Suppr超能文献

肿瘤内异质性决定前列腺癌 mTOR 通路蛋白的表达。

Intratumoral Heterogeneity Determines the Expression of mTOR-pathway Proteins in Prostate Cancer.

机构信息

Urology Section, Department of Surgery, University of Catania, Catania, Italy.

Department of Urology, Eberhard Karls University of Tübingen, Tübingen, Germany.

出版信息

Dis Markers. 2019 Dec 11;2019:1296865. doi: 10.1155/2019/1296865. eCollection 2019.

Abstract

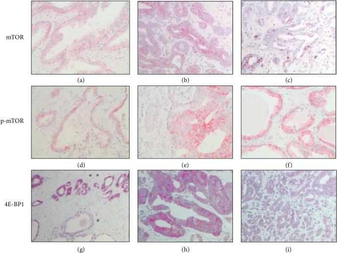
The aim of this study was to evaluate the expression of mammalian target of rapamycin (mTOR), phosphorylated-mTOR (p-mTOR), and eukaryotic translation initiation factor 4E-binding protein 1 (4E-BP1) in prostate cancer (PCa) in order to assess intratumoral heterogeneity and correlation with clinicopathological parameters. Tissue samples from 115 patients undergoing radical prostatectomy were included in a tissue microarray comprising (A) tissue from the tumor center, (B) malignant border of the tumor, (C) tumor-adjacent benign tissue, and (D) tumor-distant benign prostatic tissue. Immune reactive scores 0-12 were correlated with clinical data in reference to localization. A meta-analysis of studies investigating the association between biochemical recurrence (BCR) and parameters of the mTOR pathway was conducted. Regardless of the location within the tumor, cancer tissue showed higher expression of mTOR, p-mTOR, and 4EB-P1 compared to benign tissue ( < 0.01). Significant differences in expression between tissue samples from groups C and D were observed for mTOR and p-mTOR. When considering expression according to the pathological stage, we observed lower p-mTOR expression in pT3 vs. pT2 (7.9 and 6.3; = 0.01). After a median follow-up of 74.5 months (IQR 65.0-84.0), 27 patients (23.47%) developed BCR. Weak staining of mTOR was associated with shorter time to BCR (HR: 2.0; = 0.049) after correcting for PSA and T stage. However, a significant association of mTOR expression with BCR was found for specimens from the malignant border of the tumor (B) but not the tumor center (A) ( = 0.0034 log rank). In a meta-analysis, we found that the expressions of mTOR ((RR) = 0.70; 95% CI 0.43-1.12; = 0.13) and 4E-BP1 ((RR) = 0.86; = 0.53) were not statistically associated with BCR, while strong staining of p-mTOR was associated with a lower risk of BCR ((RR) = 0.57; = 0.002). All 3 markers showed stronger expression in PCa and exhibited local gradients in relation to the border of tumor and healthy tissue. Our results suggest an important role of intratumor heterogeneity for the use of mTOR parameters as biomarkers in PCa.

摘要

本研究旨在评估雷帕霉素靶蛋白(mTOR)、磷酸化 mTOR(p-mTOR)和真核翻译起始因子 4E 结合蛋白 1(4E-BP1)在前列腺癌(PCa)中的表达,以评估肿瘤内异质性及其与临床病理参数的相关性。该研究纳入了 115 例行根治性前列腺切除术患者的组织样本,制作成组织微阵列,包括(A)肿瘤中心组织、(B)肿瘤恶性边界组织、(C)肿瘤毗邻良性组织和(D)肿瘤远处良性前列腺组织。免疫反应评分 0-12 与定位相关的临床数据相关联。对探讨 mTOR 通路生物化学复发(BCR)与参数之间关联的研究进行了荟萃分析。无论肿瘤内的位置如何,癌症组织中 mTOR、p-mTOR 和 4EB-P1 的表达均高于良性组织(<0.01)。mTOR 和 p-mTOR 组织样本组 C 和 D 之间观察到表达差异显著。考虑到病理分期,我们观察到 pT3 组中 p-mTOR 表达低于 pT2 组(7.9 与 6.3;=0.01)。在中位随访 74.5 个月(IQR 65.0-84.0)后,27 例患者(23.47%)发生 BCR。mTOR 弱染色与 BCR 时间缩短相关(HR:2.0;=0.049),校正 PSA 和 T 分期后。然而,mTOR 表达与 BCR 之间的显著相关性仅在肿瘤恶性边界(B)而不是肿瘤中心(A)的标本中发现(=0.0034 log rank)。荟萃分析发现,mTOR((RR)=0.70;95%CI 0.43-1.12;=0.13)和 4E-BP1((RR)=0.86;=0.53)的表达与 BCR 无统计学关联,而 p-mTOR 强染色与 BCR 风险降低相关((RR)=0.57;=0.002)。所有 3 种标志物在 PCa 中表达更强,并与肿瘤和健康组织边界相关呈现局部梯度。我们的结果表明,肿瘤内异质性对 mTOR 标志物作为 PCa 生物标志物的使用具有重要作用。

https://cdn.ncbi.nlm.nih.gov/pmc/blobs/c265/6927025/8476149ff026/DM2019-1296865.001.jpg

文献AI研究员

20分钟写一篇综述,助力文献阅读效率提升50倍。

立即体验

用中文搜PubMed

大模型驱动的PubMed中文搜索引擎

马上搜索

文档翻译

学术文献翻译模型,支持多种主流文档格式。

立即体验