• 文献检索
  • 文档翻译
  • 深度研究
  • 学术资讯
  • Suppr Zotero 插件Zotero 插件
  • 邀请有礼
  • 套餐&价格
  • 历史记录
应用&插件
Suppr Zotero 插件Zotero 插件浏览器插件Mac 客户端Windows 客户端微信小程序
定价
高级版会员购买积分包购买API积分包
服务
文献检索文档翻译深度研究API 文档MCP 服务
关于我们
关于 Suppr公司介绍联系我们用户协议隐私条款
关注我们

Suppr 超能文献

核心技术专利:CN118964589B侵权必究
粤ICP备2023148730 号-1Suppr @ 2026

文献检索

告别复杂PubMed语法,用中文像聊天一样搜索,搜遍4000万医学文献。AI智能推荐,让科研检索更轻松。

立即免费搜索

文件翻译

保留排版,准确专业,支持PDF/Word/PPT等文件格式,支持 12+语言互译。

免费翻译文档

深度研究

AI帮你快速写综述,25分钟生成高质量综述,智能提取关键信息,辅助科研写作。

立即免费体验

基于直线加速器的前列腺癌虚拟近距离放射治疗(BOOSTER)前瞻性剂量递增研究结果;前列腺癌的虚拟高剂量率近距离放射治疗

Results of a Prospective Dose Escalation Study of Linear Accelerator-Based Virtual Brachytherapy (BOOSTER) for Prostate Cancer; Virtual HDR Brachytherapy for Prostate Cancer.

作者信息

Eade Thomas, Hruby George, Booth Jeremy, Bromley Regina, Guo Lesley, O'Toole Andrew, Le Andrew, Wu Kenny, Whitaker May, Rasiah Krishan, Chalasani Venu, Vass Justin, Kwong Carolyn, Atyeo John, Kneebone Andrew

机构信息

Department of Radiation Oncology Royal North Shore Hospital, St. Leonards, New South Wales, Australia.

Sydney Medical School, University of Sydney, Sydney, Australia.

出版信息

Adv Radiat Oncol. 2019 Apr 11;4(4):623-630. doi: 10.1016/j.adro.2019.03.015. eCollection 2019 Oct-Dec.

DOI:10.1016/j.adro.2019.03.015
PMID:31673655
原文链接:https://pmc.ncbi.nlm.nih.gov/articles/PMC6817545/
Abstract

PURPOSE

To demonstrate feasibility and toxicity of linear accelerator-based stereotactic radiation therapy boost (SBRT) for prostate cancer, mimicking a high-dose-rate brachytherapy boost.

METHODS AND MATERIALS

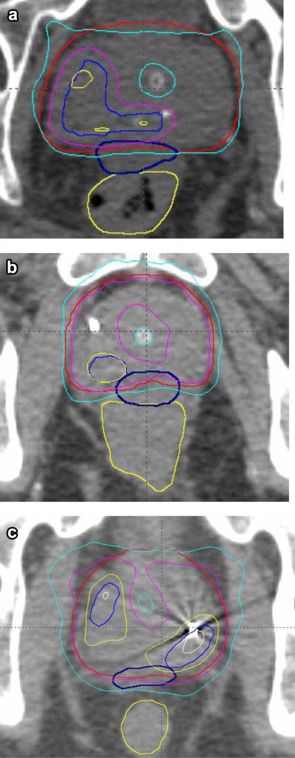
A phase 1 sequential dose escalation study of SBRT compared 20 Gy, 22 Gy, and 24 Gy to the prostate and 25 Gy, 27.5 Gy, and 30 Gy to the gross tumor volume in 2 fractions, combined with 46 Gy in 23 fractions of external beam radiation. Feasibility of dose escalation (volume receiving 125% and 150% of the dose) while meeting organ-at-risk dose constraints, grade 2 acute and late gastrointestinal and genitourinary toxicity, and freedom from biochemical failure were secondary endpoints.

