Yan Gege, Yuan Ye, He Mingyu, Gong Rui, Lei Hong, Zhou Hongbao, Wang Wenbo, Du Weijie, Ma Tianshuai, Liu Shenzhen, Xu Zihang, Gao Manqi, Yu Meixi, Bian Yu, Pang Ping, Li Xin, Yu Shuting, Yang Fan, Cai Benzhi, Yang Lei
Department of Pharmacology, College of Pharmacy, Harbin Medical University, Harbin 150081, China.
Department of Pharmacy, The Second Affiliated Hospital of Harbin Medical University, Harbin, China; Department of Pharmacology, College of Pharmacy, Harbin Medical University, Harbin 150081, China.
Mol Ther Nucleic Acids. 2020 Mar 6;19:421-436. doi: 10.1016/j.omtn.2019.12.001. Epub 2019 Dec 12.
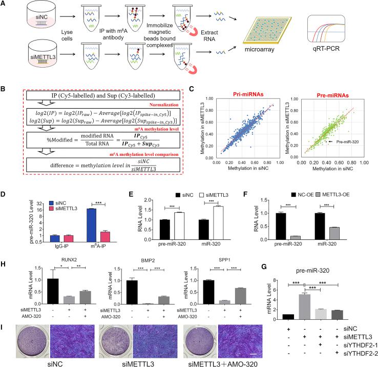
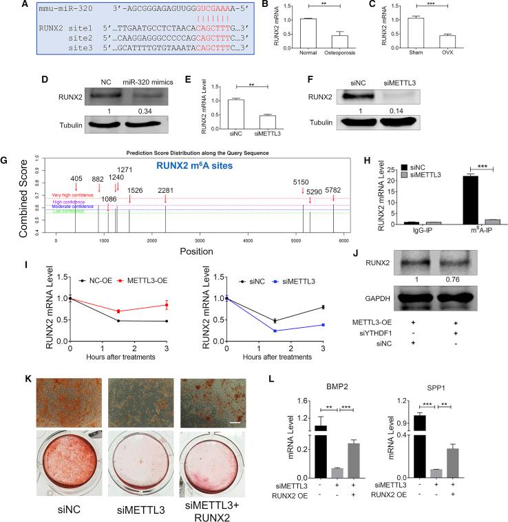
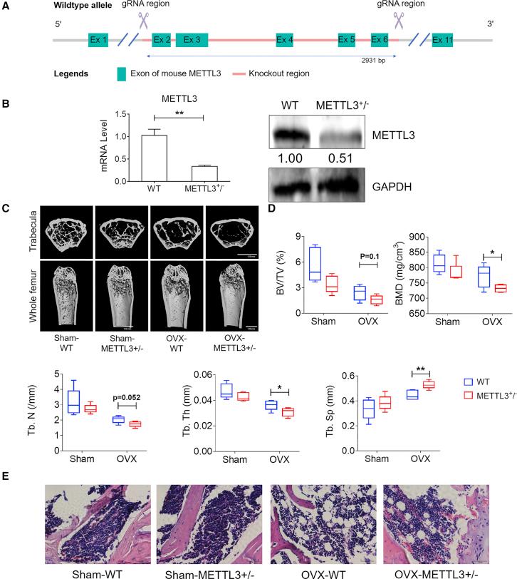
Methyltransferase-like 3 (METTL3) is the main enzyme for N-methyladenosine (mA)-based methylation of RNAs and it has been implicated in many biological and pathophysiological processes. In this study, we aimed to explore the potential involvement of METTL3 in osteoblast differentiation and decipher the underlying cellular and molecular mechanisms. We demonstrated that METTL3 is downregulated in human osteoporosis and the ovariectomized (OVX) mouse model, as well as during the osteogenic differentiation. Silence of METTL3 by short interfering RNA (siRNA) decreased mA methylation levels and inhibited osteogenic differentiation of bone marrow-derived mesenchymal stem cells (BMSCs) and reduced bone mass, and similar effects were observed in METTL3 knockout mice. In contrast, adenovirus-mediated overexpression of METTL3 produced the opposite effects. In addition, METTL3 enhanced, whereas METTL3 silence or knockout suppressed, the mA methylations of runt-related transcription factor 2 (RUNX2; a key transcription factor for osteoblast differentiation and bone formation) and precursor (pre-)miR-320. Moreover, downregulation of mature miR-320 rescued the decreased bone mass caused by METTL3 silence or METTL3 knockout. Therefore, METTL3-based mA modification favors osteogenic differentiation of BMSCs through mA-based direct and indirect regulation of RUNX2, and abnormal downregulation of METTL3 is likely one of the mechanisms underlying osteoporosis in patients and mice. Thus, METTL3 overexpression might be considered a new approach of replacement therapy for the treatment of human osteoporosis.
甲基转移酶样3(METTL3)是RNA基于N-甲基腺苷(m⁶A)甲基化的主要酶,并且它已涉及许多生物学和病理生理过程。在本研究中,我们旨在探索METTL3在成骨细胞分化中的潜在作用,并阐明其潜在的细胞和分子机制。我们证明,在人类骨质疏松症、去卵巢(OVX)小鼠模型以及成骨分化过程中,METTL3表达下调。通过短干扰RNA(siRNA)沉默METTL3可降低m⁶A甲基化水平,抑制骨髓间充质干细胞(BMSC)的成骨分化并减少骨量,在METTL3基因敲除小鼠中也观察到了类似的作用。相反,腺病毒介导的METTL3过表达产生了相反的效果。此外,METTL3增强了成骨相关转录因子2(RUNX2;成骨细胞分化和骨形成的关键转录因子)和前体(pre-)miR-320的m⁶A甲基化,而METTL3沉默或敲除则抑制了这种甲基化。此外,成熟miR-320的下调挽救了由METTL3沉默或METTL3敲除引起的骨量减少。因此,基于METTL3的m⁶A修饰通过对RUNX2的m⁶A直接和间接调控有利于BMSC的成骨分化,而METTL3的异常下调可能是患者和小鼠骨质疏松症的潜在机制之一。因此,METTL3过表达可能被认为是治疗人类骨质疏松症的一种新的替代疗法。