Suppr超能文献

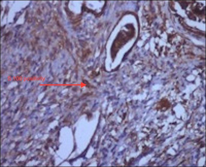
Jack in the Duct: A Case of Common Biliary Duct Schwannoma.

作者信息

Kolhe Kailash M, Amarapurkar Anjali, Ingle Meghraj, Pandey Vikas, Amonkar Mamata, Khairnar Harshad, Chauhan Shamshersingh G, Walke Swapnil, Shukla Akash

机构信息

Department of Gastroenterology, Lokmanya Tilak Municipal Medical College and General Hospital, Mumbai, Maharashtra, India.

Department of Pathology, Lokmanya Tilak Municipal Medical College and General Hospital, Mumbai, Maharashtra, India.

出版信息

ACG Case Rep J. 2019 Oct 17;6(10):e00223. doi: 10.14309/crj.0000000000000223. eCollection 2019 Oct.

Abstract
摘要
https://cdn.ncbi.nlm.nih.gov/pmc/blobs/2446/6855524/2a50c1420358/ac9-6-e00223-g001.jpg

文献AI研究员

20分钟写一篇综述,助力文献阅读效率提升50倍。

立即体验

用中文搜PubMed

大模型驱动的PubMed中文搜索引擎

马上搜索

文档翻译

学术文献翻译模型,支持多种主流文档格式。

立即体验