03591-g005.jpg
https://cdn.ncbi.nlm.nih.gov/pmc/blobs/dcc4/6804032/c2cccbd85e98/molecules-24-03591-g006a.jpg
https://cdn.ncbi.nlm.nih.gov/pmc/blobs/dcc4/6804032/fa291c1bcb36/molecules-24-03591-g007a.jpg
https://cdn.ncbi.nlm.nih.gov/pmc/blobs/dcc4/6804032/3ad71db776f8/molecules-24-03591-g008.jpg
https://cdn.ncbi.nlm.nih.gov/pmc/blobs/dcc4/6804032/c9b1efefb51e/molecules-24-03591-g009.jpg

相似文献

1
Beneficial Effects of Oat Beta-Glucan Dietary Supplementation in Colitis Depend on its Molecular Weight.燕麦β-葡聚糖膳食补充剂对结肠炎的有益作用取决于其分子量。
Molecules. 2019 Oct 5;24(19):3591. doi: 10.3390/molecules24193591.
2
Anti-Inflammatory Activity of Oat Beta-Glucans in a Crohn's Disease Model: Time- and Molar Mass-Dependent Effects.燕麦β-葡聚糖在克罗恩病模型中的抗炎活性:时间和分子量依赖性效应。
Int J Mol Sci. 2021 Apr 25;22(9):4485. doi: 10.3390/ijms22094485.
3
Effects of Dietary Oat Beta-Glucans on Colon Apoptosis and Autophagy through TLRs and Dectin-1 Signaling Pathways-Crohn's Disease Model Study.膳食燕麦β-葡聚糖通过 TLRs 和 Dectin-1 信号通路对结肠细胞凋亡和自噬的影响-克罗恩病模型研究。
Nutrients. 2021 Jan 22;13(2):321. doi: 10.3390/nu13020321.
4
Colon Expression of Chemokines and Their Receptors Depending on the Stage of and Oat Beta-Glucan Dietary Intervention-Crohn's Disease Model Study.基于 和 oat β-葡聚糖饮食干预-克罗恩病模型研究阶段的趋化因子及其受体的结肠表达。
Int J Mol Sci. 2022 Jan 26;23(3):1406. doi: 10.3390/ijms23031406.
5
Oat Beta-Glucan Dietary Intervention on Antioxidant Defense Parameters, Inflammatory Response and Angiotensin Signaling in the Testes of Rats with TNBS-Induced Colitis.燕麦β-葡聚糖膳食干预对三硝基苯磺酸诱导结肠炎大鼠睾丸抗氧化防御参数、炎症反应和血管紧张素信号的影响。
Nutrients. 2024 Aug 3;16(15):2546. doi: 10.3390/nu16152546.
6
Oral administration of oat beta-glucan preparations of different molecular weight results in regulation of genes connected with immune response in peripheral blood of rats with LPS-induced enteritis.口服不同分子量的燕麦β-葡聚糖制剂可调节脂多糖诱导的肠炎大鼠外周血中与免疫反应相关的基因。
Eur J Nutr. 2019 Oct;58(7):2859-2873. doi: 10.1007/s00394-018-1838-3. Epub 2018 Oct 4.
7
The effect of low or high molecular weight oat beta-glucans on the inflammatory and oxidative stress status in the colon of rats with LPS-induced enteritis.低分子量或高分子量燕麦β-葡聚糖对脂多糖诱导的大鼠肠炎模型结肠炎症和氧化应激状态的影响。
Food Funct. 2015 Feb;6(2):590-603. doi: 10.1039/c4fo00638k.
8
Time-Dependent Indirect Antioxidative Effects of Oat Beta-Glucans on Peripheral Blood Parameters in the Animal Model of Colon Inflammation.燕麦β-葡聚糖对结肠炎症动物模型外周血参数的时间依赖性间接抗氧化作用
Antioxidants (Basel). 2020 Apr 30;9(5):375. doi: 10.3390/antiox9050375.
9
Endo-1,3(4)-β-Glucanase-Treatment of Oat β-Glucan Enhances Fermentability by Infant Fecal Microbiota, Stimulates Dectin-1 Activation and Attenuates Inflammatory Responses in Immature Dendritic Cells.内切-1,3(4)-β-葡聚糖酶处理燕麦β-葡聚糖可增强婴儿粪便微生物群的发酵能力,刺激树突状细胞表面的 Dectin-1 受体激活,并减轻未成熟树突状细胞的炎症反应。
Nutrients. 2020 Jun 3;12(6):1660. doi: 10.3390/nu12061660.
10
Consumption of Feed Supplemented with Oat Beta-Glucan as a Chemopreventive Agent against Colon Cancerogenesis in Rats.食用添加燕麦β-葡聚糖的饲料作为大鼠结肠癌发生的化学预防剂。
Nutrients. 2024 Apr 11;16(8):1125. doi: 10.3390/nu16081125.