RESULTS

Thirty-six men with intermediate- and high-risk prostate cancer were enrolled with a median follow-up of 24 months. Sixty-four percent of patients had high-risk features. Nine men were enrolled to dose level 1, 6 to level 2, and 6 to level 3. Another 15 patients were treated at dose level 3 on the continuation study. Dose level 3 achieved superior 125% (23.75 Gy) and 150% (28.5 Gy) dose compared to dose levels 1 and 2, with minimal differences in organ-at-risk doses. Kaplan-Meier estimate of freedom from biochemical failure at 3 years was 93.3%. There were no late grade 2 or 3 gastrointestinal events. The late grade 2 genitourinary toxicity at 2 years was 19.3%. Prostate-specific membrane antigen positron emission tomography was performed at 2 years with no local recurrences.

CONCLUSIONS

We have shown that a linear accelerator-based SBRT boost for prostate cancer is feasible and can achieve doses comparable to high-dose-rate boost up to the 150% isodose volumes. Rectal, bladder, and urethral doses remained low, and long-term toxicity was the same as or better than previous reports from high-dose-rate or low-dose-rate boost protocols.

摘要

目的

证明基于直线加速器的立体定向放射治疗增敏(SBRT)用于前列腺癌的可行性和毒性,模拟高剂量率近距离放射治疗增敏。

方法和材料

一项SBRT的1期序贯剂量递增研究比较了20Gy、22Gy和24Gy给予前列腺,以及25Gy、27.5Gy和30Gy给予大体肿瘤体积,分2次给予,联合外照射46Gy分23次给予。在满足危及器官剂量限制的同时剂量递增(接受125%和150%剂量的体积)的可行性、2级急性和晚期胃肠道及泌尿生殖系统毒性以及无生化失败是次要终点。

结果

36例中高危前列腺癌男性入组,中位随访24个月。64%的患者具有高危特征。9例男性入组剂量水平1,6例入组剂量水平2,6例入组剂量水平3。另外15例患者在延续研究中接受剂量水平3的治疗。与剂量水平1和2相比,剂量水平3实现了更高的125%(23.75Gy)和150%(28.5Gy)剂量,危及器官剂量差异最小。3年时无生化失败的Kaplan-Meier估计值为93.3%。无晚期2级或3级胃肠道事件。2年时晚期2级泌尿生殖系统毒性为19.3%。2年时进行前列腺特异性膜抗原正电子发射断层扫描,无局部复发。

结论

我们已经表明,基于直线加速器的SBRT用于前列腺癌增敏是可行的,并且可以达到与高剂量率增敏相当的剂量,直至150%等剂量体积。直肠、膀胱和尿道剂量保持较低,长期毒性与高剂量率或低剂量率增敏方案的既往报告相同或更好。

https://cdn.ncbi.nlm.nih.gov/pmc/blobs/98ab/6817545/93928f9c1e1f/gr5.jpg
https://cdn.ncbi.nlm.nih.gov/pmc/blobs/98ab/6817545/9ed10e0b31ca/gr1.jpg
https://cdn.ncbi.nlm.nih.gov/pmc/blobs/98ab/6817545/e47adb8220e8/gr2.jpg
https://cdn.ncbi.nlm.nih.gov/pmc/blobs/98ab/6817545/d81e29900e63/gr3.jpg
https://cdn.ncbi.nlm.nih.gov/pmc/blobs/98ab/6817545/db8220357a38/gr4.jpg
https://cdn.ncbi.nlm.nih.gov/pmc/blobs/98ab/6817545/93928f9c1e1f/gr5.jpg
https://cdn.ncbi.nlm.nih.gov/pmc/blobs/98ab/6817545/9ed10e0b31ca/gr1.jpg
https://cdn.ncbi.nlm.nih.gov/pmc/blobs/98ab/6817545/e47adb8220e8/gr2.jpg
https://cdn.ncbi.nlm.nih.gov/pmc/blobs/98ab/6817545/d81e29900e63/gr3.jpg
https://cdn.ncbi.nlm.nih.gov/pmc/blobs/98ab/6817545/db8220357a38/gr4.jpg
https://cdn.ncbi.nlm.nih.gov/pmc/blobs/98ab/6817545/93928f9c1e1f/gr5.jpg

