• 文献检索
  • 文档翻译
  • 深度研究
  • 学术资讯
  • Suppr Zotero 插件Zotero 插件
  • 邀请有礼
  • 套餐&价格
  • 历史记录
应用&插件
Suppr Zotero 插件Zotero 插件浏览器插件Mac 客户端Windows 客户端微信小程序
定价
高级版会员购买积分包购买API积分包
服务
文献检索文档翻译深度研究API 文档MCP 服务
关于我们
关于 Suppr公司介绍联系我们用户协议隐私条款
关注我们

Suppr 超能文献

核心技术专利:CN118964589B侵权必究
粤ICP备2023148730 号-1Suppr @ 2026

文献检索

告别复杂PubMed语法,用中文像聊天一样搜索,搜遍4000万医学文献。AI智能推荐,让科研检索更轻松。

立即免费搜索

文件翻译

保留排版,准确专业,支持PDF/Word/PPT等文件格式,支持 12+语言互译。

免费翻译文档

深度研究

AI帮你快速写综述,25分钟生成高质量综述,智能提取关键信息,辅助科研写作。

立即免费体验

一名免疫功能低下患者的非结核分枝杆菌肺病

Nontuberculous Mycobacterial Pulmonary Disease in an Immunocompromised Patient.

作者信息

Singh Ranjan K, Kumar Dipak

机构信息

Internal Medicine, Anti-Retroviral Therapy Centre, District Hospital, Khagaria, IND.

出版信息

Cureus. 2019 Nov 3;11(11):e6065. doi: 10.7759/cureus.6065.

DOI:10.7759/cureus.6065
PMID:31832287
原文链接:https://pmc.ncbi.nlm.nih.gov/articles/PMC6892571/
Abstract

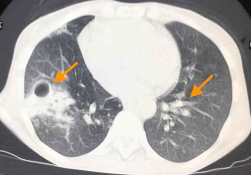
In this article, we discuss the nontuberculous mycobacterial pulmonary disease in a 40-year-old HIV-seropositive female patient. The patient has a history of pulmonary tuberculosis, experienced two years ago. At the time, she was treated successfully with anti-tuberculous therapy. A chest x-ray (CXR) and computed tomography (CT) scan of the chest showed a thin-walled cavitary lesion in the right lung. In addition, the tree-in-bud sign, indicative of airway obstruction, was present on CT imaging. Fluorescence microscopy using auramine staining showed acid-fast bacilli (AFB) in sputum smears on more than two samples. Mycobacterium tuberculosis was not detected in the nucleic acid amplification test in the same sample. The AFB identified were mycobacteria other than tubercle bacilli, i.e., nontuberculous mycobacteria, that cause cavitary lung disease. Culture in liquid media and subsequent molecular analysis showed Mycobacterium avium complex (MAC). The patient is now being treated with a multidrug regimen of antibiotics and has improved, with documented sputum conversion.

摘要

在本文中,我们讨论了一名40岁HIV血清阳性女性患者的非结核分枝杆菌肺病。该患者有两年前患肺结核的病史。当时,她接受抗结核治疗后成功治愈。胸部X线(CXR)和胸部计算机断层扫描(CT)显示右肺有薄壁空洞性病变。此外,CT成像显示了提示气道阻塞的树芽征。使用金胺染色的荧光显微镜检查在两份以上痰涂片样本中发现了抗酸杆菌(AFB)。同一样本的核酸扩增试验未检测到结核分枝杆菌。所鉴定的AFB为非结核杆菌,即非结核分枝杆菌,可导致空洞性肺病。液体培养基培养及后续分子分析显示为鸟分枝杆菌复合群(MAC)。该患者目前正在接受多种抗生素联合治疗,病情已改善,痰菌转阴已得到证实。

https://cdn.ncbi.nlm.nih.gov/pmc/blobs/1c81/6892571/28fa137189ce/cureus-0011-00000006065-i03.jpg
https://cdn.ncbi.nlm.nih.gov/pmc/blobs/1c81/6892571/8d48698f5320/cureus-0011-00000006065-i01.jpg
https://cdn.ncbi.nlm.nih.gov/pmc/blobs/1c81/6892571/ba1a30a578f1/cureus-0011-00000006065-i02.jpg
https://cdn.ncbi.nlm.nih.gov/pmc/blobs/1c81/6892571/28fa137189ce/cureus-0011-00000006065-i03.jpg
https://cdn.ncbi.nlm.nih.gov/pmc/blobs/1c81/6892571/8d48698f5320/cureus-0011-00000006065-i01.jpg
https://cdn.ncbi.nlm.nih.gov/pmc/blobs/1c81/6892571/ba1a30a578f1/cureus-0011-00000006065-i02.jpg
https://cdn.ncbi.nlm.nih.gov/pmc/blobs/1c81/6892571/28fa137189ce/cureus-0011-00000006065-i03.jpg