引用本文的文献

1
Microbiota in Mild Inflammatory Bowel Disease (IBD) Can Be Modulated by Beta-Glucans and Mannanoligosaccharides: A Randomized, Double-Blinded Study in Dogs.β-葡聚糖和甘露寡糖可调节轻度炎症性肠病(IBD)中的微生物群:一项在犬类中的随机双盲研究
Vet Sci. 2024 Aug 1;11(8):349. doi: 10.3390/vetsci11080349.
2
Oat Beta-Glucan Dietary Intervention on Antioxidant Defense Parameters, Inflammatory Response and Angiotensin Signaling in the Testes of Rats with TNBS-Induced Colitis.燕麦β-葡聚糖膳食干预对三硝基苯磺酸诱导结肠炎大鼠睾丸抗氧化防御参数、炎症反应和血管紧张素信号的影响。
Nutrients. 2024 Aug 3;16(15):2546. doi: 10.3390/nu16152546.
3

本文引用的文献

1
Consumption of β-glucans to spice up T cell treatment of tumors: a review.β-葡聚糖消费促进肿瘤 T 细胞治疗:综述。
Expert Opin Biol Ther. 2018 Oct;18(10):1023-1040. doi: 10.1080/14712598.2018.1523392.
2
Longitudinal PET/CT evaluation of TNBS-induced inflammatory bowel disease rat model.经三硝基苯磺酸诱导的炎症性肠病大鼠模型的纵向 PET/CT 评估。
Int J Pharm. 2018 Oct 5;549(1-2):335-342. doi: 10.1016/j.ijpharm.2018.08.005. Epub 2018 Aug 3.
3
Is top-down therapy a more effective alternative to conventional step-up therapy for Crohn's disease?
Translating Human and Animal Model Studies to Dogs' and Cats' Veterinary Care: Beta-Glucans Application for Skin Disease, Osteoarthritis, and Inflammatory Bowel Disease Management.
将人类和动物模型研究转化为犬猫的兽医护理:β-葡聚糖在皮肤病、骨关节炎和炎症性肠病管理中的应用。
Microorganisms. 2024 May 25;12(6):1071. doi: 10.3390/microorganisms12061071.
4
Perspectives in the Application of High, Medium, and Low Molecular Weight Oat -d-Glucans in Dietary Nutrition and Food Technology-A Short Overview.高、中、低分子量燕麦β-葡聚糖在膳食营养与食品技术中的应用前景——简要概述
Foods. 2023 Mar 7;12(6):1121. doi: 10.3390/foods12061121.
5
Moderating Gut Microbiome/Mitochondrial Axis in Oxazolone Induced Ulcerative Colitis: The Evolving Role of β-Glucan and/or, Aldose Reductase Inhibitor, Fidarestat.调节溃疡性结肠炎中肠微生物群/线粒体轴:β-葡聚糖和/或醛糖还原酶抑制剂法地司他的作用不断演变。
Int J Mol Sci. 2023 Jan 31;24(3):2711. doi: 10.3390/ijms24032711.
6
Developmental defects and behavioral changes in a diet-induced inflammation model of zebrafish.饮食诱导的斑马鱼炎症模型中的发育缺陷和行为变化。
Front Immunol. 2022 Oct 26;13:1018768. doi: 10.3389/fimmu.2022.1018768. eCollection 2022.
7
Effects of molecular weight on intestinal anti-inflammatory activities of β-D-glucan from .分子量对源自……的β-D-葡聚糖肠道抗炎活性的影响
Front Nutr. 2022 Sep 29;9:1028727. doi: 10.3389/fnut.2022.1028727. eCollection 2022.
8
