Graduate School of Science, The University of Tokyo, Bunkyo-ku, Tokyo, Japan.
The University Museum, The University of Tokyo, Bunkyo-ku, Tokyo, Japan.
Ann Bot. 2020 Mar 9;125(3):521-532. doi: 10.1093/aob/mcz193.
Domatia are plant structures within which organisms reside. Callicarpa saccata (Lamiaceae) is the sole myrmecophyte, or 'ant plant', that develops foliar (leaf-borne) myrmeco-domatia in this genus. In this work we examined domatium development in C. saccata to understand the developmental processes behind pouch-like domatia.
Scanning electron microscopy, sectioning and microcomputed tomography were carried out to compare the leaves of C. saccata with those of the closely related but domatia-less myrmecophyte Callicarpa subaequalis, both under cultivation without ants.
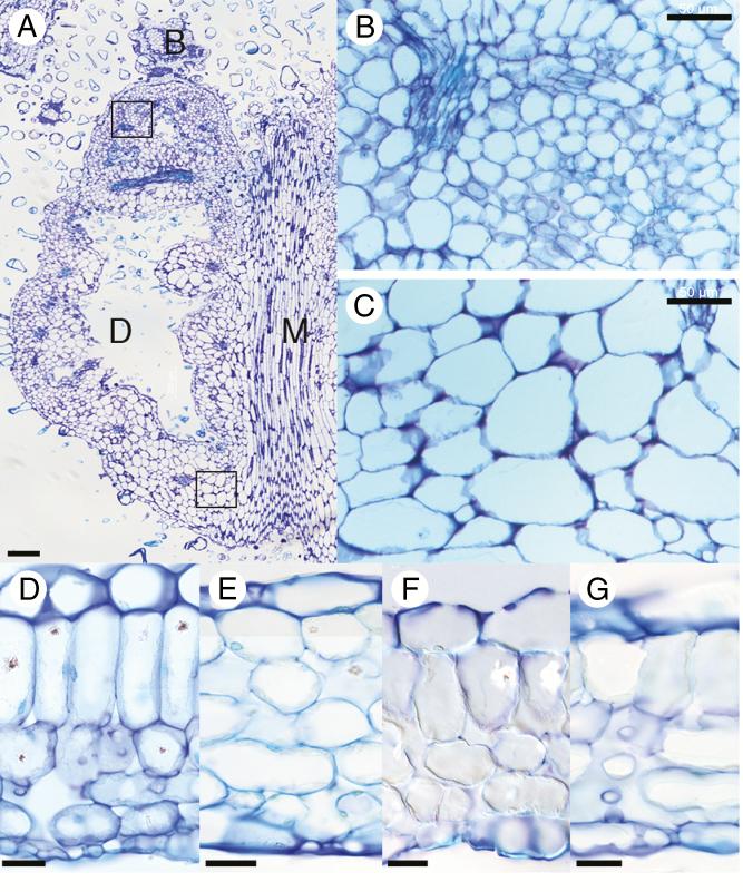
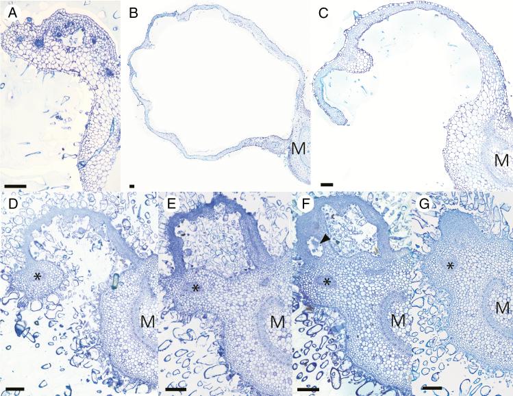
Callicarpa saccata domatia are formed as a result of excess cell proliferation at the blade/petiole junctions of leaf primordia. Blade/petiole junctions are important meristematic sites in simple leaf organogenesis. We also found that the mesophyll tissue of domatia does not clearly differentiate into palisade and spongy layers.
Rather than curling of the leaf margins, a perturbation of the normal functioning of the blade/petiole junction results in the formation of domatium tissue. Excess cell proliferation warps the shape of the blade and disturbs the development of the proximal-distal axis. This process leads to the generation of distinct structures that facilitate interaction between C. saccata and ants.
隐头花序是植物体内供生物栖息的结构。作为唯一的蚁栖植物,腺叶糯米条(唇形科)在其属内产生叶生(叶生)蚁栖隐头花序。在这项工作中,我们研究了腺叶糯米条隐头花序的发育,以了解袋状隐头花序背后的发育过程。
扫描电子显微镜、切片和微计算机断层扫描用于比较栽培条件下无蚂蚁的腺叶糯米条和近缘但无隐头花序的蚁栖植物腺叶糯米条的叶片。
腺叶糯米条隐头花序是由叶片原基的叶片/叶柄交界处的细胞过度增殖形成的。叶片/叶柄交界处是简单叶片器官发生的重要分生组织部位。我们还发现,隐头花序的叶肉组织没有明显分化为栅栏组织和海绵组织。
不是叶缘的卷曲,而是叶片/叶柄交界处正常功能的干扰导致了隐头花序组织的形成。细胞过度增殖使叶片形状扭曲,扰乱了近-远轴的发育。这个过程产生了独特的结构,促进了腺叶糯米条与蚂蚁之间的相互作用。