相似文献

1
Results of a Prospective Dose Escalation Study of Linear Accelerator-Based Virtual Brachytherapy (BOOSTER) for Prostate Cancer; Virtual HDR Brachytherapy for Prostate Cancer.基于直线加速器的前列腺癌虚拟近距离放射治疗(BOOSTER)前瞻性剂量递增研究结果;前列腺癌的虚拟高剂量率近距离放射治疗
Adv Radiat Oncol. 2019 Apr 11;4(4):623-630. doi: 10.1016/j.adro.2019.03.015. eCollection 2019 Oct-Dec.
2
Acute genitourinary toxicity after high-dose-rate (HDR) brachytherapy combined with hypofractionated external-beam radiation therapy for localized prostate cancer: correlation between the urethral dose in HDR brachytherapy and the severity of acute genitourinary toxicity.高剂量率(HDR)近距离放射治疗联合低分割外照射放疗治疗局限性前列腺癌后的急性泌尿生殖系统毒性:HDR近距离放射治疗中尿道剂量与急性泌尿生殖系统毒性严重程度之间的相关性
Int J Radiat Oncol Biol Phys. 2005 Oct 1;63(2):463-71. doi: 10.1016/j.ijrobp.2004.11.041.
3
Stereotactic Body Radiation Therapy Boost for Intermediate-Risk Prostate Cancer: A Phase 1 Dose-Escalation Study.立体定向体部放射治疗中危前列腺癌的增敏作用:1 期剂量递增研究。
Int J Radiat Oncol Biol Phys. 2019 Aug 1;104(5):1066-1073. doi: 10.1016/j.ijrobp.2019.04.006. Epub 2019 Apr 16.
4
Early outcomes of high-dose-rate brachytherapy combined with ultra-hypofractionated radiation in higher-risk prostate cancer.高剂量率近距离放疗联合超分割放疗治疗高危前列腺癌的早期结果。
Brachytherapy. 2021 Nov-Dec;20(6):1099-1106. doi: 10.1016/j.brachy.2021.08.006. Epub 2021 Sep 26.
5
Stereotactic Body Radiation Therapy and High-Dose-Rate Brachytherapy Boost in Combination With Intensity Modulated Radiation Therapy for Localized Prostate Cancer: A Single-Institution Propensity Score Matched Analysis.立体定向体部放射治疗和高剂量率近距离放疗联合调强放疗治疗局限性前列腺癌:单机构倾向评分匹配分析。
Int J Radiat Oncol Biol Phys. 2021 Jun 1;110(2):429-437. doi: 10.1016/j.ijrobp.2020.12.034. Epub 2020 Dec 30.
6
Long term results of a prospective dose escalation phase-II trial: interstitial pulsed-dose-rate brachytherapy as boost for intermediate- and high-risk prostate cancer.前瞻性剂量递增 II 期试验的长期结果:间质脉冲剂量率近距离放疗作为中高危前列腺癌的增敏剂。
Radiother Oncol. 2012 Aug;104(2):181-6. doi: 10.1016/j.radonc.2012.07.003. Epub 2012 Jul 30.
7
Tumor-targeted dose escalation for localized prostate cancer using MR-guided HDR brachytherapy (HDR) or integrated VMAT (IB-VMAT) boost: Dosimetry, toxicity and health related quality of life.使用 MRI 引导的 HDR 近距离治疗(HDR)或整合的 VMAT(IB-VMAT)推量进行局部前列腺癌的肿瘤靶向剂量递增:剂量学、毒性和健康相关生活质量。
Radiother Oncol. 2020 Aug;149:240-245. doi: 10.1016/j.radonc.2020.05.029. Epub 2020 May 22.
8
Results of multiparametric transrectal ultrasound-based focal high-dose-rate dose escalation combined with supplementary external beam irradiation in intermediate- and high-risk localized prostate cancer patients.基于多参数经直肠超声的局灶性高剂量率剂量递增联合辅助外照射治疗中高危局限性前列腺癌患者的结果
Brachytherapy. 2017 Mar-Apr;16(2):277-281. doi: 10.1016/j.brachy.2016.11.005. Epub 2016 Dec 7.
9
Stereotactic body radiotherapy as monotherapy or post-external beam radiotherapy boost for prostate cancer: technique, early toxicity, and PSA response.立体定向体部放疗作为前列腺癌的单一疗法或外照射放疗后的增敏治疗:技术、早期毒性和 PSA 反应。
Int J Radiat Oncol Biol Phys. 2012 Jan 1;82(1):228-34. doi: 10.1016/j.ijrobp.2010.10.026. Epub 2010 Dec 22.
10
Acute genitourinary toxicity after high dose rate (HDR) brachytherapy combined with hypofractionated external-beam radiation therapy for localized prostate cancer: Second analysis to determine the correlation between the urethral dose in HDR brachytherapy and the severity of acute genitourinary toxicity.高剂量率(HDR)近距离放射治疗联合低分割外照射放疗治疗局限性前列腺癌后的急性泌尿生殖系统毒性:第二次分析以确定HDR近距离放射治疗中尿道剂量与急性泌尿生殖系统毒性严重程度之间的相关性。
Int J Radiat Oncol Biol Phys. 2005 Oct 1;63(2):472-8. doi: 10.1016/j.ijrobp.2005.02.015.

