Amity Institute of Microbial Biotechnology, Amity University Uttar Pradesh, Noida 201313, India.
National Organization for Drug Control and Research, 51 Wezaret El-Zeraa st., Giza 12618, Egypt.
Biomolecules. 2019 Dec 18;10(1):3. doi: 10.3390/biom10010003.
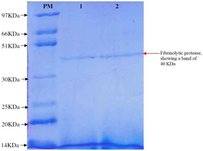
The present study demonstrates the production and thrombolytic potential of a novel thermostable thiol-dependent fibrinolytic protease by RSA1. Statistical optimization of different parameters was accomplished with Plackett-Burman design and validated further by central composite design with 30.75 U/mL protease production. Precipitation and chromatographic approaches resulted in 33.11% recovery with 2.32-fold purification. The molecular weight of fibrinolytic protease was 40 KDa and it exhibited a broad temperature and pH stability range of 20-80 °C and pH 5-10 with utmost activity at 50 °C and pH 8, respectively. The protease retained its fibrinolytic activity in organic solvents and enhanced the activity in solutions with divalent cations (Mn, Zn, and Cu). The enzyme kinetics revealed K and V values of 1.093 mg/mL and 52.39 µg/mL/min, respectively, indicating higher affinity of fibrinolytic activity towards fibrin. Also, complete inhibition of fibrinolytic activity with DFP and a 2-fold increase with DTT and β-mercaptoethanol indicates its thiol-dependent serine protease nature. MALDI-TOF analysis showed 56% amino acid sequence homology with Subtilisin NAT OS = subsp. natto. The fibrinolysis activity was compared with a commercial thrombolytic agent for its therapeutic applicability, and fibrinolytic protease was found highly significant with absolute blood clot dissolution within 4 h in in vitro conditions. The isolated fibrinolytic protease of RSA1 is novel and different from other known fibrinolytic proteases with high stability and efficacy, which might have wide medicinal and industrial application as a thrombolytic agent and in blood stain removal, respectively.
本研究展示了 RSA1 产生的一种新型热稳定依赖巯基的纤维蛋白溶酶的溶栓潜力。通过 Plackett-Burman 设计对不同参数进行了统计优化,并通过中心复合设计进一步验证,得到 30.75 U/mL 的酶产量。沉淀和色谱方法的回收率为 33.11%,纯化倍数为 2.32 倍。纤维蛋白溶酶的分子量为 40 kDa,其具有较宽的温度和 pH 稳定性范围,分别为 20-80°C 和 pH 5-10,最适温度和 pH 分别为 50°C 和 8。该酶在有机溶剂中保持纤维蛋白溶酶活性,并在含有二价阳离子(Mn、Zn 和 Cu)的溶液中增强其活性。酶动力学表明,K 和 V 值分别为 1.093 mg/mL 和 52.39 µg/mL/min,表明纤维蛋白溶酶活性对纤维蛋白具有更高的亲和力。此外,DFP 完全抑制纤维蛋白溶酶活性,DTT 和 β-巯基乙醇使酶活增加 2 倍,表明其为依赖巯基的丝氨酸蛋白酶。MALDI-TOF 分析显示,与纳豆芽孢杆菌 OS = subsp. natto 的 56%氨基酸序列同源。将纤维蛋白溶解活性与一种商业溶栓剂进行比较,以评估其治疗应用,结果发现,在体外条件下,纤维蛋白溶酶在 4 小时内可完全溶解血凝块,具有高度显著性。RSA1 分离的纤维蛋白溶酶是新型的,与其他已知的纤维蛋白溶酶不同,具有较高的稳定性和功效,可能作为溶栓剂和血液污渍去除剂在医学和工业上有广泛的应用。