相似文献

1
Nontuberculous Mycobacterial Pulmonary Disease in an Immunocompromised Patient.一名免疫功能低下患者的非结核分枝杆菌肺病
Cureus. 2019 Nov 3;11(11):e6065. doi: 10.7759/cureus.6065.
2
Chest imaging comparison between non-tuberculous and tuberculosis mycobacteria in sputum acid fast bacilli smear-positive patients.痰涂片抗酸杆菌阳性患者中非结核分枝杆菌与结核分枝杆菌的胸部影像学比较
Eur Rev Med Pharmacol Sci. 2015 Jul;19(13):2429-39. doi: 10.1183/13993003.congress-2015.pa2674.
3
A case of pulmonary infection in a healthy Japanese man.一名健康日本男性的肺部感染病例。
Respir Med Case Rep. 2020 May 16;30:101093. doi: 10.1016/j.rmcr.2020.101093. eCollection 2020.
4
Bilateral bronchiectasis and bronchiolitis at thin-section CT: diagnostic implications in nontuberculous mycobacterial pulmonary infection.薄层CT显示的双侧支气管扩张和细支气管炎:非结核分枝杆菌肺部感染的诊断意义
Radiology. 2005 Apr;235(1):282-8. doi: 10.1148/radiol.2351040371. Epub 2005 Feb 9.
5
Drug-sensitive tuberculosis, multidrug-resistant tuberculosis, and nontuberculous mycobacterial pulmonary disease in nonAIDS adults: comparisons of thin-section CT findings.非艾滋病成人中的药物敏感性肺结核、耐多药肺结核和非结核分枝杆菌肺病:薄层CT表现比较
Eur Radiol. 2006 Sep;16(9):1934-41. doi: 10.1007/s00330-006-0174-9. Epub 2006 Mar 1.
6
An evaluation of methods for the isolation of nontuberculous mycobacteria from patients with cystic fibrosis, bronchiectasis and patients assessed for lung transplantation.评价从囊性纤维化、支气管扩张症患者以及进行肺移植评估的患者中分离非结核分枝杆菌的方法。
BMC Pulm Med. 2019 Jan 21;19(1):19. doi: 10.1186/s12890-019-0781-2.
7
[Clinical application of testing methods on acid-fast bacteria].抗酸菌检测方法的临床应用
Kekkaku. 2005 Feb;80(2):95-111.
8
Comparable characteristics of tuberculous and non-tuberculous mycobacterial cavitary lung diseases.结核性与非结核分枝杆菌性空洞性肺部疾病的可比特征。
Int J Tuberc Lung Dis. 2014 Jun;18(6):725-9. doi: 10.5588/ijtld.13.0871.
9
[Study on pulmonary lesions in which nontuberculous mycobacteria were detected by percutaneous aspiration--a proposal to add "culture positivity of percutaneous aspiration material" to the bacteriological diagnostic criteria of pulmonary nontuberculous mycobacterial diseases].经皮穿刺抽吸检出非结核分枝杆菌的肺部病变研究——关于在肺部非结核分枝杆菌病细菌学诊断标准中增加“经皮穿刺抽吸物培养阳性”的提议
Kekkaku. 2013 Mar;88(3):283-9.
10
Diagnosis and treatment of patients with pulmonary nontuberculous mycobacterial diseases in Arkhangelsk, Russia.俄罗斯阿尔汉格尔斯克地区肺部非结核分枝杆菌病患者的诊断和治疗。
Infect Genet Evol. 2019 Sep;73:358-361. doi: 10.1016/j.meegid.2019.05.022. Epub 2019 Jun 1.

引用本文的文献

1
Atypical mycobacterial infection masquerading as an endobronchial growth in an immunocompromised host.免疫功能低下宿主的支气管内非典型分枝杆菌感染,伪装为支气管内生长。
BMJ Case Rep. 2023 Apr 11;16(4):e255317. doi: 10.1136/bcr-2023-255317.
2
Chronic Pulmonary Aspergillosis in a Patient With AIDS.一名艾滋病患者的慢性肺曲霉病
Cureus. 2021 Apr 20;13(4):e14588. doi: 10.7759/cureus.14588.
3
and Complex Causing Severe Pneumonia in a Patient with HIV Identified by a Novel Molecular-Based Method.通过一种基于新型分子的方法鉴定出导致一名艾滋病患者严重肺炎的复合体。

本文引用的文献

1
Clinical relevance of non-tuberculous mycobacteria isolated from respiratory specimens: seven year experience in a UK hospital.从呼吸道标本中分离出的非结核分枝杆菌的临床相关性:英国一家医院的七年经验。
Sci Rep. 2019 Feb 11;9(1):1730. doi: 10.1038/s41598-018-37350-8.
2
Pulmonary Disease Caused by Non-Tuberculous Mycobacteria.非结核分枝杆菌引起的肺部疾病
Respiration. 2016;91(5):386-402. doi: 10.1159/000445906. Epub 2016 May 21.
3
Is primary mycobacterium avium complex prophylaxis necessary in patients with CD4 <50 cells/μL who are virologically suppressed on cART?
Infect Drug Resist. 2021 Jan 6;14:11-16. doi: 10.2147/IDR.S282190. eCollection 2021.
对于正在接受 cART 治疗且病毒学抑制的 CD4<50 细胞/μL 的患者,是否需要进行原发性鸟分枝杆菌复合群预防性治疗?
AIDS Patient Care STDS. 2014 Jun;28(6):280-3. doi: 10.1089/apc.2013.0270. Epub 2014 May 15.
4
Tree-in-bud pattern.树芽征
AJR Am J Roentgenol. 2009 Dec;193(6):W472-7. doi: 10.2214/AJR.09.3401.
5
An official ATS/IDSA statement: diagnosis, treatment, and prevention of nontuberculous mycobacterial diseases.美国胸科学会/美国感染病学会官方声明:非结核分枝杆菌病的诊断、治疗与预防
Am J Respir Crit Care Med. 2007 Feb 15;175(4):367-416. doi: 10.1164/rccm.200604-571ST.