引用本文的文献

1
Dosimetric Clues to Addressing Urinary Toxicity Following Stereotactic Prostate Radiation Therapy.立体定向前列腺放射治疗后解决泌尿毒性的剂量学线索
Adv Radiat Oncol. 2025 Jul 3;10(9):101850. doi: 10.1016/j.adro.2025.101850. eCollection 2025 Sep.
2
A Multicenter Phase 2 Study of Ultrahypofractionated Stereotactic Boost After External Beam Radiotherapy in Intermediate-risk Prostate Carcinoma: A Very Long-term Analysis of the CKNO-PRO Trial.一项关于中危前列腺癌患者外照射放疗后超分割立体定向加量放疗的多中心2期研究:CKNO-PRO试验的长期分析
Eur Urol Open Sci. 2023 Jul 4;54:80-87. doi: 10.1016/j.euros.2023.06.003. eCollection 2023 Aug.
3

本文引用的文献

1
Long-term Outcomes of Stereotactic Body Radiotherapy for Low-Risk and Intermediate-Risk Prostate Cancer.立体定向体部放疗治疗低危和中危前列腺癌的长期疗效。
JAMA Netw Open. 2019 Feb 1;2(2):e188006. doi: 10.1001/jamanetworkopen.2018.8006.
2
Patterns of care and outcomes for men diagnosed with prostate cancer in Victoria: an update.维多利亚州前列腺癌男性患者的护理模式与治疗结果:最新情况
ANZ J Surg. 2018 Oct;88(10):1037-1042. doi: 10.1111/ans.14722. Epub 2018 Jul 25.
3
Electromagnetic-Guided MLC Tracking Radiation Therapy for Prostate Cancer Patients: Prospective Clinical Trial Results.
Virtual HDR Boost for Prostate Cancer: Rebooting a Classic Treatment Using Modern Tech.
前列腺癌的虚拟高动态范围增强:利用现代技术重启经典治疗
Cancers (Basel). 2023 Mar 28;15(7):2018. doi: 10.3390/cancers15072018.
4
Stereotactic Radiation Therapy versus Brachytherapy: Relative Strengths of Two Highly Efficient Options for the Treatment of Localized Prostate Cancer.立体定向放射治疗与近距离放射治疗:治疗局限性前列腺癌的两种高效选择的相对优势
Cancers (Basel). 2022 Apr 29;14(9):2226. doi: 10.3390/cancers14092226.
5
The value of brachytherapy in the age of advanced external beam radiotherapy: a review of the literature in terms of dosimetry.近距离放射疗法在外照射放疗时代的价值:文献中剂量学方面的综述。
Strahlenther Onkol. 2022 Feb;198(2):93-109. doi: 10.1007/s00066-021-01867-1. Epub 2021 Nov 1.
6
Extreme Hypofractionation with SBRT in Localized Prostate Cancer.局限性前列腺癌的 SBRT 超分割放疗。
Curr Oncol. 2021 Aug 3;28(4):2933-2949. doi: 10.3390/curroncol28040257.
7
Simulation of an HDR "Boost" with Stereotactic Proton versus Photon Therapy in Prostate Cancer: A Dosimetric Feasibility Study.立体定向质子疗法与光子疗法模拟高剂量率“增强”治疗前列腺癌:剂量可行性研究
Int J Part Ther. 2020 Nov 13;7(3):11-23. doi: 10.14338/IJPT-20-00029.1. eCollection 2021 Winter.
电磁引导多叶准直器跟踪放射治疗前列腺癌患者:前瞻性临床试验结果。
