Suppr超能文献

腹腔镜治疗最初未被识别的脾包虫囊肿:病例报告及文献复习。

Laparoscopic Management of Initially Unrecognized Splenic Hydatid Cysts: A Case Report and Review of the Literature.

机构信息

General Hospital "Stefan Visoki", 11420 Smederevska Palanka, Serbia.

Clinical Centre of Serbia, Clinic for Digestive Surgery, 11000 Belgrade, Serbia.

出版信息

Medicina (Kaunas). 2019 Dec 3;55(12):771. doi: 10.3390/medicina55120771.

Abstract

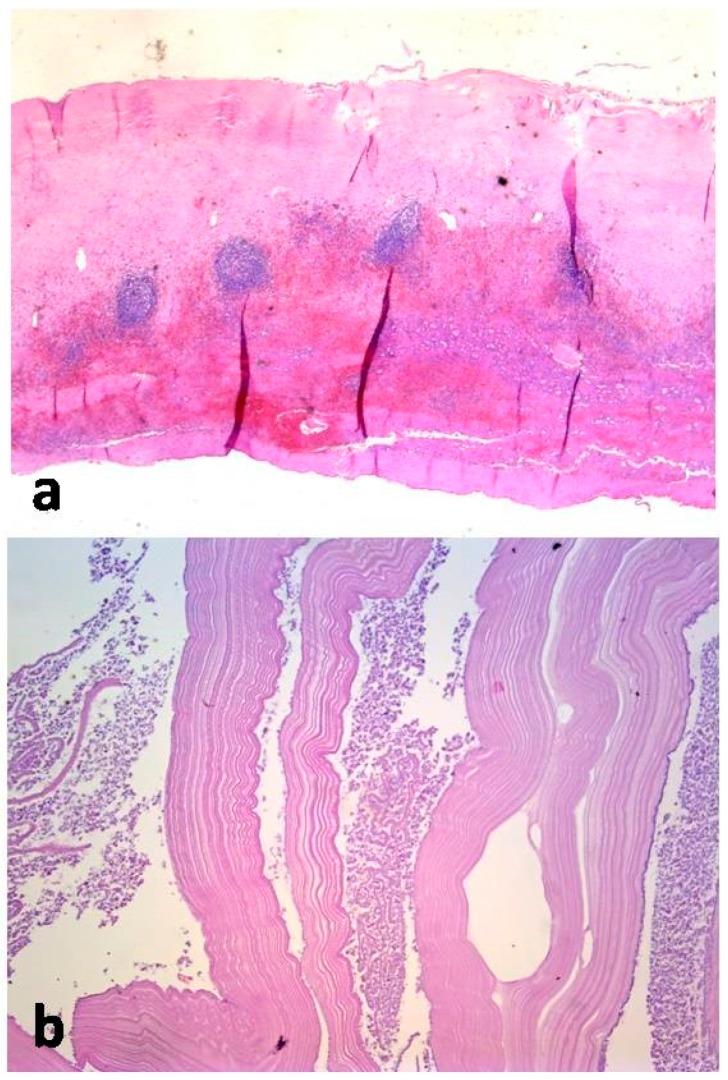
We present a case report that demonstrates diagnostic and intraoperative challenges in the laparoscopic management of initially unrecognized splenic hydatid disease. A male patient, aged 44, was admitted to our department with a big unilocular splenic cyst, radiologically (ultrasonography, computed tomography) characterized as a simple cyst. Serological tests for anti-Echonococcus antibody were negative, and chests X-ray findings were unremarkable, so laparoscopic cyst fenestration with omentoplasty was planned. The intraoperative finding did not correspond to a simple splenic cyst. Hydatid daughter cysts were recognized after the careful opening of the cyst wall. The operation was completed without shifting to open procedures. Laparoscopic partial pericystectomy with omentoplasty is a safe and effective surgical procedure for the management of splenic hydatid disease.

摘要

我们报告了一例病例,该病例说明了在腹腔镜处理最初未被识别的脾包虫病时的诊断和手术挑战。一名 44 岁男性患者因大的单房性脾囊肿就诊,影像学(超声、CT)表现为单纯性囊肿。血清学抗包虫抗体检测为阴性,胸部 X 线检查未见异常,因此计划行腹腔镜囊肿开窗术并进行网膜成形术。术中所见与单纯性脾囊肿不符。在仔细打开囊肿壁后发现了包虫子囊。手术顺利完成,无需转为开放手术。腹腔镜下部分脾包虫外膜切除术联合网膜成形术是治疗脾包虫病的一种安全有效的手术方法。

https://cdn.ncbi.nlm.nih.gov/pmc/blobs/7671/6956320/bb1fa06c4933/medicina-55-00771-g001.jpg

