Suppr超能文献

肝外胆管梗阻继发于肝总管神经内分泌肿瘤。

Extrahepatic biliary obstrution secondary to neuroendocrine tumor of the common hepatic duct.

作者信息

Khan Faraz A, Stevens-Chase Anastasia, Chaudhry Rahman, Hashmi Asra, Edelman David, Weaver Donald

机构信息

Department of Surgery, Wayne State University/Detroit Medical Center, 6C UHC, 4201 St. Antoine, Detroit, MI 48226, USA.

Department of Surgery, Wayne State University/Detroit Medical Center, 6C UHC, 4201 St. Antoine, Detroit, MI 48226, USA.

出版信息

Int J Surg Case Rep. 2017;30:46-49. doi: 10.1016/j.ijscr.2016.11.043. Epub 2016 Nov 23.

Abstract

INTRODUCTION

Primary neuroendocrine tumors (NET) of the extrahepatic biliary tree are a rare entity with less than 100 reported cases in the literature.

PRESENTATION OF CASE

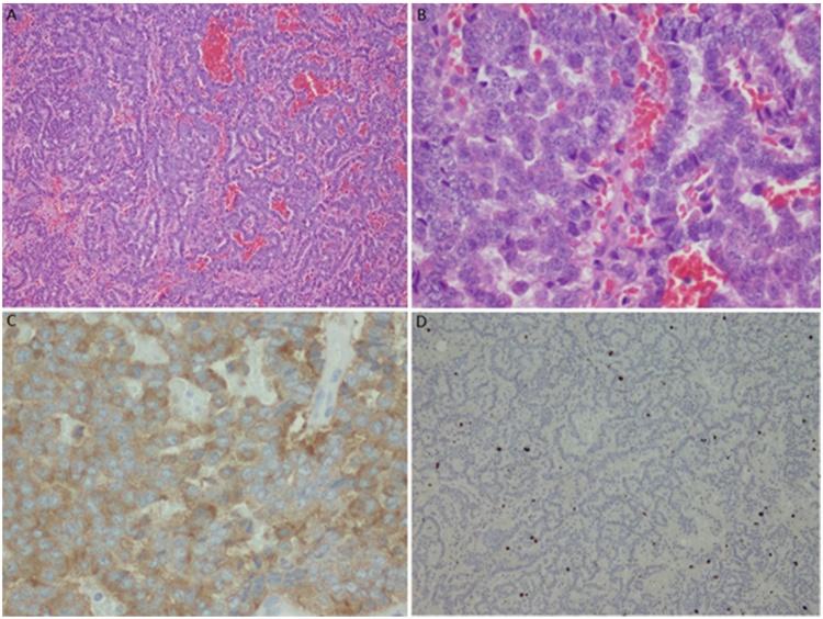
Here, we report a case of NET of the extrahepatic bile duct in a 64-year-old male patient presenting with painless jaundice, direct hyperbilirubinemia, and mildly elevated transaminases. Diagnostic workup with an ultrasound revealed dilation of the intrahepatic biliary ducts, without cholelithiasis or choledocholithiasis. Additional cross sectional imaging identified a stricture at the confluence of the common hepatic and cystic duct junction. Given lack of additional findings presumptive diagnosis of localized klatskin's tumor was made. The patient subsequently underwent resection of the common bile duct and roux-en-y hepaticojejunostomy reconstruction. Final pathologic diagnosis showed G2 well-differentiated NET of the extrahepatic bile duct, measuring 1.3×1.1×1cm.

DISCUSSION

When a patient is evaluated for a primary bile duct neoplasm, differentiation between cholangiocarcinoma and an unusual bile duct tumor, such as a NET is very difficult before surgical resection and histologic review.

CONCLUSION

NET of the extrahepatic biliary tree are a rare entity. Typical presentation is with painless jaundice and other symptoms related to obstruction of the biliary tree and the diagnosis is usually made post-operatively.

摘要

引言

肝外胆管原发性神经内分泌肿瘤(NET)是一种罕见的疾病,文献报道的病例不足100例。

病例介绍

在此,我们报告一例64岁男性患者的肝外胆管NET,该患者表现为无痛性黄疸、直接胆红素血症和转氨酶轻度升高。超声诊断检查显示肝内胆管扩张,无胆结石或胆总管结石。进一步的横断面成像发现肝总管和胆囊管交界处有狭窄。由于缺乏其他发现,初步诊断为局限性克氏壶腹肿瘤。患者随后接受了胆总管切除术和roux-en-y肝空肠吻合术重建。最终病理诊断显示为肝外胆管G2高分化NET,大小为1.3×1.1×1cm。

讨论

当对原发性胆管肿瘤患者进行评估时,在手术切除和组织学检查之前,很难区分胆管癌和不常见的胆管肿瘤,如NET。

结论

肝外胆管NET是一种罕见的疾病。典型表现为无痛性黄疸和其他与胆管梗阻相关的症状,诊断通常在术后做出。

https://cdn.ncbi.nlm.nih.gov/pmc/blobs/542a/5133469/10f3396adaf2/gr1.jpg

文献AI研究员

20分钟写一篇综述,助力文献阅读效率提升50倍。

立即体验

用中文搜PubMed

大模型驱动的PubMed中文搜索引擎

马上搜索

文档翻译

学术文献翻译模型,支持多种主流文档格式。

立即体验