A Potential Role of Plant/Macrofungi/Algae-Derived Non-Starch Polysaccharide in Colitis Curing: Review of Possible Mechanisms of Action.植物/大型真菌/藻类衍生非淀粉多糖在结肠炎治疗中的潜在作用:作用机制的可能研究进展。
Molecules. 2022 Oct 1;27(19):6467. doi: 10.3390/molecules27196467.
9
Chemoprevention effect of the Mediterranean diet on colorectal cancer: Current studies and future prospects.地中海饮食对结直肠癌的化学预防作用:当前研究与未来展望。
Front Nutr. 2022 Aug 4;9:924192. doi: 10.3389/fnut.2022.924192. eCollection 2022.
10
Colon Expression of Chemokines and Their Receptors Depending on the Stage of and Oat Beta-Glucan Dietary Intervention-Crohn's Disease Model Study.基于 和 oat β-葡聚糖饮食干预-克罗恩病模型研究阶段的趋化因子及其受体的结肠表达。
Int J Mol Sci. 2022 Jan 26;23(3):1406. doi: 10.3390/ijms23031406.
对于克罗恩病,自上而下疗法是否是比传统逐步升级疗法更有效的替代方案?
Ann Gastroenterol. 2018 Jul-Aug;31(4):413-424. doi: 10.20524/aog.2018.0253. Epub 2018 Mar 28.
4
The crucial roles of inflammatory mediators in inflammation: A review.炎症介质在炎症中的关键作用:综述
Vet World. 2018 May;11(5):627-635. doi: 10.14202/vetworld.2018.627-635. Epub 2018 May 15.
5
The Innate Immune System in the Gastrointestinal Tract: Role of Intraepithelial Lymphocytes and Lamina Propria Innate Lymphoid Cells in Intestinal Inflammation.肠道固有免疫系统:上皮内淋巴细胞和固有层固有淋巴细胞在肠道炎症中的作用。
Inflamm Bowel Dis. 2018 Jul 12;24(8):1649-1659. doi: 10.1093/ibd/izy177.
6
Comparison of two models of inflammatory bowel disease in rats.大鼠两种炎症性肠病模型的比较。
Adv Clin Exp Med. 2018 May;27(5):599-607. doi: 10.17219/acem/69134.
7
Prenylated flavonoid morusin protects against TNBS-induced colitis in rats.异戊烯基黄酮桑色素对三硝基苯磺酸诱导的大鼠结肠炎具有保护作用。
PLoS One. 2017 Aug 10;12(8):e0182464. doi: 10.1371/journal.pone.0182464. eCollection 2017.
8
β-Glucan Size Controls Dectin-1-Mediated Immune Responses in Human Dendritic Cells by Regulating IL-1β Production.β-葡聚糖大小通过调节白细胞介素-1β的产生来控制人树突状细胞中脱噬素-1介导的免疫反应。
Front Immunol. 2017 Jul 7;8:791. doi: 10.3389/fimmu.2017.00791. eCollection 2017.
9
Prevent Effects of Lactobacillus Fermentum HY01 on Dextran Sulfate Sodium-Induced Colitis in Mice.发酵乳杆菌HY01对葡聚糖硫酸钠诱导的小鼠结肠炎的预防作用
Nutrients. 2017 May 25;9(6):545. doi: 10.3390/nu9060545.
10
Oral administration of Lentinus edodes β-glucans ameliorates DSS-induced ulcerative colitis in mice via MAPK-Elk-1 and MAPK-PPARγ pathways.香菇β-葡聚糖通过 MAPK-Elk-1 和 MAPK-PPARγ 通路改善 DSS 诱导的小鼠溃疡性结肠炎。
Food Funct. 2016 Nov 9;7(11):4614-4627. doi: 10.1039/c6fo01043a.