Nguyen Cam, Larsen Nicholas K, Dietz Nick, Sirineni Gopi, Balters Marcus
Radiation Oncology, Creighton University School of Medicine, Omaha, USA.
Surgery, Creighton University School of Medicine, Omaha, USA.
Cureus. 2019 Nov 5;11(11):e6079. doi: 10.7759/cureus.6079.
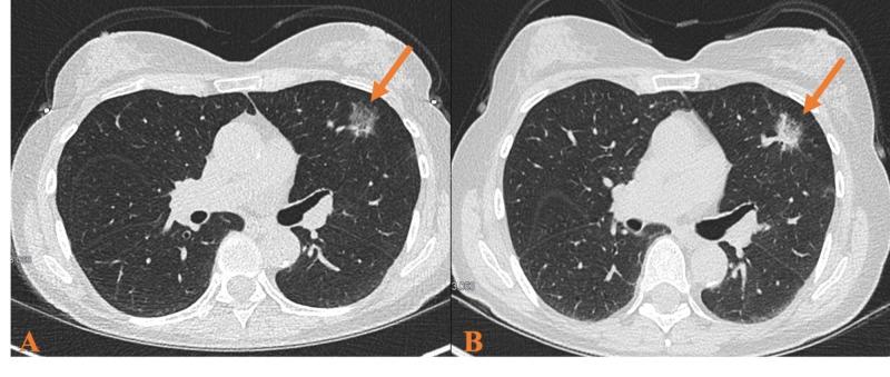
Lung cancer still remains one of the most common cancers throughout the world, especially in smokers. Adenocarcinoma is now the predominant histological type in many western countries. The etiology of adenocarcinoma is unknown, but evidence suggests that atypical adenomatous hyperplasia (AAH) may act as a precursor lesion. Here we present two case reports of patients diagnosed with AAH on biopsy, highlighting 1) available treatment strategies and 2) AAH's progression to adenocarcinoma. A review of AAH is warranted as little literature is currently available regarding its treatment strategies, especially in light of its role as a precursor to adenocarcinoma. In this review, we will address the following topics: 1. What is the pathophysiology of AAH? 2. What is the natural history of AAH and its risk of malignant transformation? 3. When is surgery recommended? 4. What is the role of stereotactic body radiotherapy (SBRT) in the rare patient who refuses surgery?
肺癌仍然是全球最常见的癌症之一,在吸烟者中尤为常见。腺癌目前是许多西方国家主要的组织学类型。腺癌的病因尚不清楚,但有证据表明非典型腺瘤样增生(AAH)可能是其前驱病变。在此,我们报告两例经活检诊断为AAH的患者病例,重点介绍:1)现有的治疗策略;2)AAH向腺癌的进展。鉴于目前关于AAH治疗策略的文献较少,尤其是考虑到其作为腺癌前驱病变的作用,有必要对AAH进行综述。在本综述中,我们将探讨以下主题:1. AAH的病理生理学是什么?2. AAH的自然病程及其恶变风险是什么?3. 何时推荐手术?4. 立体定向体部放疗(SBRT)在拒绝手术的罕见患者中起什么作用?