相似文献

2
Case Report: Laparoscopic Excision of a Primary Giant Splenic Hydatid Cyst: Literature Review.
Am J Trop Med Hyg. 2019 Oct;101(4):821-827. doi: 10.4269/ajtmh.19-0400.
4
Laparoscopic cystectomy for splenic hydatid cyst: a case report.
J Pediatr Surg. 2011 Nov;46(11):e1-3. doi: 10.1016/j.jpedsurg.2011.07.005.
5
Two cases of primary splenic hydatid cyst in Greece.
Korean J Parasitol. 2012 Jun;50(2):147-50. doi: 10.3347/kjp.2012.50.2.147. Epub 2012 May 24.
6
Primary Giant Splenic Echinococcal Cyst Treated by Laparoscopy.
Am J Trop Med Hyg. 2016 Jan;94(1):161-5. doi: 10.4269/ajtmh.13-0505. Epub 2015 Nov 10.
7
Spleen-preserving surgery for splenic hydatid cyst: a case report.
Pan Afr Med J. 2024 Mar 26;47:139. doi: 10.11604/pamj.2024.47.139.43008. eCollection 2024.
8
Surgical management of splenic echinococcal disease.
Eur J Med Res. 2009 Apr 16;14(4):165-70. doi: 10.1186/2047-783x-14-4-165.
9
Laparoscopic management of renal hydatid cyst.
JSLS. 2014 Apr-Jun;18(2):361-6. doi: 10.4293/108680813X13753907291396.
10
Primary solitary hydatid cyst in paraspinal cervical muscles: a case report and review of the literature.
Neurol Neurochir Pol. 2011 Jul-Aug;45(4):387-90. doi: 10.1016/s0028-3843(14)60110-9.

引用本文的文献

1
Minimally invasive spleen-preserving surgery to treat primary splenic hydatidosis: short and long-term outcomes: a cohort study.
Ann Med Surg (Lond). 2024 Jul 1;86(9):4999-5006. doi: 10.1097/MS9.0000000000002320. eCollection 2024 Sep.
2
Abrupt elevation of tumor marker levels in a huge splenic epidermoid cyst, a case report.
Front Oncol. 2024 Jun 25;14:1415225. doi: 10.3389/fonc.2024.1415225. eCollection 2024.
3
A massive primary hydatid splenic cyst was successfully managed through open total splenectomy: a case report and review article.
Ann Med Surg (Lond). 2023 Sep 1;85(10):5208-5213. doi: 10.1097/MS9.0000000000001217. eCollection 2023 Oct.
4
Primary giant splenic hydatid disease in a pregnant woman: case report.
Rev Peru Med Exp Salud Publica. 2022 Oct-Dec;39(4):495-499. doi: 10.17843/rpmesp.2022.394.12130. Epub 2023 Mar 6.
5
Laparoscopic Management of Isolated Splenic Hydatid Disease in a Rural Centre: A Case Report.
Cureus. 2023 Jan 25;15(1):e34206. doi: 10.7759/cureus.34206. eCollection 2023 Jan.
6
Splenic hydatid disease in pregnancy.
South Afr J HIV Med. 2022 May 26;23(1):1363. doi: 10.4102/sajhivmed.v23i1.1363. eCollection 2022.

本文引用的文献

1
Laparoscopic splenectomy: Current concepts.
World J Gastrointest Endosc. 2017 Sep 16;9(9):428-437. doi: 10.4253/wjge.v9.i9.428.
2
Expert Reliability for the World Health Organization Standardized Ultrasound Classification of Cystic Echinococcosis.
Am J Trop Med Hyg. 2017 Mar;96(3):686-691. doi: 10.4269/ajtmh.16-0659. Epub 2017 Apr 6.
3
Postsplenectomy Prophylaxis: A Persistent Failure to Meet Standard?
Open Forum Infect Dis. 2016 Sep 21;3(4):ofw197. doi: 10.1093/ofid/ofw197. eCollection 2016 Oct.
4
Current status of diagnosis and treatment of hepatic echinococcosis.
World J Hepatol. 2016 Oct 8;8(28):1169-1181. doi: 10.4254/wjh.v8.i28.1169.
5
Splenectomy or Partial Splenectomy Should be Preferred Treatment for Large Splenic Hydatid Cysts.
Am J Trop Med Hyg. 2016 Jun 1;94(6):1436. doi: 10.4269/ajtmh.16-0112.
6
Hydatid Cyst of the Spleen: Tunisian Series of 21 Cases.
Indian J Surg. 2015 Dec;77(Suppl 2):515-9. doi: 10.1007/s12262-013-0905-5. Epub 2013 Apr 4.
7
Primary Giant Splenic Echinococcal Cyst Treated by Laparoscopy.
Am J Trop Med Hyg. 2016 Jan;94(1):161-5. doi: 10.4269/ajtmh.13-0505. Epub 2015 Nov 10.
9
Non-surgical and non-chemical attempts to treat echinococcosis: do they work?
Parasite. 2014;21:75. doi: 10.1051/parasite/2014071. Epub 2014 Dec 23.
10
Spleen-preserving surgery is effective for the treatment of spleen cystic echinococcosis.
Int J Infect Dis. 2014 Dec;29:181-3. doi: 10.1016/j.ijid.2014.09.009. Epub 2014 Oct 24.

文献AI研究员

20分钟写一篇综述,助力文献阅读效率提升50倍。

立即体验

用中文搜PubMed

大模型驱动的PubMed中文搜索引擎

马上搜索

文档翻译

学术文献翻译模型,支持多种主流文档格式。

立即体验