Suppr超能文献

骶前畸胎瘤合并库拉里诺综合征内发生的腺癌和神经内分泌肿瘤:一例报告。

Adenocarcinoma and neuroendocrine tumor arising within presacral teratoma associated with Currarino syndrome: A case report.

作者信息

Chatani Shohei, Onaya Hiroaki, Kato Seiichi, Inaba Yoshitaka

机构信息

Department of Diagnostic and Interventional Radiology, Aichi Cancer Center Hospital, 1-1 Kanokoden, Chikusa-ku Nagoya 464-8681, Japan.

Department of Pathology and Molecular Diagnostics, Aichi Cancer Center Hospital, 1-1 Kanokoden, Chikusa-ku Nagoya 464-8681, Japan.

出版信息

Indian J Radiol Imaging. 2019 Jul-Sep;29(3):327-331. doi: 10.4103/ijri.IJRI_148_19. Epub 2019 Oct 30.

Abstract

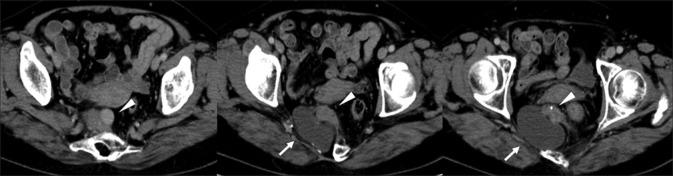
We present a case of a 59-year-old woman with a malignant tumor arising within presacral teratoma associated with Currarino syndrome (CS). A characteristic crescent-shaped sacrum was detected on preoperative image examination and the presacral mass was pathologically diagnosed as a malignant tumor associated with CS. To our knowledge, this is the first case report of presacral teratoma associated with CS coexisting with both adenocarcinoma and a neuroendocrine tumor.

摘要

我们报告一例59岁女性,其骶前畸胎瘤内出现恶性肿瘤,伴有库拉里诺综合征(CS)。术前影像检查发现特征性的新月形骶骨,骶前肿块经病理诊断为与CS相关的恶性肿瘤。据我们所知,这是首例与CS相关的骶前畸胎瘤同时合并腺癌和神经内分泌肿瘤的病例报告。

https://cdn.ncbi.nlm.nih.gov/pmc/blobs/e96c/6857249/834cf5dde743/IJRI-29-327-g001.jpg

文献AI研究员

20分钟写一篇综述,助力文献阅读效率提升50倍。

立即体验

用中文搜PubMed

大模型驱动的PubMed中文搜索引擎

马上搜索

文档翻译

学术文献翻译模型,支持多种主流文档格式。

立即体验