Suppr超能文献

瑞戈非尼治疗以急性肺转移癌性淋巴管炎为表现的直肠癌:一例报告

Efficacy of regorafenib in acute pulmonary carcinomatous lymphangitis as a manifestation of rectal cancer: A case report.

作者信息

Takeuchi Nobumichi, Koike Kumiko, Yoshida Sonomi, Fujiwara Masayuki

机构信息

Department of Medical Oncology, Ina Central Hospital, Ina, Nagano 396-8555, Japan.

Department of Clinical Pathology, Ina Central Hospital, Ina, Nagano 396-8555, Japan.

出版信息

Oncol Lett. 2019 Dec;18(6):6469-6474. doi: 10.3892/ol.2019.11043. Epub 2019 Nov 4.

Abstract

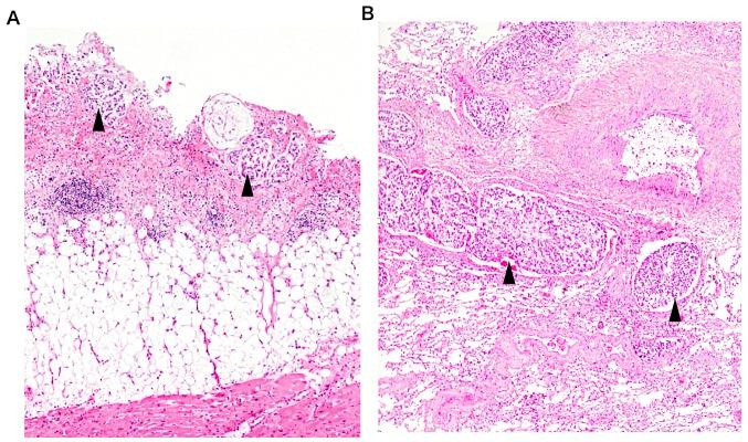
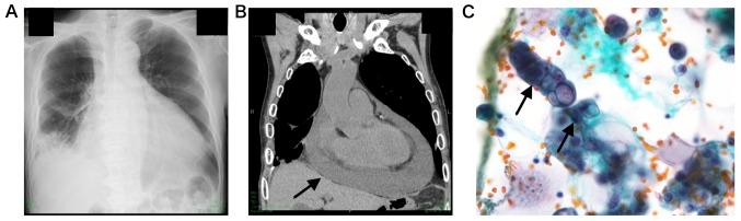
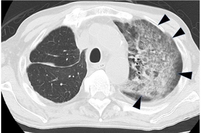
Recent therapeutic advancements have prolonged the survival duration of patients with metastatic or recurrent colorectal cancer even during salvage treatment. Although treatment with regorafenib and trifluridine/tipiracil combination has exhibited apparent survival benefits, clear and objective evidence of a response to these drugs is scarce. Herein, the present study reports the case of a patient with rectal cancer refractory to multiple surgical interventions and standard chemotherapy. Treatment with regorafenib resulted in immediate improvement of respiratory failure caused by pulmonary lymphangitic carcinomatosis. This improvement persisted for over 3 months and was confirmed by radiology. Our findings suggest that regorafenib can reduce peritumoral edema via its interaction with the vascular endothelial growth factor receptor. Thus, regorafenib functions as a multityrosine kinase inhibitor to alleviate symptoms of lymphangitic carcinomatosis despite the low potency of the drug.

摘要

近期的治疗进展延长了转移性或复发性结直肠癌患者的生存期,即使在挽救治疗期间也是如此。尽管瑞戈非尼和曲氟尿苷/替匹嘧啶联合治疗已显示出明显的生存获益,但关于这些药物反应的明确客观证据却很少。在此,本研究报告了一例直肠癌患者,该患者对多种手术干预和标准化疗均耐药。瑞戈非尼治疗使由肺淋巴管癌病引起的呼吸衰竭立即得到改善。这种改善持续了3个多月,并得到了放射学证实。我们的研究结果表明,瑞戈非尼可通过与血管内皮生长因子受体相互作用来减轻肿瘤周围水肿。因此,尽管瑞戈非尼药效较低,但它作为一种多酪氨酸激酶抑制剂可缓解淋巴管癌病的症状。

https://cdn.ncbi.nlm.nih.gov/pmc/blobs/8964/6876333/da915ba7f485/ol-18-06-6469-g00.jpg

文献AI研究员

20分钟写一篇综述,助力文献阅读效率提升50倍。

立即体验

用中文搜PubMed

大模型驱动的PubMed中文搜索引擎

马上搜索

文档翻译

学术文献翻译模型,支持多种主流文档格式。

立即体验