Int J Radiat Oncol Biol Phys. 2018 Jun 1;101(2):387-395. doi: 10.1016/j.ijrobp.2018.01.098. Epub 2018 Feb 6.
4
Standard whole prostate gland radiotherapy with and without lesion boost in prostate cancer: Toxicity in the FLAME randomized controlled trial.标准全前列腺放疗联合或不联合病灶加量放疗治疗前列腺癌:FLAME 随机对照试验中的毒性反应。
Radiother Oncol. 2018 Apr;127(1):74-80. doi: 10.1016/j.radonc.2017.12.022. Epub 2018 Jan 11.
5
Androgen Suppression Combined with Elective Nodal and Dose Escalated Radiation Therapy (the ASCENDE-RT Trial): An Analysis of Survival Endpoints for a Randomized Trial Comparing a Low-Dose-Rate Brachytherapy Boost to a Dose-Escalated External Beam Boost for High- and Intermediate-risk Prostate Cancer.雄激素抑制联合选择性淋巴结及剂量递增放射治疗(ASCENDE-RT试验):一项针对高风险和中风险前列腺癌的随机试验的生存终点分析,该试验比较了低剂量率近距离放疗增敏与剂量递增外照射增敏。
Int J Radiat Oncol Biol Phys. 2017 Jun 1;98(2):275-285. doi: 10.1016/j.ijrobp.2016.11.026. Epub 2016 Nov 24.
6
SpaceOAR Hydrogel in Dose-escalated Prostate Cancer Radiotherapy: Rectal Dosimetry and Late Toxicity.SpaceOAR水凝胶在前列腺癌剂量递增放疗中的应用:直肠剂量测定与晚期毒性
Clin Oncol (R Coll Radiol). 2016 Oct;28(10):e148-54. doi: 10.1016/j.clon.2016.05.005. Epub 2016 Jun 11.
7
Real-Time 3D Image Guidance Using a Standard LINAC: Measured Motion, Accuracy, and Precision of the First Prospective Clinical Trial of Kilovoltage Intrafraction Monitoring-Guided Gating for Prostate Cancer Radiation Therapy.基于 LINAC 的实时 3D 图像引导:首项千伏级术中实时监控引导门控前列腺癌放射治疗前瞻性临床试验的运动测量、准确性和精密度。
Int J Radiat Oncol Biol Phys. 2016 Apr 1;94(5):1015-21. doi: 10.1016/j.ijrobp.2015.10.009. Epub 2016 Mar 17.
8
High-dose-rate brachytherapy boost for prostate cancer: Outcomes and genitourinary toxicity.高剂量率近距离放射治疗对前列腺癌的强化治疗:结果与泌尿生殖系统毒性
Brachytherapy. 2015 Sep-Oct;14(5):670-6. doi: 10.1016/j.brachy.2015.04.004. Epub 2015 May 11.
9
A comparative study of quality of life in patients with localized prostate cancer treated at a single institution: stereotactic ablative radiotherapy or external beam+high dose rate brachytherapy boost.在单一机构接受治疗的局限性前列腺癌患者生活质量的比较研究:立体定向消融放疗或外照射+高剂量率近距离放疗增敏。
Radiother Oncol. 2014 Dec;113(3):404-9. doi: 10.1016/j.radonc.2014.10.013. Epub 2014 Nov 14.
10
Randomised trial of external beam radiotherapy alone or combined with high-dose-rate brachytherapy boost for localised prostate cancer.单纯外照射放疗与外照射放疗联合高剂量率近距离放疗治疗局限性前列腺癌的随机临床试验。
Radiother Oncol. 2012 May;103(2):217-22. doi: 10.1016/j.radonc.2012.01.007. Epub 2012 Feb 16.