Suppr超能文献

经皮经腹胆囊管残端栓塞术治疗胆囊切除术后持续性胆囊管残端漏

Management of a Persistent Cystic Duct Stump Leak Following Cholecystectomy With Percutaneous Transabdominal Cystic Duct Stump Embolization.

作者信息

Brown Craig S, Sanogo Mamadou, Patel Arpan, Schulman Allison R, Raghavendran Krishnan, Georgoff Patrick E

机构信息

Department of Surgery, Section of Acute Care Surgery, University of Michigan, Ann Arbor, MI.

Department of Radiology, Section of Interventional Radiology, University of Michigan, Ann Arbor, MI.

出版信息

ACG Case Rep J. 2019 Aug 23;6(8):e00162. doi: 10.14309/crj.0000000000000162. eCollection 2019 Aug.

Abstract

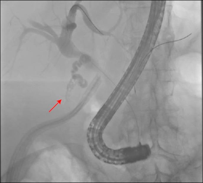
Cystic duct stump leak remains a difficult clinical problem despite advancements in endoscopic techniques. When these minimally invasive strategies fail, patients are often subject to high morbidity and mortality associated with open surgical exploration. We report the successful treatment of persistent biliary leak from the cystic duct stump following cholecystectomy using percutaneous transabdominal access of the cystic duct and coil embolization.

摘要

尽管内镜技术有所进步,但胆囊管残端漏仍是一个棘手的临床问题。当这些微创策略失败时,患者往往面临与开放手术探查相关的高发病率和死亡率。我们报告了经皮经腹进入胆囊管并进行线圈栓塞术成功治疗胆囊切除术后胆囊管残端持续性胆漏的病例。

https://cdn.ncbi.nlm.nih.gov/pmc/blobs/6d57/6791622/bf228239a9ec/ac9-6-e00162-g001.jpg

文献AI研究员

20分钟写一篇综述,助力文献阅读效率提升50倍。

立即体验

用中文搜PubMed

大模型驱动的PubMed中文搜索引擎

马上搜索

文档翻译

学术文献翻译模型,支持多种主流文档格式。

立即体验