Suppr超能文献

双酚 S 通过雌激素受体-β迅速抑制心脏功能,并以性别依赖的方式降低磷酸化兰尼碱。

Bisphenol S rapidly depresses heart function through estrogen receptor-β and decreases phospholamban phosphorylation in a sex-dependent manner.

机构信息

Department of Biomedical Sciences, University of Guelph, Guelph, ON, N1G 2W1, Canada.

出版信息

Sci Rep. 2019 Nov 4;9(1):15948. doi: 10.1038/s41598-019-52350-y.

Abstract

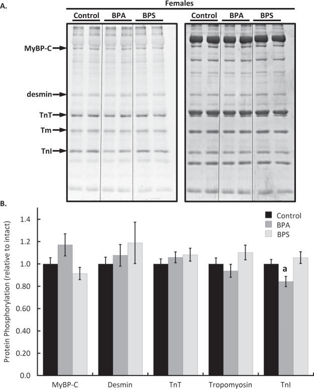
The health effects of the endocrine disruptor Bisphenol A (BPA) led to its partial replacement with Bisphenol S (BPS) in several products including food containers, toys, and thermal paper receipts. The acute effects of BPS on myocardial contractility are unknown. We perfused mouse hearts from both sexes for 15 min with physiologically relevant doses of BPS or BPA. In females BPS (1 nM) decreased left ventricular systolic pressure by 5 min, whereas BPA (1 nM) effects were delayed to 10 min. BPS effects in male mice were attenuated. In both sexes ER-β antagonism abolished the effects of BPS. Cardiac myofilament function was not impacted by BPS or BPA in either sex, although there were sex-dependent differences in troponin I phosphorylation. BPS increased phospholamban phosphorylation at S16 only in female hearts, whereas BPA reduced phosphorylation in both sexes. BPA decreased phospholamban phosphorylation at T17 in both sexes while BPS caused dephosphorylation only in females. This is the first study to compare sex differences in the acute myocardial response to physiologically relevant levels of BPS and BPA, and demonstrates a rapid ability of both to depress heart function. This study raises concerns about the safety of BPS as a replacement for BPA.

摘要

内分泌干扰物双酚 A(BPA)对健康的影响导致其在一些产品中被双酚 S(BPS)部分替代,这些产品包括食品容器、玩具和热敏纸收据。BPS 对心肌收缩力的急性影响尚不清楚。我们用生理相关剂量的 BPS 或 BPA 对来自雌雄小鼠的心脏进行了 15 分钟的灌流。在雌性小鼠中,BPS(1 nM)在 5 分钟时降低了左心室收缩压,而 BPA(1 nM)的作用延迟到 10 分钟。BPS 在雄性小鼠中的作用减弱。在两性中,雌激素受体-β拮抗剂均可消除 BPS 的作用。BPS 或 BPA 对两性的心肌肌丝功能均无影响,尽管肌钙蛋白 I 磷酸化存在性别依赖性差异。BPS 仅在雌性心脏中增加 S16 处的肌浆网磷蛋白磷酸化,而 BPA 则降低了两性的磷酸化。BPA 在两性中均降低了 T17 处的肌浆网磷蛋白磷酸化,而 BPS 仅在雌性中引起去磷酸化。这是首次比较生理相关水平的 BPS 和 BPA 对急性心肌反应的性别差异的研究,证明了两者快速降低心脏功能的能力。这项研究引发了对 BPS 作为 BPA 替代品的安全性的担忧。

https://cdn.ncbi.nlm.nih.gov/pmc/blobs/bcbb/6828810/c52c8008b1aa/41598_2019_52350_Fig1_HTML.jpg

文献AI研究员

20分钟写一篇综述,助力文献阅读效率提升50倍。

立即体验

用中文搜PubMed

大模型驱动的PubMed中文搜索引擎

马上搜索

文档翻译

学术文献翻译模型,支持多种主流文档格式。

立即体验