Han Fengyan, Zhang Lei, Chen Chaoyi, Wang Yan, Zhang Yi, Qian Lili, Sun Wenjie, Zhou Dan, Yang Beibei, Zhang Honghe, Lai Maode
Department of Pathology Key Laboratory of Disease Proteomics of Zhejiang Province Research unit of intelligence classification of tumor pathology and precision therapy Chinese Academy of Medical Sciences (2019RU042) School of Medicine Zhejiang University Hangzhou 310058 China.
Department of Pharmacology China Pharmaceutical University Nanjing 210009 China.
Adv Sci (Weinh). 2019 Oct 16;6(23):1901114. doi: 10.1002/advs.201901114. eCollection 2019 Dec.
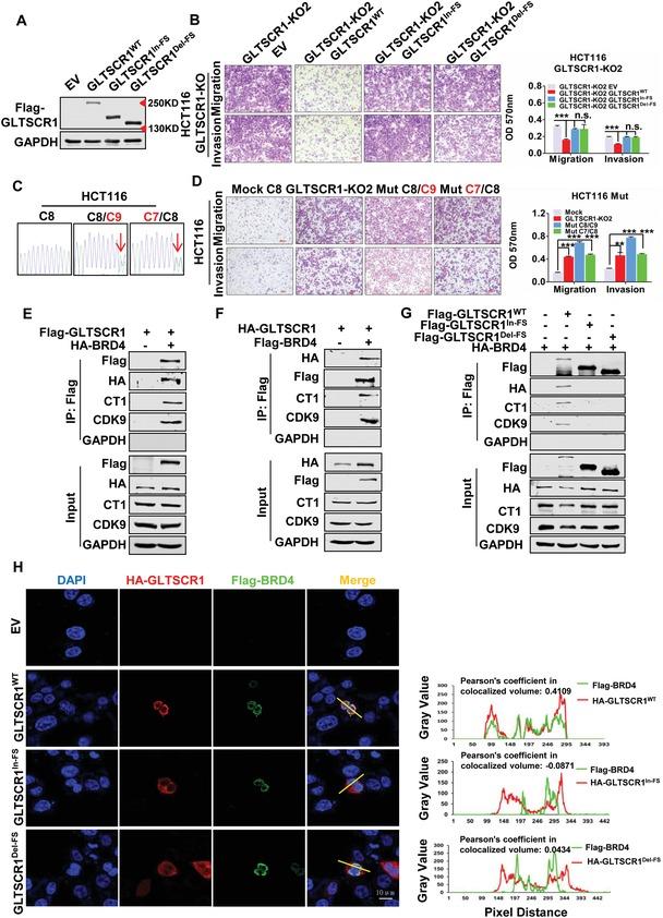
Frameshift mutations frequently occur in colorectal cancer (CRC) with microsatellite instability (MSI), but the nature and biological function of many MSI-associated mutations remain elusive. Here, an MSI frameshift mutation is identified in glioma tumor suppressor candidate region gene 1 () that produces two C-terminal-truncated proteins. Additionally, is verified as a tumor suppressor that inhibits CRC metastasis. Through binding to bromodomains and the phosphorylation-dependent interaction domain of bromodomain protein 4 (BRD4) via the C-terminus, GLTSCR1 blocks oncogenic transcriptional elongation. However, truncated GLTSCR1 translocates into the cytoplasm and loses BRD4 binding domain, which induces the phosphorylation of RNA Pol II at Ser2 and dephosphorylation at Ser5, then increases oncogenic transcriptional elongation. Importantly, GLTSCR1 deficiency decreases sensitivity to bromodomain and extra terminal domain inhibitors. This study highlights the molecular mechanism of the GLTSCR1-BRD4 interaction, which is a potential therapeutic target for CRC.
移码突变在具有微卫星不稳定性(MSI)的结直肠癌(CRC)中频繁发生,但许多与MSI相关的突变的性质和生物学功能仍不清楚。在此,在胶质瘤肿瘤抑制候选区域基因1(GLTSCR1)中鉴定出一种MSI移码突变,该突变产生两种C末端截短的蛋白质。此外,GLTSCR1被证实是一种抑制CRC转移的肿瘤抑制因子。通过其C末端与溴结构域蛋白4(BRD4)的溴结构域和磷酸化依赖性相互作用结构域结合,GLTSCR1阻断致癌转录延伸。然而,截短的GLTSCR1易位到细胞质中并失去BRD4结合结构域,这会诱导RNA聚合酶II在Ser2处磷酸化并在Ser5处去磷酸化,进而增加致癌转录延伸。重要的是,GLTSCR1缺陷会降低对溴结构域和额外末端结构域抑制剂的敏感性。本研究突出了GLTSCR1 - BRD4相互作用的分子机制,这是CRC的一个潜在治疗靶点。