Suppr超能文献

由HA和EJ2014共同发酵的水培人参匀浆中聚γ-谷氨酸和γ-氨基丁酸的强化

Fortification of Poly-γ-Glutamic Acid and γ-Aminobutyric Acid in Homogenized Hydroponic Ginseng Co-Fermented by HA and EJ2014.

作者信息

Park Ji-Hyeon, Garcia Coralia V, Lee Sam-Pin

机构信息

Department of Food Science and Technology, Keimyung University, Daegu 42601, Korea.

The Center for Traditional Microorganism Resource (TMR), Keimyung University, Daegu 42601, Korea.

出版信息

Prev Nutr Food Sci. 2019 Dec;24(4):485-491. doi: 10.3746/pnf.2019.24.4.485. Epub 2019 Dec 31.

Abstract

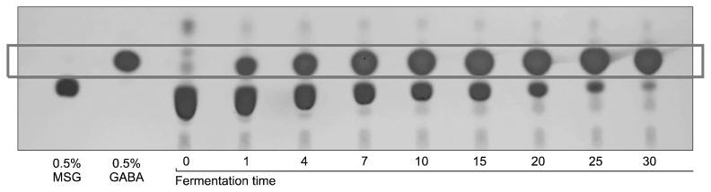
Homogenized hydroponic ginseng (HG) fortified with poly-γ-glutamic acid (γ-PGA) and γ-aminobutyric acid (GABA) was produced by a two-step fermentation using and . For optimized production of bioactive compounds, the precursor monosodium L-glutamate (MSG) as well as nutrients such as glucose and skim milk were added. The homogenized HG was pH 6.93 and had an acidity of 0.08%, and viable cell count of 6.13 log colony-forming unit (CFU)/mL. The first (alkaline) fermentation was performed at 42°C for 2 days in the presence of 5% MSG and 2% glucose. The fermented HG was pH 8.08 and had an acidity of 0.03%, a mucilage of 2.13%, a consistency of 0.79 Pa·s, and viable cell count of 8.53 log CFU/mL. For the second (lactic) fermentation, the fermented HG was fortified with 5% skim milk, inoculated with 7.54 log CFU/mL of EJ2014, and was incubated at 30°C for 5 days; the resulting in pH 5.63 and had and acidity of 0.35, and viable cell count of 6.71 log CFU/mL () and 9.23 log CFU/mL (). Moreover, MSG was completely bio-converted with producing 1.03% GABA. Therefore, novel co-fermentation using HA and EJ2014 fortified HG with functional components including γ-PGA, GABA, peptides, and probiotics.

摘要

采用两步发酵法,以……和……制备了添加聚-γ-谷氨酸(γ-PGA)和γ-氨基丁酸(GABA)的匀浆水培人参(HG)。为了优化生物活性化合物的生产,添加了前体L-谷氨酸钠(MSG)以及葡萄糖和脱脂牛奶等营养物质。匀浆HG的pH值为6.93,酸度为0.08%,活菌数为6.13 log菌落形成单位(CFU)/mL。第一次(碱性)发酵在42℃下进行2天,添加5%的MSG和2%的葡萄糖。发酵后的HG的pH值为8.08,酸度为0.03%,黏液含量为2.13%,稠度为0.79 Pa·s,活菌数为8.53 log CFU/mL。第二次(乳酸)发酵时,向发酵后的HG中添加5%的脱脂牛奶,接种7.54 log CFU/mL的……EJ2014,并在30℃下培养5天;最终pH值为5.63,酸度为0.35,活菌数分别为6.71 log CFU/mL(……)和9.23 log CFU/mL(……)。此外,MSG完全生物转化生成了1.03%的GABA。因此,利用……HA和……EJ2014进行新型共发酵强化了HG,使其含有γ-PGA、GABA、肽和益生菌等功能成分。

https://cdn.ncbi.nlm.nih.gov/pmc/blobs/aff3/6941720/610dada224ca/pnfs-24-485f1.jpg

文献AI研究员

20分钟写一篇综述,助力文献阅读效率提升50倍。

立即体验

用中文搜PubMed

大模型驱动的PubMed中文搜索引擎

马上搜索

文档翻译

学术文献翻译模型,支持多种主流文档格式。

立即体验